有一些儿童在接种卡介苗后出现与注射同侧的腋窝处出现肿块,由小逐渐变大,且并不伴有疼痛,往往是在给患儿洗澡或者换衣时偶然发现。接种卡介苗后的腋下肿物可能是什么?又该怎么处理?
笔记要点
接种卡介苗后的腋下肿物的鉴别诊断与处理
====================
病例介绍
患者性别:男
患者年龄:10个月
简要病史
患儿因发现右侧腋下肿物来诊。
疫苗接种正常。
2月龄时,曾因咳嗽、发热做过X线胸片。后经过对症治疗,痊愈。

该肿物近一个月内未见生长,稳定,也未见消散。
体格检查
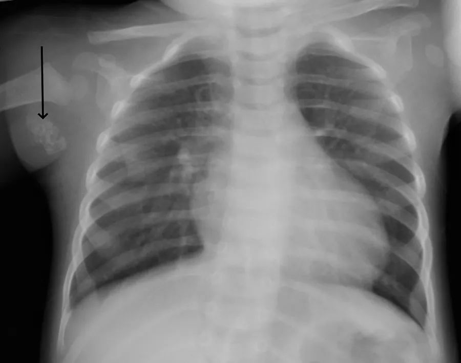
右侧腋下1.5cm肿物,外观未见红肿,局部皮肤不发热,触摸儿童不哭闹,可能无压痛。

检查卡介苗接种部位,有一黄豆大小卡疤,从卡疤看,接种部位、接种剂量、接种途径匀正确。未发现其他异常。
辅助检查
X线胸片,腋下钙化灶。

问题1
诊断是什么?
A 卡介苗接种正常反应
B 卡介苗反应性淋巴结炎
C 播散性卡介苗病
D 结核性淋巴结炎
问题2
对于该患儿,下一步处理建议是:
A 随访观察
B 肿块活检
C 抗痨治疗
D 外科切除
=============
背景知识
卡介苗接种正常反应:
卡介苗是人工减毒的牛型结核杆菌活菌苗,无致病力,只保留了产生免疫力的抗原性,是安全的疫苗之一,接种后通过淋巴循环到达全身,所以接种部位淋巴结(常为腋下)有一定程度的组织反应,表现为轻度肿胀,一般直径不超过1cm,约1~2个月消退。卡介苗接种偶见异常反应和并发症。
卡介苗反应性淋巴结炎:
临床表现为左腋下无痛性肿块,生长缓慢,肿物表面颜色正常。也可发红或青紫,边界较清,中等硬度,早期活动度好,渐与皮肤或皮下组织粘连,已形成脓肿者有波动或破溃,患儿生长发育好,一般状况好,无结核中毒症状。其诊断依据:有BCG接种史,接种后发生区域淋巴结病变,无,无结核中毒症状,除淋巴结肿大外无其他表现。
播散性卡介苗病:
全身卡介苗播散感染所致,国内外报道这类患儿大多数有免疫缺陷,如先天性胸腺缺如或发育不良,少数免疫功能正常。均于卡介苗接种后1-3个月出现左侧腋下或锁骨下淋巴结肿大,严重者可破溃,愈合慢,同时合并结核、肝脾结核、其他部位结核。该病多于周围淋巴结开始,可累及整个淋巴系统,从淋巴系统又逐步累及到内脏器官,以肝、脾、肺脏多见。文献中所描述的病理变化不完全一致,免疫缺陷者病理变化主要表现为化脓性肉芽肿病变,或仅见个别巨细胞,没有典型的结核样肉芽肿病变。免疫功能正常者,多数表现为结核样肉芽肿的形成,典型的干样坏死。虽然播散性卡介苗病发生率很低,但其预后差,病死率高。
结核性淋巴结炎
本病与疫苗接种没有关系,只是在疫苗接种后并发了结核感染。有结核接触史,感染人型结核杆菌,本质是结核病。
参考答案
答案卡介苗接种反应(腋淋巴结钙化)
对于该患儿,下一步处理建议是:随访观察
