不想错过界哥的推送?
戳上方蓝字“医学界消化肝病频道”关注我们
并点击右上角“···”菜单,选择“设为星标”

食物消化自有“道”,支架疏“堵”效果好。
文丨王建明 王建辉
来源丨阳煤总医院消化内镜
俗话说:民以食为天!可见食物对人类生命健康的重要性,人类对食物的消化和吸收都离不开消化道,所以消化道结构和功能的正常与否直接影响人的身体健康。
临床上经常遇到消化道梗阻的患者,这些患者由于消化道“堵塞”,导致营养物质无法消化吸收,还会出现严重的水电解质失衡,如果不及时处理,会危及生命。
消化道梗阻见于各种消化道疾病,比如恶性肿瘤、腹部手术后粘连、溃疡病、炎症性肠病等等,临床上最常见的就是肿瘤导致的梗阻。手术切除病灶是治疗消化道梗阻的有效方法,而对于晚期恶性肿瘤合并消化道梗阻患者,支架置入是姑息治疗的理想选择。置入消化道支架可以有效缓解梗阻,改善患者营养状况,纠正水电解质失衡,恢复患者消化道机能,保障营养物质的消化吸收。对于已经失去手术机会的梗阻患者,消化道支架置入可能就是唯一的选择。
下面就列举两例消化道恶性肿瘤合并梗阻患者的治疗经过,阐述消化道支架在梗阻性疾病治疗中的作用。
01
胃流出道梗阻
■ 先来看看发病情况
患者2012年7月因“腹痛”就诊于北京某医院,行胃癌根治术。术后病理示:腺癌II级,浸润胃壁深肌层,切缘阴性。淋巴结转移性癌:小弯0/5,大弯3/27,1组0/2。
术后腹痛症状消失,后行奥沙利铂+卡培他滨化疗6周期。2015年12月吻合口复发,再次术后治疗,术后放疗25次,紫杉醇+替吉奥化疗6周期。2017年9月发现横结肠肿物,行结肠部分切除术,术后免疫组化考虑胃来源,术后口服中药治疗。2018年1月发现癌胚抗原进行性升高,PET-CT:原结肠手术区代谢异常升高,考虑转移,新发现肝转移,吻合口复发不除外。予奥沙利铂+替吉奥化疗4周期,过程顺利。
到此为止,患者已经接受了3次大的腹部手术,并接受了放化疗。但是,疾病仍然进展。2018年6月下旬患者出现恶心、呕吐,腹痛、腹胀,不能进食,X线腹部平片及腹部CT检查提示肠梗阻合并感染(见图1、图2),给予抗炎对症治疗效果差。结肠镜检查见横结肠占位伴梗阻(图3)。患者腹痛腹胀进行性加重,出现高热、血压下降等感染性休克症状。患者已经无法耐受再次开腹手术!

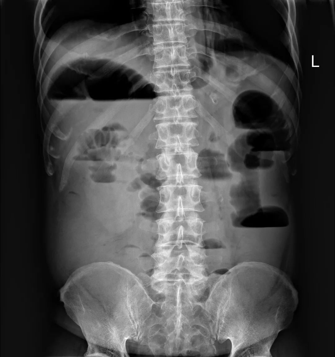
图1 腹部X线平片见扩张的肠管和气液平——典型的肠梗阻

图2 腹部CT可见扩张的肠管和气液平

图3 结肠镜检查发现横结肠占位伴梗阻
■ 治疗过程如何?
2018年7月初行结肠支架置入术(图4、图5、图6)。

图4 结肠支架置入术

图5 结肠支架置入术

图6 X线腹部平片见结肠支架就位良好,肠梗阻消失
术后呕吐、腹痛、腹胀、发热等症状消失,患者能进半流食,出院回家静养。本以为可以消停一段时间了,但是……
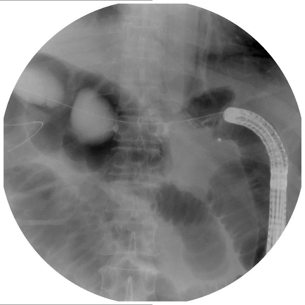
2018年8月底,患者再次出现恶心、呕吐症状。无明显的腹痛症状,无发热。上消化道碘油造影见近端小肠扩张,造影剂通过受阻(图7、图8)。

图7 上消化道造影见近端小肠局部明显扩张

图8 消化道造影见扩张的小肠段远端有局限的狭窄,造影剂通过不畅
胃镜检查:反流性食管炎,胃内液体潴留,吻合口前区黏膜下隆起——考虑转移灶压迫,近端小肠梗阻(图9、图10、图11、图12、图13)。根据消化道造影及内镜检查结果,考虑梗阻部位在近端小肠,吻合口前区虽有较大的隆起灶,但是内镜通过可,暂不处理。

图9 胃镜检查见反流性食管炎

图10 胃镜检查见大量胃液残留

图11 胃镜检查见胃流出道前区隆起灶,考虑胃壁外压病灶

图12 胃镜检查见近端小肠梗阻

图13 胃镜检查见近端小肠梗阻
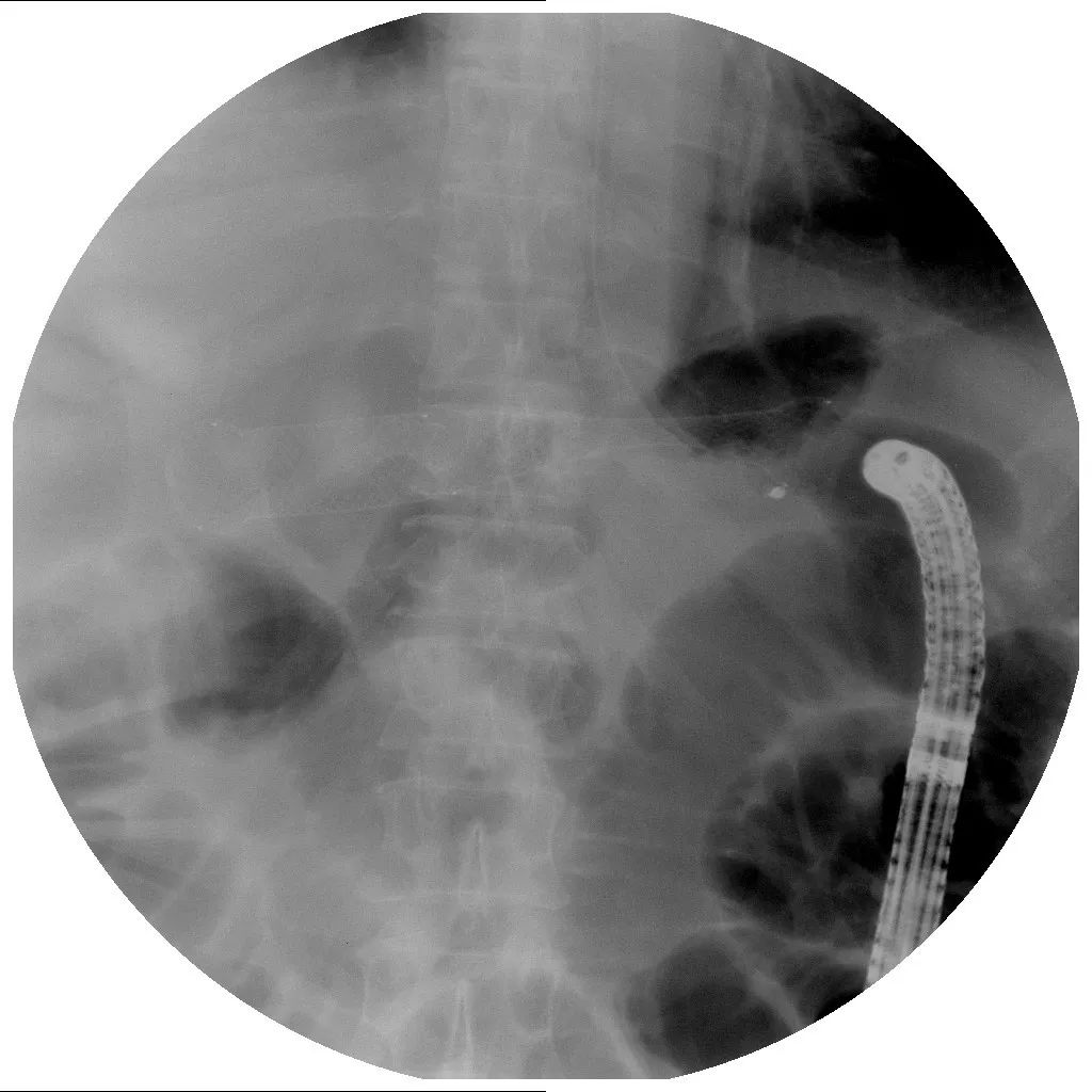
征得患者同意后,于2018年8月31日行内镜下肠道(小肠)支架置入术。术后梗阻症状缓解,患者可以进流食(图14、图15)。

图14 上消化道造影见近端小肠支架置入术后,小肠扩张征象消失

图15 上消化道造影见造影剂通过小肠支架顺畅
术后患者进流食尚可,恶性、呕吐较前明显减轻,好转出院。到此,患者已经放置两个肠道支架了,但是还没有结束。
2018年9月底,患者恶心、呕吐症状再次加重,呕吐物为胃内容物,不能进食水,伴反酸、烧心,为进一步治疗来诊。X线腹部平片未见肠梗阻。上消化道造影检查见胃排空障碍,结合之前的内镜检查结果,考虑胃流出道梗阻(图16)。

图16 上消化道造影见胃排空障碍,流出道狭窄
对患者来说,目前营养支持方法有:
1. 放置胃流出道支架;
2. 留置三腔鼻肠管,兼顾肠内营养和吸引胃液;
3. 完全肠外营养。
跟患者充分沟通,分别讲述了几种方法的利弊。由于患者肿瘤已经多处转移,全身状况较差,预计生存期短,因此建议患者选择第2种方案,即放置三腔鼻肠管。三腔鼻肠管留置时间长,营养管不易堵塞,可以满足患者的营养和减压要求,而且费用相对较低,是首选治疗办法。
但是,患者出于美观和舒适度的考虑,坚决要求放置肠道支架(胃流出道支架)。于是,在2018-9-30为患者放置了胃流出道支架。术中见胃内有大量胃液潴留,吻合口前区狭窄,前壁肿物隆起,内镜通过困难。证明术前判断是正确的。术后第二天,上消化道碘油造影见胃排空较前加快,支架位置良好,造影剂通过支架顺畅(图17)。

图17 上消化道造影见胃流出道支架置入术后胃排空加快,支架通畅
患者恶心、呕吐症状明显减轻,加用甲氧氯普胺注射止吐,并口服乳果糖通便治疗,患者恶心、呕吐症状完全消失。
02
结肠脾曲梗阻
■ 患者发病情况
患者于2018年5月因吞咽不畅、呕血行胃镜检查,诊断贲门-胃底癌。2018年5月3日在全麻下行贲门胃底癌根治术,术中所见:肿瘤位于贲门、胃体小弯及胃底部,侵及全层,部分膈肌受侵。贲门区、胃左动脉旁有肿大淋巴结,腹水征阴性,肝脏及胰腺未发现转移灶。食管下端受侵,呈全周型。
术后病检:贲门、胃底腺癌II-III级,肿物侵及全层,脉管内可见癌栓,神经组织受侵;上、下切缘阴性;淋巴结可见癌转移:小弯侧淋巴结7/12,下肺韧带淋巴结0/5;大弯侧软组织均未见癌浸润。免疫组化:AK1/AK3(+)、Her-2(灶性弱+)、CD34(+)、D2-40(+)、NSE(神经组织+)、Ki67(约15%+),结合免疫组化结果,符合腺癌II-III级,脉管内可见癌栓,神经组织受侵。
术后恢复可,行辅助化疗6周期,具体用药不详。2018年12月18日,患者口服卡培他滨化疗过程中出现恶心、呕吐,伴腹部疼痛,停止排气、排便。行胃镜示:胃大部术后,反流性食管炎,吻合口炎,胃潴留,慢性糜烂性胃炎。上消化道造影示:十二指肠水平部梗阻(图18)。

图18 上消化道造影见十二指肠水平部梗阻
给予胃肠减压、营养支持后,患者症状无明显好转。每天胃肠减压量约500毫升。患者腹部疼痛加重,阵发性,尤以平卧位为重,影响入睡,为行进一步诊治入住我科。患者自病情加重以来,近1月体重减轻20kg。
■ 治疗经过如何呢?
2019年1月8日行肠道(十二指肠)支架置入术。术中内镜见十二指肠水平部充血、水肿、狭窄,未见肿块。术后X线平片见支架位置良好(图19),上消化道造影显示造影剂通过支架顺畅(图20)。

图19 腹部X线平片见十二指肠支架就位良好,横结肠扩张

图20 上消化道造影见造影剂通过十二指肠支架顺畅
但是患者仍有恶心、呕吐症状,呕吐少量胃液。重新进行全消化道造影,又发现了新的问题:结肠脾曲梗阻!(图21、图22)

图21 X线平片见横结肠扩张

图22 消化道造影见肠梗阻--多发的气液平
征得患者及家属同意后,于2019-1-10为患者放置结肠支架。术中结肠镜见结肠脾曲充血水肿,内镜无法通过。未见明确的肿物。结肠支架放置过程顺利,术后复查X线平片,见扩张的结肠回缩,造影剂通过了结肠脾曲(图23)。

图23 两支架就位良好,肠梗阻缓解,扩张的横结肠回缩,造影剂通过结肠脾曲
术后患者腹胀消失,腹痛症状减轻,可以自行排气,能进食流质饮食。
上述两例患者诊治体会
上面介绍的两例患者,都是腹部恶性肿瘤手术后腹腔多发转移合并消化道多段梗阻的患者。患者已经失去再次手术机会,消化道梗阻给治疗带来了很大的挑战。消化道梗阻的不良后果包括营养吸收障碍、水电解质失衡以及继发感染等。
这类患者营养支持治疗的方法和途径选择比较困难。全胃肠外营养是可以解决患者营养问题的,但是存在费用高、并发症多(感染、代谢紊乱、水电解质失衡等)等不足。而且,患者的胃肠道功能并没有完全丧失!因此,肠内营养是患者的最佳选择,而开通胃肠道是首先需要解决的问题。解决水电解质失衡,只有消化道支架置入是最合理的方法。
这种情况下,消化道支架就是最佳选择。消化道支架置入技术已经比较成熟,难点在于对梗阻部位和梗阻性质的判断,并且腹部手术后腹腔粘连患者内镜不容易到达预定部位。而内镜下放置支架治疗的风险(主要是穿孔)则成倍增加。还有,腹部恶性肿瘤腹腔转移患者会出现消化道多段梗阻和反复梗阻,给后续治疗带来困难。这时,与患者及家属充分沟通就显得尤为重要!
通过我们细致的努力,为这两位患者完成了多枚关键部位支架的放置,成功为患者解除了消化道梗阻,保障了营养道路的畅通。为改善患者生活质量、延长患者生存期做了有益的工作。
参考文献:
[1] 王学群,谢永康.肠道支架在结直肠癌行梗阻中的应用体会[J].《中国医师进修杂志》,2015,38(6):451-452.
[2] 刘福利,蒯景华.内镜结合X线下支架置入术治疗胃出口恶性梗阻38例临床分析[J].《胃肠病学》,2007,12(8):484-487.
[3] 陈茂松,崔海宁,陈俭云.记忆钛镍合金肠道支架在左半结肠癌并梗阻中的应用[J].《医学临床研究》2010,27(6):1104-1105.
[4] 闫军红,胡兆深.肠道支架置入治疗胃十二指肠恶性梗阻[J].《现代消化介入诊疗》,2010,15(1)59-60.
征 稿
欢迎投稿到小编邮箱:xh@yxj.org.cn
请注明:【投稿】医院+科室+姓名
来稿以word文档形式,其他不予考虑
小编微信:329365819,稿费丰厚哦~
写得好用心的,不给个好看吗?
↓↓↓↓