骨折经过治疗后,并没有长在一起,怎么办?传统植骨创伤大,不妨试试“不植骨治疗骨不连”技术。下面就跟随威海市中心医院创伤外科副主任医师杜全红一起来了解何为“不植骨治疗骨不连”技术。
骨不连,顾名思义就是骨折经过治疗后并没有长在一起。据统计,骨不连的发生率大约在5%一10%。

(骨不连模型)
目前传统的治疗方法就是清理骨折端,取病人自己的骨头,植入骨不连区域,这个方法疗效值得肯定,但是最大的问题是会给病人增加额外的创伤,病人的经济花费也比较高。

(传统治疗方法:大范围清理骨折端)

(取自体髂骨)

(360度环抱植骨,更换原有内固定)
威海市中心医院创伤外科团队在隋海明院长的带领下,研究了上千例骨不连病人,发现很大一部分骨不连病人局部仍然是有生物活性的,因此创伤外科依托医院中心实验研究室的生长因子提取技术,提出了采用微创生长因子植入的方式治疗骨不连,这样避免植骨就可以实现骨不连的愈合。
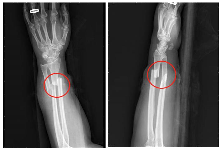
下面给大家介绍一个比较经典的病例,这是一个女性患者,由于机器挤压,导致导致前臂的尺骨和桡骨出现了双骨折,由于局部的皮肤剥脱比较严重,因此选择了钢板固定桡骨,尺骨选择闭合复位的弹性钉固定的治疗方案。

(初次受伤X线片)

(清除坏死皮肤,桡骨钢板内固定,尺骨闭合复位弹性钉内固定,皮瓣修复创面)
但很不幸的是,病人在手术后6个月和9个月复查的时候拍片发现尺骨的骨折间隙非常明显,骨头没有长到一起,这在骨不连的分类上属于传统意义上的扭转楔形骨不连。传统观念认为这种类型骨不连局部的生物活性是非常差的,所以只能选择植骨的手术方式。

(术后6个月)

(术后9个月)

(传统观念:扭转楔形骨不连,没有生物活性)
由于病人初次选择的是闭合复位的方式,创伤外科团队在仔细分析后,认为这个骨块仍然是有生物活性的。在和患者充分沟通后,在隋院长的主持下,创伤外科团队采用了生长因子注射的微创治疗方式。

(手术中定位,注射生长因子)
在C臂机的引导下定位骨不连区域,隋院长为患者注射生长因子,整个治疗过程不到5分钟时间,治疗结束后局部只有一个针眼。
大家一定很关心,这么微创的治疗方式,能不能治愈这个骨不连。这是病人手术治疗后3个月回来复查的X线片,大家可以看到骨不连的区域已经完全实现了骨性的愈合,间隙已经消失了。

(生长因子注射术后3个月)
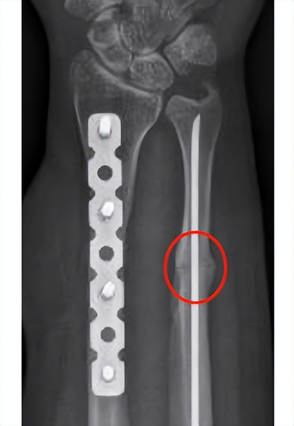
在术后6个月的时候,在病人的要求下,取出了钢板和弹性钉。病人最后一次来医院的时候,前臂的腕关节的背伸功能、掌曲功能以及前臂的旋转功能已经完全接近正常。骨不连完全愈合,这个愈合速度其实已经超出了传统植骨手术,而且没有给病人增加额外的创伤,病人对这种治疗方式非常满意。

(生长因子注射术后6个月去除内置物)


(治疗结束的功能)
可以说,生长因子是治疗骨不连的一个有力*器武**,但是看似简单的一种治疗方式,需要医生对骨不连这个病有深入的理解,对每一个病人都要有个性化的分析,准确判断骨不连区域的生物活性,这样才能真正用好生长因子这个*器武**,起到四两拨千斤的效果,希望威海市中心医院创伤外科“不植骨治疗骨不连”的理念能惠及更多的患者。