有很多妈妈发现宝宝乳牙很容易产生蛀牙,而且蛀牙的孩子越来越多,但是却经常纠结乳牙蛀牙了到底要不要去治疗?询问过金台口腔田忠奎医生后,我就把我自己得到的答案先告诉各位宝妈们:乳牙蛀牙是需要尽早治疗的。您或许猜到答案了,但还是会有一大堆疑问,为什么需要治疗呢?不是会换牙吗?等换牙就好了么?
2005年第三次全国口腔健康流行病学调查结果显示:5岁儿童乳牙患龋率为66%,意味着平均每人就有3.5颗龋齿,而未治疗率却高达97.1%,这说明,认为乳牙需要治疗的宝妈是少数的,不过这已经是10年前的调查结果了,近几年随着人们生活水平的提高和口腔保健的意识增强,有越来越多的宝妈们会主动寻求医生治疗宝宝的蛀牙。
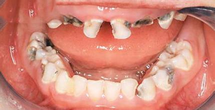
给宝妈们看几例临床的病例,大家就很容易理解乳牙蛀牙的危害啦!(医学图片有可能引起不适,展示较少,其它请自行查找)
危害一:影响吃饭

宝妈们想想,牙齿最重要的功能是什么?是吃东西。前牙是啃东西,撕咬食物,后牙是咀嚼食物,将食物磨碎,如果宝宝的前牙完全蛀没,平齐牙龈,几乎不能啃甘蔗、萝卜、苹果甚至玉米,后牙(大牙)大面积缺损,会导致咀嚼效能下降,宝宝们就吃饭会很慢,还会说吃饭时牙疼,不爱吃硬的东西,结果就是消化不良,吸收不好,这种情况,您想想需不需要治疗?
危害二:影响美观

最近有好多宝妈带宝宝来看牙,原因不是因为宝宝牙疼了,而是因为烂牙照相时不爱笑,或是因为幼儿园的同学起绰号“小黑牙”“小豁牙”等,牙齿的健康美观直接影响宝宝笑容的自信,很多妈妈反馈宝宝看完牙齿后,见人就露出小白牙,笑容也自信大方许多。
危害三:影响恒牙

乳牙蛀牙进展到根尖后,根尖炎症会影响后继恒牙牙胚的发育,导致牙齿表面(牙釉质)发育不全,比如新生恒牙表面出现的斑点,轻微的损害后期是可以修复的,严重的损害就可能要把恒牙拔除了。乳牙龋坏甚至不得已拔除后,其所占据空间会慢慢丧失,导致后继恒牙萌出时因间隙不足发生位置异常,就会导致牙齿不整齐!

而且,如果乳牙是一口未经治疗的蛀牙,口腔内到处都是细菌,大家想一下,刚刚从暗无天日的骨头里冒头出来想感受口腔新环境的恒牙,发现自己掉入了细菌的大染缸,哎,它会很失望的,也会很容易发生龋坏的。
危害四:全身影响
多颗牙齿蛀牙会影响儿童的营养摄入,正处于生长发育旺盛时期的儿童,颌面部和生长发育受到了影响,抵抗力就会变弱。而且,在宝宝学习语言的黄金时期,乳牙的龋坏和早失也会影响发音,咬字不清也会给孩子心理健康造成一定影响。

的确,乳牙最终将会被替换掉,但是被蛀的乳牙变的劣迹斑斑,危害也是不容小觑,宝妈们行动起来,赶紧到附近的医院检查一下宝宝的牙齿情况吧!
来源:网络内容和金台口腔田忠奎医生指导