肩膀酸困,发凉,无力,肩贞穴压痛,警惕QSS!
四边孔综合征诊断与临床处理
From J Clin Med 2018
介绍
四边孔综合征(QSS)是一种罕见的以腋神经和肱后旋动脉(PHCA)压迫为特征的四边孔疾病,最早由Cahill和Palmer于1983年提出。Cahill最初描述了QSS的四个明显特征:(1)肩部周围弥漫性疼痛;(2)感觉异常;(3)四边孔压痛;(4)阳性血管造影发现。常见于反复的过顶活动(如棒球或排球运动员),但包括脂肪瘤、血肿和盂唇囊肿在内的各种其他病理学可能会导致四边孔受压。

虽然神经血管压迫确实解释了QSS的急性表现,包括疼痛、感觉异常和萎缩,但这主要是神经卡压还是血管压迫的问题仍有争议。压迫可能发生在休息或运动时,所有主诉为颈痛、肩痛、侧臂感觉异常和/或四边孔压痛的患者应考虑QSS。
解剖
四边孔由小圆肌-上部、大圆肌-下部、三头肌长头-内侧和肱骨干-外侧包围。腋神经和PHCA位于四边孔。腋神经支配小圆肌和三角肌,主要负责外展和外旋。特征性的纤维带出现在四边形空间内,这会加剧三角肌和小圆肌相关运动引起的症状,特别是疼痛。患者之间的盂肱关节神经分布模式的解剖差异可能使疼痛很难区分是由于肩胛上神经麻痹还是腋神经压迫所致。由于PHCA在肱骨颈周围伸展,对PHCA壁的重复张力和机械应力可导致血栓形成和动脉瘤变性。

病因学
QSS的病因尚不清楚,但撞击最常见的原因是外伤、纤维带或肌肉边界肥大。在罕见的病例中,QSS也由唇囊肿、骨折血肿、骨软骨瘤、脂肪瘤和腋窝神经鞘瘤引起。腋神经受压也可继发于旋肱后动脉瘤和创伤性假性动脉瘤。此外,解剖变异也会使患者易患QSS。例如,来自PHCA的桡侧副动脉起源异常,尽管很少见,但也可以模拟QSS的症状。在另一个病例中,肩胛下副肌的发现,起源于肩胛下前表面,在腋神经下走行,并插入肩关节,也可能成为QSS的罕见危险因素。
临床表现
QSS病例通常涉及年龄小于40岁、健康的年轻患者。患者可能有重复过顶活动的病史,例如排球、棒球或游泳运动员。症状表现可能是模糊的,涉及神经或血管的特点。神经源性QSS的特征是感觉异常、束颤、虚弱或非特异性的神经源性疼痛。提示血管源性QSS的症状包括急性缺血(疼痛、苍白、无脉搏)、血栓形成或栓塞(手或手指发冷或发绀)。除了血管和神经源性症状外,QSS患者还可能出现肌肉萎缩和伴随的虚弱,被认为是失神经的结果。患者也可出现四边孔压痛。在严重的病例中,PHCA的血栓可以阻断腋动脉的血流,导致栓塞和随后的紫绀、手指缺血和寒冷不耐受。

鉴别诊断
不明显的症状常常使QSS成为一个排除性的诊断,因为它可与该区域其他肌肉骨骼、血管或神经相关综合征表现极为相似。回顾患者的病史也可能是有用的;特别是在尝试治疗干预后没有明显的缓解。在我们的临床诊断QSS之前,有一位患者接受了以下手术:盂唇修复、肩峰下减压、探查清理术、第一肋骨切除术、前/中斜角切除术、神经松解术和胸小肌松解术。这个病人还尝试针灸,广泛的物理治疗和类固醇注射。
在QSS检查中排除的诊断包括肩袖损伤、颈椎病和盂唇损伤。在鉴别诊断中应考虑的其他臂丛神经病变,如胸廓出口综合征和臂从神经炎、盂肱关节炎和肩胛上神经损伤。肱骨头骨折、肩关节前脱位和钝性损伤都是腋神经损伤的来源,与腋神经压迫无关。在一份报告中,一名出现QSS症状(肩部疼痛和投掷时上肢麻木)的患者最终发现肱骨近端和背阔肌腱之间的腋神经受压。在这种情况下,临床表现可以相同,但神经压迫发生在四边孔外。
影像和其他检查
在QSS的诊断过程中,考虑到患者的临床表现往往很模糊,影像学对QSS的排除和确定都很重要。由于腋神经的压迫可能是间歇性的,常常是由于位置依赖性,QSS的成像可能是一个挑战。将手臂弯曲、外展和外旋几分钟被认为是重现症状和确保诊断的有效方法。当怀疑QSS时,通常通过影像学确诊。
数字减影血管造影、计算机断层血管造影和磁共振血管造影都被用于显示PHCA闭塞。虽然没有QSS的“金标准”诊断测试,但磁共振成像(MRI)通常是成像的首选。MRI常显示小圆肌局灶性脂肪萎缩,可排除肩痛的病理原因。动脉造影被描述为QSS诊断的基石;它被用来显示当病人的手臂处于外展和外旋时PHCA的压迫。与病理性肩关节相比,双侧上肢动脉造影有助于建立患者的基础健康解剖结构。PHCA流出减少表明邻近腋神经受压导致QSS。然而,在一项对照研究中,80%的无症状对照者在动脉造影中显示PHCA闭塞。

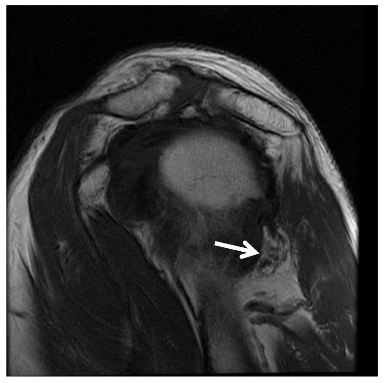
四边孔综合征患者肩关节磁共振成像左小圆肌萎缩。

一位27岁的右利手男性出现右肩疼痛和虚弱,对保守措施没有反应。他的疼痛位于右后肩,点压痛直接在四边孔。外展及内外旋转使疼痛加重。临床检查后,双侧上肢动脉造影术在中立位和刺激性操作后进行。旋肱后动脉(PHCA)双侧激发性数字减影血管造影在慢性右肩疼痛中的应用。(a) 指向右PHCA正常血流的箭头,患者处于中立、仰卧位。(b) 指向右肩外展和外旋后右PHCA外压的箭头。(c) 指向左侧PHCA正常血流的箭头,患者处于神经、仰卧位。(d) 左肩外展外旋后左PHCA正常血流的箭头。
最近的一份报告描述了超声诊断,显示患侧的PHCA扩张和三角肌轻度萎缩[33]。在另一项研究中,使用超声波检测PHCA的闭塞和狭窄。虽然不太常见,但也可以看到小圆肌轻度萎缩。彩色多普勒超声也被用来比较中性和激发位肱骨旋后动脉血流的差异。超声弹性成像也被用于诊断腋神经鞘瘤继发的QSS。虽然没有数据表明超声成像方法优于传统的血管造影成像方法,但超声提供了一种方便、廉价的方法来研究QSS。
其他人则描述了肌电图(EMG)的*在用潜**途。肌电图能检测到腋窝神经压迫所提供的肌肉失神经,如小圆肌和三角肌。然而,该检测具有较高的假阴性率。在一项研究中,4名已建立QSS的患者接受了EMG和MRI检查。所有四次肌电图扫描均为阴性,一半磁共振扫描正常。虽然肌电图可以产生假阴性结果,但它仍然可以消除神经性疼痛的其他病因,如神经性胸廓出口综合征。
厦门中山李映超医生谈颈肩腰腿疼
治疗
文献中QSS的管理和治疗存在很大的变异性,部分原因是其最近的描述以及病例报告在文献中占主导地位。一般来说,保守的措施,如物理治疗和拉伸训练,首先推荐给病人。在QSS的初始治疗中,体力活动的改变是有用的;然而,一些患者可能会发现这很难做到,并且可能会不愿意代表患者。另一个保守的治疗方法,物理治疗,可以包括四边孔区横向摩擦按摩和主动释放软组织按摩技术。除了治疗性按摩,积极的扩大肩关节活动范围和肩胛稳定运动,后肩袖的拦伸,以及使用非甾体抗炎药,都显示出成功地治疗QSS。另一个在文献中获得成功的保守措施是使用超声引导的神经周围类固醇注射。注射局部麻醉剂或类固醇后疼痛和其他症状缓解(刺痛、寒冷感)可作为QSS的诊断标志,但也可与物理疗法一起用于症状治疗。
当患者至少6个月对保守治疗无效时,应考虑手术减压。减压术在逆转QSS继发的桡侧感觉神经病变方面已被证明是成功的。由于其他情况可与QSS混淆,包括努力血栓形成(也称为Paget-Schroetter综合征)和动脉性胸廓出口综合征,在规划减压术之前,影像学和相关的随访测试是必不可少的。尽管缺乏特异性,但动脉造影显示PHCA受压,并伴有典型QSS症状,应高度怀疑QSS,并可提示手术减压。在外科减压术中,腋神经被解剖出来,充分游离以确保其功能。在手术过程中,当病人的手臂处于外旋和外展状态时,可以触碰腋神经和PHCA,以验证腋神经可以自由滑动和动脉中持续的有力搏动。检查神经血管周围的纤维带也很有用,这可能表明结构受压。术后,患者可以放置在一个手臂吊带舒适与立即物理治疗,以避免发展粘连。物理治疗应该是术后恢复的中心环节。手术成功后,大多数运动员患者可以恢复运动。
文献中还报道了其他几种治疗方法,包括血栓形成时的溶栓、远端血栓形成时的血栓清除术、动脉瘤切除术。在极少数情况下,四边孔综合征可以自发痊愈。
结论
QSS是一种罕见的疾病。由于QSS的许多症状是非特异性的,可能会延误诊断和随后的治疗。一项研究表明,从症状开始到手术减压的平均时间间隔为14.5个月。医生对QSS作为鉴别诊断的认识,尤其是在运动员等高危人群中,对于及时准确的诊断也至关重要。仔细分析影像学研究对于排除鉴别诊断、了解病因、制定QSS的最佳治疗策略是必要的。
中山骨科 止于至善
大道至简 天人合一