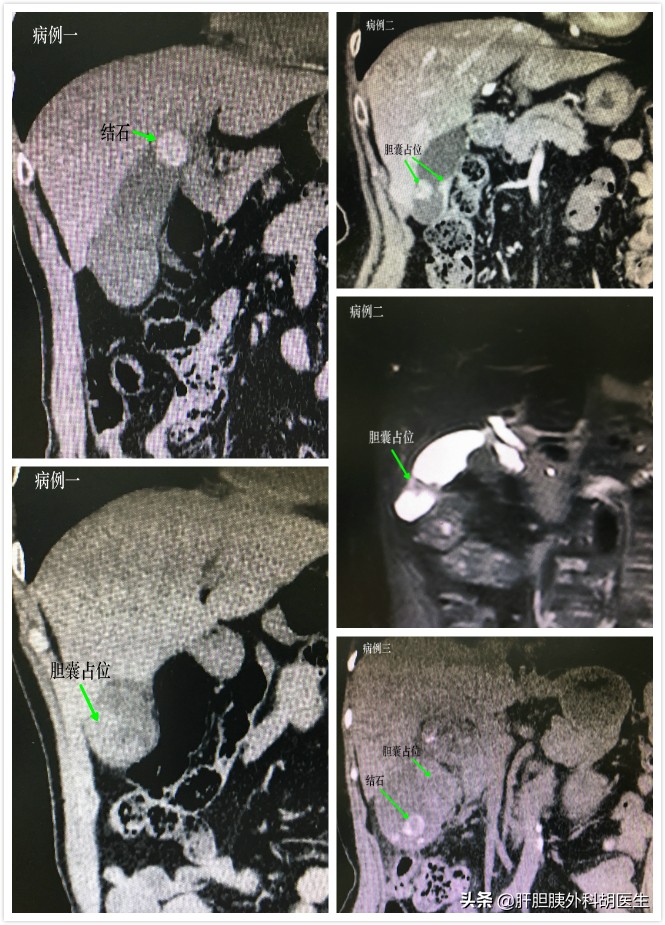
近期连续碰到多例胆囊癌患者,其中4例均有胆囊结石病史多年,未及时治疗,此次出现胆囊炎表现,做了CT发现胆囊占位。顺利施行了胆囊癌根治术,病理明确为胆囊腺癌。另一例有胆囊息肉数十年,定期复查胆囊息肉2-3mm,但半年前查B超提示胆囊息肉明显增大至1.2cm,未引起警惕,此次来查CT已经提示胆囊癌可能。先行胆囊切除,术中冰冻明确为胆囊腺癌。遂施行了胆囊癌根治术。

胆囊癌是一种高侵袭性的恶性肿瘤,虽然总体发病率较低,占胆道疾病的0.4-3.8%,位列消化道肿瘤发病率第6位,但其具有早期淋巴结转移、直接浸润肝脏、易发生腹腔种植和血行转移的特点。多数患者就医时已属晚期,丧失手术机会,而化疗、放疗等对其均无法取得理想的效果。因此,胆囊癌预后差,一般5年生存率仅为5%。

胆囊癌发病率随年龄增加呈上升趋势,20-49岁发病率为0.16/10万;50-64岁为1.47/10万;65-74岁为4.91/10万;>75岁为8.69/10万。此外,女性发病率较男性高2-6倍。
今年全国肿瘤防治宣传周期间,上海市抗癌协会和复旦大学附属肿瘤医院推出了2019版的《居民常见恶性肿瘤筛查和预防推荐》。其中指出,胆囊癌的高危对象中明确提到了胆囊结石、胆囊息肉以及胆囊慢性炎症。

1、胆囊结石
约85%的胆囊癌患者合并胆囊结石,胆囊结石患者罹患胆囊癌的风险是无胆囊结石人群的13.7倍。而在胆囊结石患者中,单个结石直径2-3cm之间者,其患胆囊癌的风险增加5-10倍;如果单个结石大于3cm,其患胆囊癌的风险增加10倍以上。

2、胆囊息肉
近5%的成年人患有胆囊息肉样病变,但多数为假性息肉,无癌变可能。胆囊息肉具有恶变倾向的特征有:息肉直径大于10mm(约1/4发生恶变);息肉直径小于10mm但合并胆囊结石、胆囊炎;单发息肉或无蒂息肉,且迅速增大者(增长速度超过3mm/6个月)。年龄超过50岁的胆囊息肉患者,恶变倾向增高,需动态观察。

3、胆囊慢性炎症
胆囊组织慢性炎症与胆囊癌也关系密切。胆囊慢性炎症伴有粘膜腺体内的不均匀钙化、点状钙化或细小钙化被认为是癌前病变。胆囊壁因钙化而形成质硬、易碎和呈淡蓝色的瓷性胆囊,约25%瓷性胆囊与胆囊癌高度相关。

4、肥胖症和糖尿病
肥胖症者(体质量指数BMI>30kg/m2)可明显增加胆囊癌发病率,其BMI每增加5kg/m2,女性患胆囊癌风险增加1.59倍,男性增加1.09倍。肥胖症引起的代谢综合征可增加患胆囊癌的风险,如糖尿病是形成结石的危险因素,糖尿病与结石协同促进胆囊癌的发生。

因此,为了预防胆囊癌的发生,有效切断胆囊癌变之路,出现下列危险因素时应考虑尽早行微创腹腔镜胆囊切除术。
1、直径>3cm的胆囊结石;
2、合并有胆囊壁不均匀钙化、点状钙化或多个细小钙化的胆囊炎以及瓷性胆囊;
3、胆囊息肉直径>1cm;胆囊息肉直径<1cm合并胆囊结石、胆囊炎;单发或无蒂的息肉且迅速增大者(增长速度>3mm/6个月);
4、合并胆囊结石、胆囊炎的胆囊腺肌症;
5、胰胆管汇合异常合并胆囊占位性病变;
6、胆囊结石合并糖尿病。

筛查建议
1、高危人群:建议6个月行血清CEA、CA19-9和肝胆B超检查;
2、一般人群:建议每年行血清CEA、CA19-9和肝胆B超检查,尤其是女性。

@南方健康 @头条健康 @头条养生 #清风计划# #青云计划# #真相来了# #健康真相馆#