点击「神经介入在线」可快速关注
作者:张天佑
单位:包头市中心医院
患者,女性,36岁,怀孕6个月,剖腹产后第10天。
术前
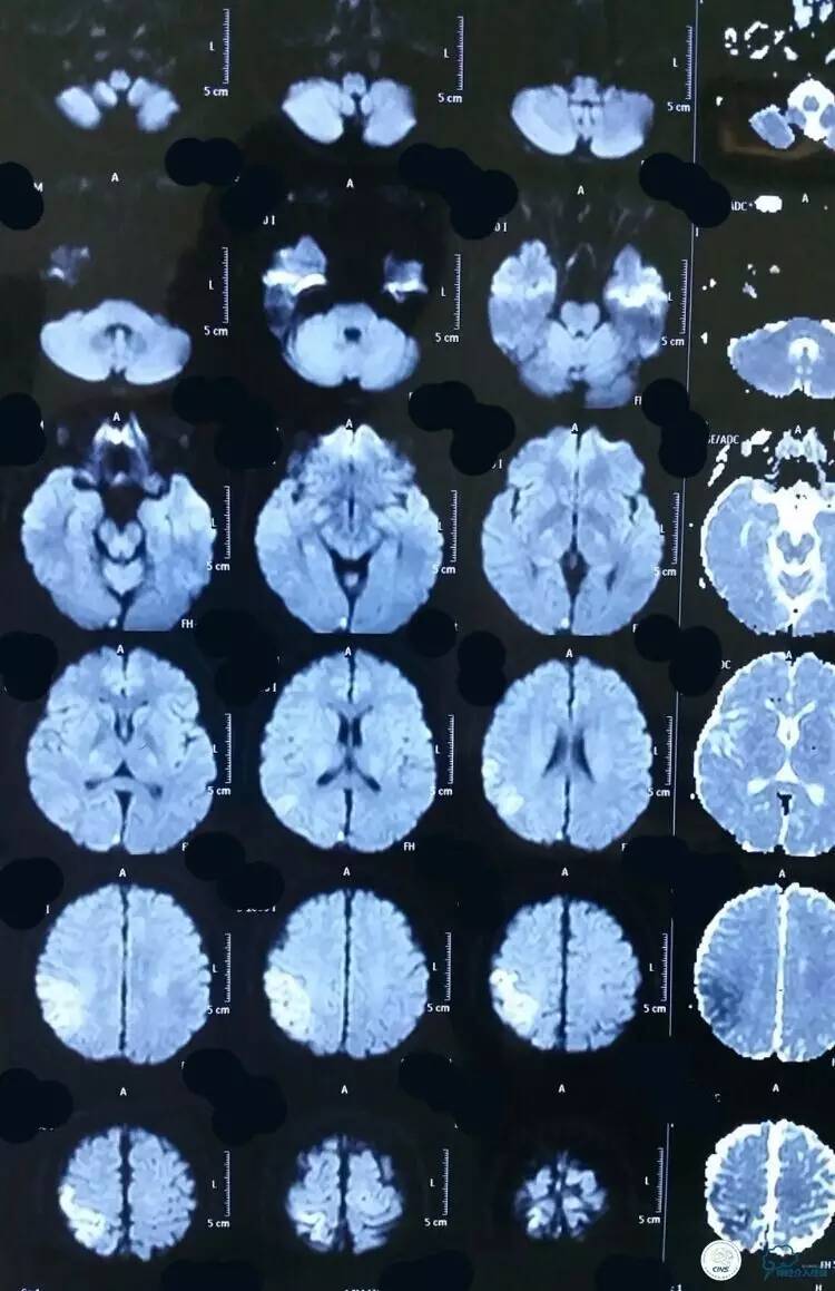
▼术前DWI:有静脉性脑梗塞

▼术前ADC:

▼术前MRV提示上矢状窦完全闭塞,左侧横窦、乙状窦充盈不良。

▼术前MRV:

▼术前造影和MRV一致:

术中
▼8F-Guiding 导管+6F-Navien 导管到位,微导丝选入上矢状位窦内。

▼Solitare6mm-30mm支架放于近端窦汇处,血栓中,5分钟后取栓。

▼取栓后再次,微导管到矢状窦:

▼第一次取出的血栓:

▼第二次取栓:

▼血栓:

▼血栓堵死了静脉窦远端:

▼正位造影:

▼微管造影:

▼导丝,支架位置:

▼支架释放:

▼确定微管位置:

▼第三次血栓:


▼第三次取栓后造影,窦通畅,下矢状窦显影延迟,说明上矢状窦通畅了。

▼正位:

总结:
静脉窦血栓入路比动脉路径要困难的多,可以采用的手段以往主要是接触性溶栓、球囊扩张,手术往往要耗费大量的时间。随着介入器材的不断进步,我们配合中间导管、可回收支架取栓技术、接触性溶栓技术,大大提高了效率,提高了开通率,明显缩短手术时间。