来源:医影
众所周知,手腕部损伤在日常的放射诊断工作中是经常可以见到的。手腕部撕脱损伤是一组异质性的损伤,但它们通常都有各自的影像学特点,因为这些损伤均与骨肌解剖及受伤机制密切相关。
常见的损伤包括Bennett骨折,反Bennett骨折,尺侧副韧带损伤,桡侧及尺侧茎突撕脱骨折,三角骨撕脱骨折,Mallet指,Jersey指,中央腱束撕脱骨折以及急慢性掌板撕脱损伤。
少见的损伤包括舟月韧带撕脱损伤,桡侧腕长伸肌腱损伤,桡侧腕短伸肌腱损伤,大多角骨掌骨韧带损伤,桡侧副韧带损伤,指深屈肌腱损伤。
理解解剖及预期的影像学表现可以帮助放射科医生准确识别这些损伤。
Bennett骨折:第一掌骨底部的关节内骨折,小撕脱骨片铆钉于大多角骨。

大多角骨掌骨韧带损伤:

前斜韧带的掌-尺连接处高信号纤维影,符合韧带部分撕裂征象。同时可见第一掌骨底部的骨髓水肿。连接于第一掌骨底部的背侧中央韧带完整。
反Bennett骨折:

第五掌骨桡侧基底部的略示移位的关节内骨折。由于尺侧腕伸肌腱的反作用牵拉力,第五掌骨向近端及尺侧移位。
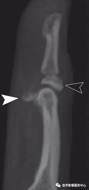
尺侧副韧带的撕脱损伤:

(左)第一指骨近端尺侧的尺侧副韧带撕脱骨折。
(中)白色箭头显示尺侧副韧带的全层紊乱,尺侧副韧带的正常解剖关系是位于内收肌腱膜(黑色箭头)的深部。
(右)Stener病变,伴尺侧副韧带损伤,撕脱的骨片被牵拉回缩(白色箭头)。
桡侧副韧带撕脱损伤:

(左)撕脱骨片略示移位(白色箭头),累及桡侧副韧带在第一近端指骨桡侧基底部的连接处。(右)桡侧副韧带从其指骨连接处的部分层厚撕裂(白色箭头),不伴有撕脱骨折。注意尺侧副韧带损伤也存在(白色长箭头)
桡骨茎突撕脱骨折:

(左)桡骨茎突撕脱骨折略示移位。(右)桡骨茎突撕脱骨折(白色箭头),同时合并桡侧副韧带的损伤(黑色长剪头)及舟月韧带的损伤(黑色箭头)。
Mallet指:

(左)远端指骨背侧基底部末端伸肌腱插入处的小的撕脱骨片,伴轻微的远端指间关节屈曲。(右)软组织Mallet指,伸指总肌的终末肌腱的撕脱损伤,不合并撕脱骨折。
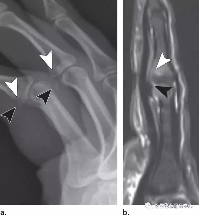
中央腱束撕脱:

伸指总肌的中央腱束的骨性撕脱,略示移位。合并轻度近端指间关节的过屈及远端指间关节的过伸,符合纽孔状畸形。
Jersey指:

远端指骨的掌侧基底部向近端移位的骨片(白色箭头),主要的远端指骨骨片向背侧移位。远端指骨干骺端的横断性骨折。这些表现符合指深屈肌腱的骨性撕脱骨折。
指深屈肌腱的撕脱损伤:

食指及中指创伤性截肢,食指指深屈肌腱(白色箭头)连接于远节指骨的掌侧基底面(黑色箭头)。
急性掌板撕脱损伤:

(左)食指及中指的中节指骨的掌侧基底面,移位的骨片影(黑色箭头)。
(右)中节指骨掌侧基底部的T2WI高信号影(白色箭头),掌板在其指骨连接处的紊乱(黑色箭头)。
慢性掌板撕脱损伤:

掌板(白色箭头)慢性瘢痕形成,增厚及肥厚,在其近端及远端连接处可见不定形样信号增高影(黑色箭头),以上表现符合慢性撕脱损伤。
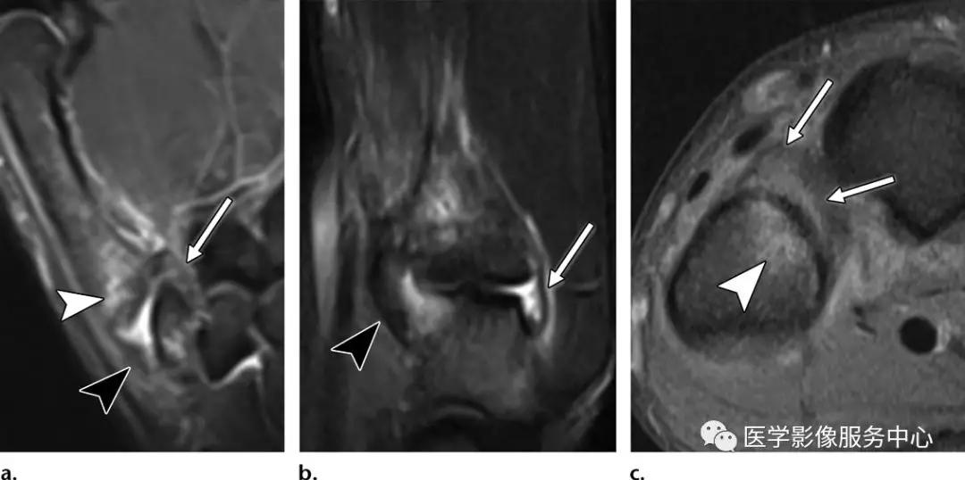
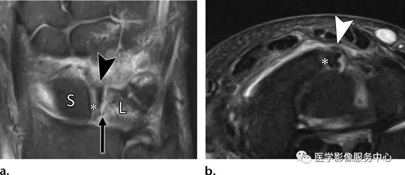
舟月韧带的撕脱损伤:

(左)月骨的撕脱骨片(黑色箭头),伴高信号的骨折线(黑色长剪头)。舟月韧带完整,连接于月骨的骨碎片(*)及舟骨(S)。月骨(L)的桡侧半部分可见反应性骨髓水肿。(右)月骨的骨碎片(白色箭头)连接于完整的舟月韧带(*)。
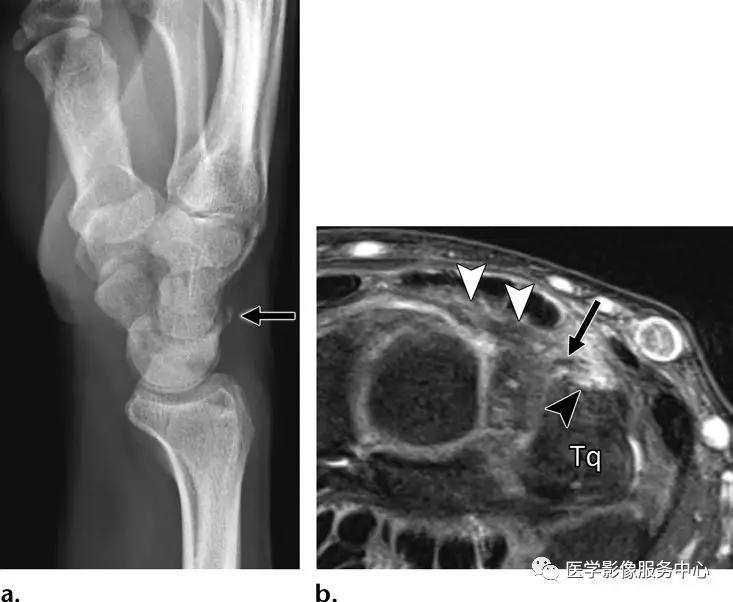
背侧三角骨骨折:

(左)在三角骨水平的背侧腕关节软组织内可见小撕脱骨片影。(右)腕骨间背侧韧带(白色箭头)从其在背侧三角骨(Tq)连接处(黑色箭头)的撕脱骨折(黑色长剪头)。
桡侧腕长伸肌撕脱:

(左)背侧撕脱骨片影。(中,右)撕脱骨片影(白色箭头)连接于桡侧腕长伸肌腱(右图中的黑色箭头),导致骨碎片向近端移位。
桡侧腕短伸肌的撕脱骨折:

(左图,中图)第三掌骨基底部的略示移位骨片影(黑色箭头)。(右图)桡侧腕短伸肌腱的远端(白色箭头)插入第三掌骨基底部的骨片。
羟磷灰石沉积病:

拇指掌指关节的尺侧副韧带复合体旁边的羟磷灰石沉积病。(左)卵圆形不定形钙化(白色箭头)沿拇指掌指关节的尺侧面排列。(右)软组织信号明显增高,伴尺侧副韧带的增厚(白色长剪头),拇指近端指骨尺侧基底部的骨髓水肿(黑色箭头)。
茎状骨:

边界清晰的骨样小体位于食指掌骨基底部的背侧面(白色箭头)。
Os hamuli proprium(钩骨固有骨?在网络上无法查到相应中文):

边界清晰的骨质小体(白色箭头),邻近钩骨的正常钩部(黑色轮廓线)。
活检证实的骨膜外骨软骨瘤样增生:

中节指骨的环形骨质界面(白色箭头)及软组织肿胀。
活检证实的炮塔型外生骨疣:

在远节指骨的终末骨干掌侧面可见不规则的骨性表面(白色箭头所指)。
结论:手腕部的撕脱性损伤会类似多种病变,因此需要放射科医生熟悉这些损伤,包括相关解剖及影像学表现。同时也需要注意创伤后骨质病变,反应性骨质病变,或迟发性肌腱并发症。虽然X线平片通常足以明确手腕部的损伤,但CT及MRI也可能是必要的。
手腕部最常见的撕脱损伤部位总结示例:

A:Bennett骨折(拇指基底部);
B:反Bennett骨折(第五掌骨基底部);
C:尺侧副韧带撕脱(拇指的掌指关节处);
D:桡骨茎突撕脱(在桡骨茎突);
E:尺骨茎突撕脱(在尺骨茎突);
F:三角骨撕脱(在三角骨的背侧尺侧面);
G:Mallet指(在远端指间关节水平,远节指骨的背侧基底部);
H:中央腱束撕脱(在近端指间关节水平,中节指骨的背侧基底部);
I:Jersey指(在远端指间关节水平,远节指骨的掌侧基底部);
J:掌板损伤(在近端指间关节的中节指骨掌侧基底部)。
【版权声明】本平台属公益学习平台,转载系出于传递更多学习信息之目的,且已标明作者和出处,如不希望被传播的老师可与我们联系删除