近日一网络问诊病人,是女性,44岁,检查发现右下叶占位,伴多发微小结节,大部分为实性微小结节。会不会是肺癌伴转移?临床如何决策?我们先来看看她的病史和当地的CT报告:


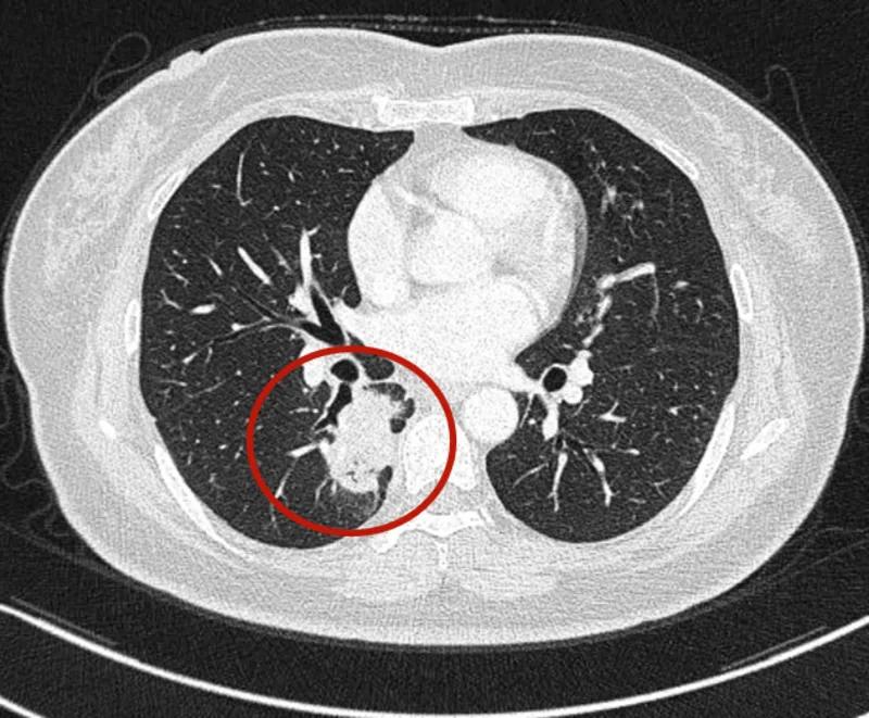
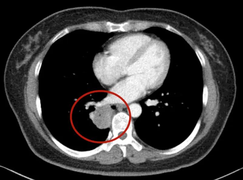
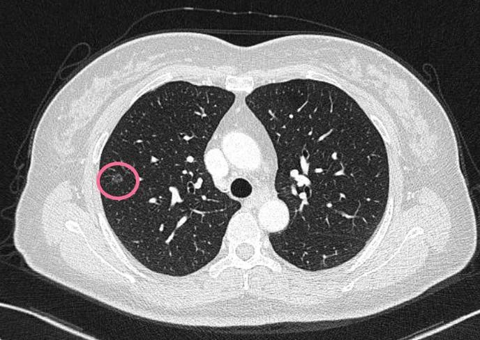
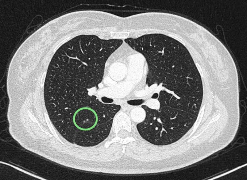
可见是右下肺达近5厘米的肿块,并上叶磨玻璃结节以及斜裂、水平裂多发微小结节。影像是如何的呢?





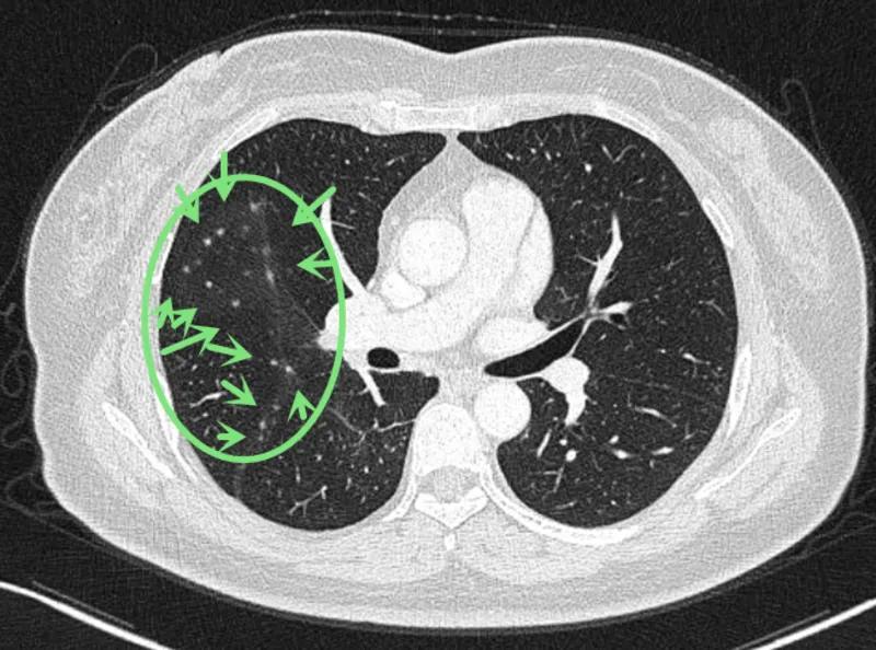
到底该如何考虑?下一步该如何决策?我的意见是:右下叶红色圈起来的考虑是肺癌,浸润性腺癌可能性大;右上叶磨玻璃结节粉色圈起来的考虑原位癌或不典型增生可能性大;绿色圈起来的基本上是叶裂处,从密度来看更像良性,但因为有右下叶的病灶在,也可能是种植转移,但术前较难确定。PET-CT可以考虑,但也有假阴性或假阳性。个人意见是如果没有远处其他确切转移,建议胸腔镜下探查,如果微小实性结节非转移性,则右下肺癌仍能手术的。如果真若是转移,也可取行病理依据,并送基因检测与免疫组化等检查,而单孔胸腔镜下探查下创伤小,恢复快,当然若不是转移,顺便镜下行右下叶切除并清扫淋巴结就行。