盐酸氨溴索适用于细菌性肺炎吗 (盐酸氨溴索治疗慢性支气管炎吗)

盐酸氨溴索口服溶液治疗肺炎,支气管肺炎用盐酸氨溴索效果好吗

70多岁的张大爷患有慢性支气管炎多年,每到秋冬季节或者天气变化剧烈时就容易发作,发病起来就容易出现咳嗽咳痰,每次都是需要住院治疗才能好转,所以他在每年的秋冬季节就会来医院就诊。

盐酸氨溴索口服溶液治疗肺炎,支气管肺炎用盐酸氨溴索效果好吗

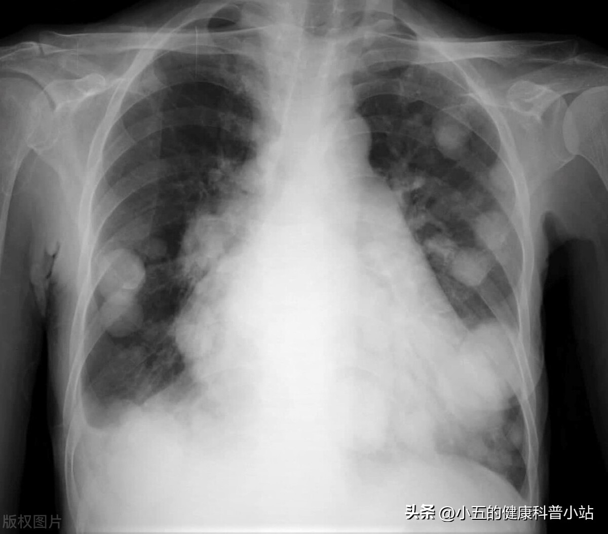
1个月前张大爷又开始出现剧烈的咳嗽,伴咳白粘痰,并且又轻度的呼吸不畅,他以为是慢性支气管炎又犯了,于是还是老样子来到医院就诊。 医院给他完善了肺部CT后发现张大爷的肺部有片状的毛玻璃样阴影,结合的血液检查和核酸检查的结果最终诊断为病毒性肺部,合并慢性支气管哮喘急性期 ,于是急忙将其收治医院。经过一段时间的住院治疗后,张大爷的症状有了明显好转, 但就是指脉氧上不去,脱氧状态下只有95%-96%左右,并且还是有少量咳痰,于是医生建议张大爷回家后继续口服一段时间药物,其中就有盐酸氨溴索片 ,医生嘱咐张大爷规范用药,一个月后再复查肺部CT。

盐酸氨溴索口服溶液治疗肺炎,支气管肺炎用盐酸氨溴索效果好吗

张大爷听从医生意见后规范服药,但是依然有咳嗽咳痰的症状,于 是在家人的建议下购买了一种叫做右美沙芬的止咳药,说服用后就不咳嗽了 。刚开始服用时张大爷的咳嗽明显减少了很多,但是张大爷感觉自己的胸闷、喘息的感觉明显加重,于是又来到医院进行咨询。医生听说张大爷的症状后,立刻建议其停用右美沙芬, 医生解释道氨溴索与右美沙芬是不能同时用药的,因为氨溴索是一种化痰药,其主要作用就是稀释痰液,促进痰液排出体外,而右美沙芬缺抑制咳嗽,这会导致大量稀释的痰液无法排出,进而阻塞气道,所以才会出现喘息、憋气等症状 。于是在医生的建议下张大爷停用了右美沙芬,胸闷、喘息的感觉也逐渐消失了。

一、盐酸氨溴索的作用机制和特点

盐酸氨溴索是临床常用的化痰药,又被称为沐舒坦、抒坦清等 ,其本质是溴已新在人体中活性代谢的产物,药理学研究表明其具有稀释痰液,促进痰液排出等多重作用,进而可以对呼吸系统进行有效的保护,临 床常用于治疗肺炎、支气管炎、慢性阻塞性肺病等多种呼吸系统疾病,临床疗效显著

盐酸氨溴索口服溶液治疗肺炎,支气管肺炎用盐酸氨溴索效果好吗

盐酸氨溴索的药理学作用非常多样,其具体包括以下3个方面的作用。

首先, 氨溴索可以稀释黏痰 。痰液中的酸性糖蛋白是导致痰液粘稠的主要成分, 而氨溴索就是一种多糖纤维分解剂,其可以对黏痰中酸性糖蛋白的结构进行裂解,进而将黏痰稀释 ,这有利于痰液排出。

其次, 氨溴索可以促进呼吸道中的纤毛功能恢复正常 。呼吸道上皮细胞表面覆盖有大量的纤毛,这些纤毛具有定向摆动的功能,可以促进进入气道中的痰液、细菌、灰尘等排出体外,但是在感染或者病理状态下纤毛的功能会受到影响, 而氨溴索可以恢复呼吸道纤毛的定向摆动功能,进而恢复气道的自我清洁能力,促进痰液咳出体外

第三、 氨溴索可以促进肺表面活性物质的合成和释放 。肺表面活性物质是一种磷脂蛋白复合物,其可以有效降低肺泡表面张力,保持肺泡的顺应性,同时可以保护肺部组织免受细菌、病毒的侵蚀,从而保护肺部的结构和功能, 而氨溴索可以促进肺泡细胞分泌肺表面活性物质,有效改善肺部功能,保护和修复肺部受损组织,进而改善疾病预后

第四, 氨溴索具有抗炎、抗氧化的作用 。呼吸系统中的多种疾病都与炎症反应、氧化反应效相关, 而氨溴索具有明显的抗炎和抗氧化的作用,可以抑制多种炎性因子的生成,同时对于多种炎症细胞也具有不同程度抑制作用,并且可以对呼吸系统中的超氧阴离子、过氧化氢、过硝酸根等多种氧化因子进行清除 ,从而减轻这些威胁因素对呼吸系统的损伤,改善疾病预后。

最后, 氨溴索可提高抗生素在肺组织的浓度 。临床上针对感染性的呼吸系统疾病,常将抗生素与氨溴索联用, 这是因为氨溴索具有诱导作用,可以提高抗生素在肺组织的浓度,进而提高抗生素的杀菌作用,抑制细菌的增殖和粘附作用,从而有利于加速疾病恢复

二、盐酸氨溴索常用于治疗这些疾病

盐酸氨溴索作为临床常用的化痰药,其临床应用非常广泛,几乎所有伴随咳痰的疾病都可以使用,但是不同疾病的治疗剂量和使用疗程不同,建议大家在专业医师指导下用药,临床上盐酸氨溴索可以治疗以下4种疾病。

1、辅助治疗下呼吸道感染

下呼吸道感染是多种疾病的总称, 具体包括气管炎、支气管炎、肺炎等 ,这些疾病多伴有细菌或者病毒感染,并且容易导致大量黏痰阻塞气道。临床上常用盐酸氨溴索与抗生素、抗病毒药、激素等联用,不仅可以采口服氨溴索,也可以采用静脉滴注氨溴索, 临床研究表明每次静脉滴注20mg-40mg氨溴索,每日2-3次,可明显缓解下呼吸道感染患者的临床症状,改善疾病预后

盐酸氨溴索口服溶液治疗肺炎,支气管肺炎用盐酸氨溴索效果好吗

2、慢性阻塞性肺病

慢性阻塞性肺病的患者多伴有咳嗽、咳痰、喘息等多种临床症状,其日常需要服用化痰药、气管扩张药、激素等,而盐酸氨溴索就是其需要长期口服的药物之一, 临床研究表明每次口服30mg盐酸氨溴索片,每日服用3次,可以有效减少患者咳嗽、咳痰等临床症状,同时可以减少慢性阻塞性肺病的急性发作,尽量保护肺部功能

盐酸氨溴索口服溶液治疗肺炎,支气管肺炎用盐酸氨溴索效果好吗

3、急性呼吸窘迫综合症

急性呼吸窘迫综合征是一种由于各种病因素所导致的急性进行性缺氧性呼吸衰竭,其中肺表面活性物质分泌减少,导致肺泡不张是导致急性呼吸衰竭的重要诱因,而盐酸氨溴索具有促进分泌肺表面活性物质的作用, 临床研究表明在发病7天内大量静脉注射盐酸氨溴索可以有效改善急性呼吸窘迫综合征患者的肺部功能,减轻肺部损伤,提高患者的氧合指数,改善疾病预后

4、分泌性中耳炎

有研究表明出分泌性中耳炎的发生与咽鼓管表面活性物质减少有着密切关系,而咽鼓管分泌的活性物质的结构和功能与肺泡表面活性物质分泌相似, 而使用盐酸氨溴索后可以刺激咽鼓管分泌表面分泌活性物质,促进中耳部的分泌物排出体外,进而发挥治疗分泌性中耳炎的作用

三、盐酸氨溴索片需不需要长期服用?有不良反应吗?

既然盐酸氨溴索具有这么多好处,那是不是可以长期服用呢? 答案是并不是所有患者都需要长期服用,只有患有慢性呼吸系统疾病的患者才需要长期口服,但需要注意服药过程中可能的不良反应

盐酸氨溴索口服溶液治疗肺炎,支气管肺炎用盐酸氨溴索效果好吗

首先,盐酸氨溴索的主要作用是化痰,促进痰液排出,因此对于临床上以咳痰为主的疾病可以适量使用, 但对于干咳无痰或者以喘息胸闷等临床症状为主的疾病仅仅只能取到辅助治疗的作用 ;其次,针对急性感染性呼吸系统疾病的患者而言,只需要将感染控制后,咳痰的症状自然会逐渐消失, 因此盐酸氨溴索只需要在急性期使用,无需长期口服 ;最后,对于患有慢性呼吸系统疾病的患者,如慢性支气管炎、慢性支气管哮喘、慢阻肺等, 则可能需要长期低剂量服用,在减轻咳嗽咳痰的同时,尽量保留肺部功能

长期口服盐酸氨溴索可能引起多种不良反应, 其中最为严重的是中毒性表皮坏死松解症和全身性发疹性脓疱病 ,这是2种非常罕见的严重皮肤反应,一旦发现需要立刻停药,并且前往专业的皮肤科进行专科治疗;其次,最 常见的不良反应为胃肠道反应,如胃痛、恶心呕吐、食欲不振等 ;最后, 极少数患者对于盐酸氨溴索过敏 ,出现过敏性休克、血管性水肿等过敏反应,这情况要立刻停药,并且前往医院进行救治。

四、科学服用盐酸氨溴索片注意5点

常规剂量下的盐酸氨溴索安全性较好,不容易出现不良反应,但是如果是长期口服或者短时间大剂量口服就会引起多种不适,因此建议大家在医生指导下规范用药,科学服用盐酸氨溴索片注意以下5点。

第一、注意药物的剂量和服用方法

盐酸氨溴索片的常规剂量为每片30mg,但是成年人和儿童的服用剂量不同。

12岁以上儿童和成年人的服用方法为每次30mg,每日3次,如果需要长期服用,则可以改为每次30mg,每日日2次。

12岁以下儿童的服用方法为每日每公斤体重1.2-1.6mg,需要根据儿童的体重进行科学计算。

盐酸氨溴索对于胃肠道具有一定刺激, 因此建议饭后服 用;其次,盐酸氨溴索见到光线、空气等容易变质, 因此一定要避光、密封保存,以确保药效

第二、注意药物的不良反应

盐酸氨溴索最常见的不良反应是消化系统反应 ,如腹痛、胃痛、腹泻、消化不良等,但大多可以耐受;其次,盐 酸氨溴索还有可能引起神经系统的不良反应, 如头痛、头晕等,但大多不需要停药;第三、 极少数患者对于盐酸氨溴索过敏, 这类患者建议停药,更换其他化痰药;最后, 极少数患者服用盐酸氨溴索后会导致严重皮肤反应 ,如皮肤脓疱、皮肤松解等,这类患者要立刻停药,并且前往专科医院进行治疗。

第三、注意特殊人群用药

孕妇及哺乳期女性禁用 ,缺乏安全性数据; 12岁以下儿童应在医生指导下规范用药 ,并且根据体重计算用药剂量; 老年人应尽量从低剂量用起, 如果需要长期口服则需进行定期监测; 药物过敏患者禁用 ;最后, 如果患者在家服用药物7天后,咳嗽咳痰症状仍无好转,这需要立刻就医。

第四、注意联合用药

针对感染性呼吸道疾病,盐酸氨溴索可以与头孢类、喹诺酮类等多种抗生素联用,这可以有助于提高抗生素在肺组织的浓度,从而提高对于细菌、病原微生物的杀灭作用。

第五、注意不宜与中枢性镇咳药联用

中枢性镇咳药是一类通过抑制大脑中的咳嗽中枢,从而缓解咳嗽的发作的药物,常用的有右美沙芬、喷托维林等, 这类药物的镇咳作用很强,但是这些药物不宜与盐酸氨溴索联用,因为会导致稀释后的痰液不能被及时咳出体外,进而引起其阻塞气道,容易加重患者的胸闷、喘息等缺氧症状

五、总结

综上所述,盐酸氨溴索是临床常用的化痰药,临床常用于治疗慢性支气管炎、肺炎、慢性哮喘等多种呼吸系统疾病,但是不同人群的服用方法不同,建议大家在医生指导下规范用药;其次,并不是所有患者都需要长期口服,只有慢性呼吸系统疾病的患者需要低剂量长期服用;最后,一定要注意服药过程中的不良反应,如胃肠道反应、皮肤反应、过敏反应等,如果发现立刻前往医院进行就诊。

图片来自于网络,侵删

谢谢您的阅读,如果您觉得本文对您有帮助,请麻烦点个赞或者收藏,如果您的家人朋友也有相关问题,请把这篇文章分享给他们,谢谢。想要获得更多的健康知识,关注小五的头条号——小五的健康科普小站,早关注、不迷路呦

#新冠口服药怎么选#