铲屎官有想过吗?你家猫咪可能会吹泡泡。肥皂水?不是的,猫大人从来不走寻常路,吹泡泡相当走心,主要是走肾。

什么是多囊肾
Poly:多个、百个 cystic:有包囊的 Kidney:肾 Disease:病
1 是遗传病!
猫多囊肾(Poly-cystic Kidney Disease),简称PKD,是一种缓慢发展的遗传病。
2 历史悠久!人猫共患!
猫咪的多囊肾病被发现已有数十年,是一种“历史悠久”的遗传病,不只是猫,人也会得。

3 不易察觉!
猫咪出生时这些囊肿就已存在,刚开始非常微小(≤1mm),并不表现临床症状,随着年龄的增长,囊肿慢慢增大直到压迫到周围健康的肾脏组织,影响到肾脏功能,最终出现肾衰竭的症状。
哪些猫咪易患多囊肾?
全世界范围内,大约有6%的猫咪可能会被多囊肾所影响,并不罕见。
1 携带有PKD基因的猫咪必然发病

根2001年到2009年的研究表明,大约36-49%的波斯猫携带有多囊肾基因。很明显,长毛飘飘,鼻子扁扁的波斯猫是被多囊肾荼毒最为严重的猫,其次是异国短毛猫(英短、美短等)。其他猫咪也不可掉以轻心,因为任何猫都可以得多囊肾,普通家猫患病率大约是5%。
2 中年发福也发病
一般来说,想要提前判明猫咪的多囊肾病是比较困难的,携带PKD基因的猫咪到中年(5-7岁)之后,肾脏功能才受到可察觉的影响,表现出功能不足。
当然也有例外情况,少部分猫咪年纪轻轻(3岁左右)就受到严重影响,很快出现肾脏机能下降乃至衰竭。

总体来说,有多囊肾基因的猫咪10岁前肯定会出现肾脏机能不足,早可至3岁。出现肾脏机能不足的平均年龄是7岁。
多囊肾的遗传
大多数猫咪多囊肾病是一种常染色体显性遗传病,父母双方任何一方有基因,就有可能遗传给后代。有这些特点:
1 携带有PKD基因突变的猫必然患病,或早或晚,或重或轻,没有例外。2 有PKD基因突变的猫与健康猫交配,生下的宝宝一定有部分会携带PKD基因。3 有多囊肾的猫,同窝兄弟姐妹不一定会得。

父母双方都有PKD基因,生下的猫咪必然患病?不是的,这种情况下,猫咪在子宫中就会出现严重的病变、流产、死产,不可能健康长大(也有例外,猫咪发育至三个月)。
患有多囊肾的猫咪多是被父母其中一方所影响,携带一条PKD基因和一条正常基因,但是正常基因必然被逐渐影响而变异。
患多囊肾病的症状
1 多囊肾病在早期不存在任何症状
多囊肾早期“水泡”不多,个头也不大,还不会明显影响肾脏功能。
2 口渴、体重下降逐渐表现
随着病情发展,猫咪可能会出现容易口渴、不愿走动、食欲下降的情况。检查可能发现猫咪轻微贫血,肾脏衰竭,出现蛋白尿等。

因为多囊肾会影响肾脏排尿,尿液容易蓄积,肾脏感染的几率也会比较高,所以,不少多囊肾的猫咪也更容易患下泌尿道疾病。
3 多囊肾不仅影响肾脏
有PKD基因的猫咪,除了肾脏被影响,有时候肝脏、胰腺和子宫也会出现类似多囊肾中那样的“水泡”。目前证据还不够充份,有限数据表明至多68%,至少6%的多囊肾的猫咪,肝脏中会出现这类囊肿状的的“水泡”。
担心:如何确定我的猫没有多囊肾?
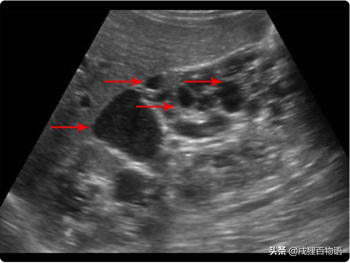
1 B超
诊断多囊肾,用B超检查最快捷。
任何事物都不会完美,B超的局限在于没法查出过小“水泡”。在出生之时,肾脏中的水泡可能只有1mm或者更小,在大小超过2mm之前,一般是难以察觉的。用B超检测多囊肾最好等猫咪9-10个月之后,这时候的准确度大致能达到91-98%。

2 基因检测
不需抽血,口腔采样就可以判断猫咪是否携带多囊肾基因。基因检测也有局限,PKD基因多出现在波斯猫相关的品种上,其他猫患上多囊肾跟这种变异没有关系,比如缅因猫。
患多囊肾的猫咪怎么吃饭?
患有多囊肾的猫咪在检查出肾脏功能不足之前,正常饮食。建议食用高水份、高蛋白质的饮食以满足猫咪的正常生理需求。

低蛋白、低磷的食物?当多囊肾的发展无法遏止,血液指标确实出现明确的指向,这时候喂食低蛋白、低磷的食物(肾脏处方粮)更好,提前使用不能延缓多囊肾的发展,对健康反而不利。
多囊肾的治疗
1 病情发展缓慢
肾脏功能保有35-40%以上,身体的正常运转不至于出大问题。多囊肾要影响猫咪健康,往往需要多年的发展才行。
除非猫咪确诊时已经步入老年或指标出现明显异常,多囊肾在短时间内是不会威胁到猫咪性命的。
2 无法延缓病情
没有可靠的办法延缓这些水泡的发展速度,虽然多囊肾的发展速度因猫而异,有的猫咪快而有的猫咪慢。

3 见招拆招才重要
确诊多囊肾的猫咪应该每年复查至少两到三次,间隔4-6个月。复查项目包括生化肾脏指标、B超、尿检、血常规、血压,以便随时发现异样。
肾脏指标没有出现明显波动就正常喂养,不需要处方粮,也不需要神奇药品,更不需要肾脏补品。指标出现不正常,兽医师会根据猫咪的肾脏情况,进行治疗,切忌铲屎官乱用药,反而对猫咪有害无利。
4 预防?不存在的
猫咪多囊肾是遗传性的肾脏疾病,无法预防。既然猫咪身体也没有出现异样,那就不要瞎折腾。
