#中耳炎##眼红##头痛##耳鸣##心脏病##血管炎#
刚过完60岁生日的李奶奶,在今年却得了一个怪病——年初的时候感觉耳朵不好使了,起初还以为自己年纪大了,有点耳背是正常的,就没太在意,但没过半个月,感觉 耳背 加重了,还出现了 头昏脑胀 、 耳朵流脓 的现象,两只 耳朵又闷又堵 ,十分难受。

李奶奶在当地医院就诊,诊断为“ 慢性分泌性中耳炎 ”,做了鼓膜切开术,并在鼓膜切口处放了一根小小的管子,让中耳里的液体流出、空气进入,以减轻中耳压力。
不料术后李奶奶听力下降仍然愈演愈烈,耳朵流脓的症状似乎也没有太多的好转,并且耳朵疼痛,伴有剧烈的 头痛和耳鸣 ,家人见状非常着急,便决定到老百姓心中的最后一站——北京协和医院去看一看。

在协和医院耳鼻喉科门诊,医生为李奶奶做了系列相关检查,纯音测听结果为 双侧极重度感音神经性聋 ,耳分泌物细菌培养、真菌培养均为阴性。细心的医生在查体时观察到李奶奶的眼睛有点发红,便追问了眼睛的情况。

李奶奶说自己 眼睛发红、眼睛刺痛 像进了沙子也有半个多月了,只是耳朵的情况越来越严重,就没有注意。耳鼻喉科大夫一听,觉得李奶奶这病不太像单独的中耳炎,便建议李奶奶去风湿免疫科看一下,请他们进一步查查原因。
到了风湿免疫科门诊,医生了解了李奶奶的病情后,仔细地为李奶奶做了体格检查。除了双眼眼红以及耳聋的症状外,医生发现李奶奶有 心律不齐、第一心音强弱不等 ,且 心率缓慢 ,仅有40次/分。在进一步追问李奶奶的心脏情况中了解到李奶奶有 高血压 ,平时吃降压药控制得很好,没有冠心病,最近一个月感觉有些 心慌 。

医生翻阅李奶奶之前的病历,找到了当时的心电图,显示为窦性心律。在确认李奶奶的 心悸是近期和中耳炎、眼睛发红一起出现 的之后,便立即为李奶奶重新做了心电图检查。

患者门诊心电图,可见III度房室传导阻滞
果然,李奶奶的心脏也出了问题。心电图结果可以看见房室之间完全脱节,这是典型的 房室传导阻滞 的表现。
鉴于李奶奶现在身上至少三个器官受到了损伤(眼、耳、心),尤其是心脏出现了严重的传导阻滞,有猝死的风险,同时还可能存在其他没有被发现的器官损害,医生建议李奶奶立即住院治疗。
很快李奶奶便住进了风湿免疫科的病房,在完善常规相关检查后(肝肾功能和尿常规均正常),便迅速提请了院内的多学科会诊,组织进行 MDT诊疗 。

协和MDT诊疗模式自20世纪建院之初便设立开展,21世纪之后逐渐完善,通常由主诊医生发起,由多学科专家对病例进行讨论,用于解决疑难重症罕见疾病的诊疗难题。在MDT模式下,多位学科专家可以在第一时间综合分析患者病情,综合各科意见,覆盖所有可能的治疗策略,从中给患者指定最合理的治疗方案,从而避免了误诊,最大程度让患者获益,提高了医疗效率和医疗质量。
在多学科会诊中, 眼科 会诊诊断为免疫性的巩膜炎和角膜炎。
心内科 会诊中表示,通过超声心动图发现了主动脉瓣增厚,轻度主动脉瓣关闭不全和微量心包积液。
神经科 会诊除外了脑血管病变的可能。
口腔科 会诊除外了干燥综合征。
放射科 阅读了患者入院后的颞骨CT、肺部CT、耳蜗MRI、鼻窦增强CT发现除了眼、耳、心之外,还有乳突炎、双侧鼻窦炎、肺部多发小结节和斑片影。

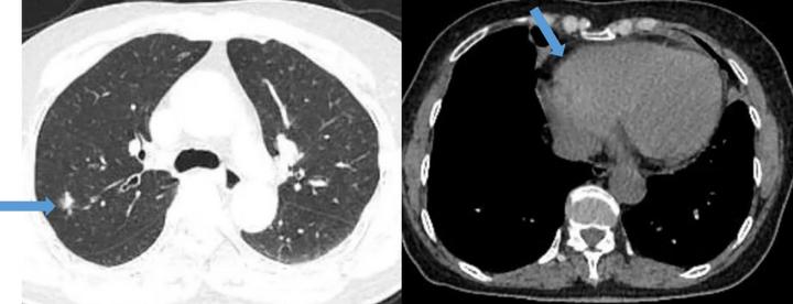
患者肺部CT结果,箭头(左)示肺部结节,箭头(右)示微量心包积液

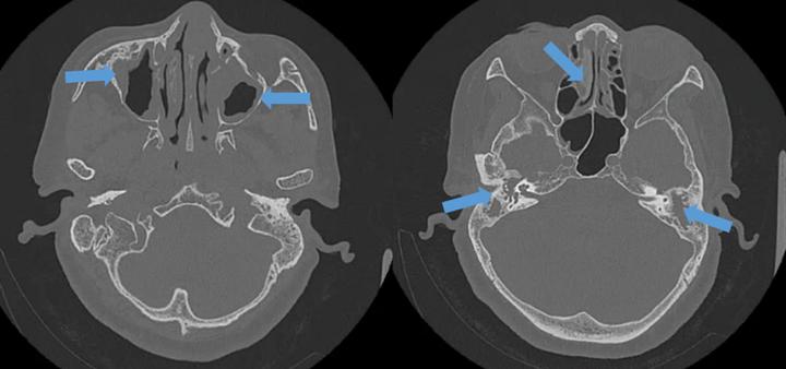
颞骨薄扫CT,箭头(左、右上)示上颌窦炎症,箭头(右下)示双侧中耳乳突炎
呼吸科 考虑肺多发小结节为原发病导致,建议随诊。
心理科 考虑患者因双耳听力丧失有抑郁发作伴焦虑状态和躯体症状,除相关抗焦虑抑郁药物治疗外还需要倾听、共情,加强家属的陪伴和支持。
耳鼻喉科 考虑可以通过“人工耳蜗植入术”来改善听力,但目前病情急性活动,手术治疗可能会加重病情,需要病情稳定后择期手术,同时可辅助免疫科进行中耳病变的组织活检,行病理诊断以明确原发病。

结合上述多学科的共同讨论,该患者慢性病程,累及中耳、乳突、巩膜、鼻及鼻窦、肺脏、心脏多个系统,结合血清炎症指标升高,虽然抗中性粒细胞胞浆抗体为阴性,但根据2022年欧洲抗风湿病联盟/美国风湿病学会GPA的分类标准,该患者定位于小血管受累,结合鼻/鼻窦炎表现(3分)、感音神经性耳聋(1分)、影像学符合鼻窦炎和乳突炎(1分)、肺部结节(2分),满足肉芽肿性多血管炎分类标准,于是医生做出了最终诊断: 肉芽肿性多血管炎 。
肉芽肿性多血管炎是一种较为罕见的自身免疫疾病。可以累及身体多个组织器官。常见中耳、内耳、乳突受累,表现为耳炎、感音神经性听力丧失、眩晕和软骨炎。眼部可呈现红眼和水肿,可发生鼻泪管炎症和阻塞、结膜炎、巩膜炎、葡萄膜炎或视网膜血管炎,甚至可能导致永久性失明。肺部表现为单发或多发的肺结节,有时引起胸痛、呼吸短促、咳嗽、咯血等症状。
李奶奶的症状可以由这个疾病很好地解释,而耳鼻喉科为李奶奶做的中耳软组织活检也见到了中耳腔内有较多肉芽,亦很好地验证了医生的诊断。
然而心脏传导阻滞是肉芽肿性多血管炎的罕见临床表现,当罕见病遇上了罕见表现,无疑为医生的诊疗带来更艰巨的挑战。风湿免疫科医生考虑李奶奶当前严重的临床症状,立即对她进行了足量的糖皮质激素联合免疫*制剂抑**治疗。
在激素冲击下,李奶奶的病情迅速得以控制,眼红、头痛、耳鸣症状逐渐消失,双耳流脓停止,心脏传导阻滞的程度也逐渐好转,肺结节逐渐减少,听力在病情稳定后进行了“人工耳蜗植入术”,显著改善。最终,在风湿免疫科持续近一年的门诊随访和管理下,李奶奶的病情得到了完全缓解。
肉芽肿性多血管炎 是抗中性粒细胞胞浆抗体相关血管炎的一个类型,患病率约为1/25,000,平均起病年龄是40岁,病因不明,患者的预后取决于严重程度和疾病范围,也同样取决于治疗是否及时。经治疗后,约有80%患者可达到完全缓解,然而其中有一半患者最终出现复发;复发可在维持缓解期或在治疗终止后,继续治疗或者加强治疗通常可控制疾病。因此此类患者一定要及时就医,定期随访,避免复发,切忌拖延,耽误病情。
而对于医生来讲,则需做好该类罕见病的诊断和鉴别诊断,在临床诊疗中善于观察,勤于思考,以患者为整体培养系统性诊疗思维,并积极联合多学科对患者进行及时、充分地治疗,以期最大程度减轻患者病痛、改善患者预后。
【参考文献】
[1] 何鑫,张桂芝,鲁涛, 等. 心脏传导阻滞:肉芽肿性多血管炎抑或IgG4相关性疾病?[J].协和医学杂志,2023,14(1): 379-384.
[2] Robson JC, Grayson PC, Ponte C, et al. 2022 American College of Rheumatology/European Alliance of Associations for Rheumatology Classification Criteria for Granulomatosis With Polyangiitis[J]. Arthritis Rheumatol, 2022, 74: 393-399.
▌科普主题来源于《协和医学杂志》疑难病与罕见病专栏: 【协和医学杂志】心脏传导阻滞:肉芽肿性多血管炎抑或IgG4相关性疾病?

编辑 丨刘洋 赵娜
审校 丨李娜 李玉乐 董哲 李慧文
监制 丨吴文铭
【版权声明】
《协和医学杂志》倡导尊重和保护知识产权,欢迎转载、引用,但需取得本平台授权。如您对文章内容及版权存疑,请发送邮件至medj@pumch.cn,我们会与您及时沟通处理。图文内容仅供交流、学习使用,不以盈利为目的;科普内容仅用于大众健康知识普及,读者切勿作为个体诊疗根据,自行处置,以免延误治疗。治病就医相关需求请于北京协和医院APP线上或线下就诊。