小狗发育不良什么症状 (小狗站立不稳的症状)

软骨病站立不起来怎么回事,小狗狗髋关节有问题不会站立

导读:犬骨软骨病所带来的影响较大,会出现无法稳定站立的情况,情况严重建议饲主及时就医。内容将为饲主们详细分析犬骨软骨病的“前因后果”。

谈起犬骨软骨病,可能部分新手饲主都会感到陌生。

因为这类疾病通常会发生在马和猪身上,其次再轮到到犬类。但近年来,这发病的概率越来越大,有一次无意中听到朋友的狗狗患有此病,不得已他只好将狗狗疼痛的前脚裹起来,让狗狗用三只脚行走。

这里可以通俗易懂的解释一下,在哺乳动物的关节部分,研究人员通过实验发现骨头外会包裹着一层软骨,这个软骨能够保护我们的关节,在受到外力冲击的时候,可以起到一个缓冲的作用,避免受到伤害。

但当这个软骨发育不正常,患犬被检查出患有分离性骨软骨病,软骨随之而然的容易断裂。一般X光片能够观察出小碎片。

若跑到关节之间的缝隙,便容易引发起一连串不良反应,如刺激关节,导致小狗走起路来会感觉刺痛,还会表现出典型的跛行动作,运动受限等。

根据由柏林自由大学家畜综合诊所的相关报道显示:研究在1993年至1998年曾接受过检查和治疗这类疾病的小狗,一共有60只。60只小狗根据部位共有有82个关节,发现犬骨软骨病频率高发的部位是肩部,其余分别是肘关节紊乱、膝关节。

刚开始小狗出现症状时,会有些新手饲主自己查资料,认为是单纯的髋关节发育不良导致,但却没有想过可能是患有犬骨软骨病。因此看完这篇科普后饲主可以对犬骨软骨病有一个全新的认识。

事不宜迟,马上开始。

三狗提示:全文较长,重点部分已加粗,适合爱犬一族收藏转发。本文由三狗科普原创,禁止非授权转载、洗稿、抄袭,违者必究!

软骨病站立不起来怎么回事,小狗狗髋关节有问题不会站立

大型犬种是高发群

犬骨软骨病到底是什么?

犬骨软骨病简称OCD,英文全称为osteochondrosis dissecans。它可以说是小狗软骨发育过程中最容易发生缺陷的关节疾病之一。

关节软骨无法在特定位置转变为骨骼,直接令到这区域的软骨增厚,增厚的软骨与周围正常的软骨分离形成了皮瓣,这一系列过程便称之为OCD。异常软骨的皮瓣有可能会发生从关节表面脱离,形成“关节鼠”。

软骨病站立不起来怎么回事,小狗狗髋关节有问题不会站立

图为“关节鼠”

那么,什么是“关节鼠”?

这一术语较好理解,意指关节出现病变的时候,在关节软骨内部会有自行脱离的“小碎片”。如前文提到,关节之间有“小碎片”的存在,容易发生疼痛等一系列影响。

问题:犬骨软骨病形成的病因又是什么呢?

三狗查阅大量的资料,发现研究人员自始至终仍未确切的找到犬骨软骨病所形成的原因。因此,可将此病归纳为以下几种最容易诱发的原因,饲主们应按小狗自身情况酌情避免,包括这几种:

  1. 喂养小狗的方法需要科学对待。饲养方法不正确,间接性使小狗快速增长。此外,不正确额外添加营养素,也容易引发疾病。
  2. 小狗内分泌机能紊乱、营养不良。
  3. 身体障碍或受到外伤影响。
  4. 遗传因素也有可能会有关系。因遗传学起了重要作用,部分种类的小狗患病概率会高于一倍。

软骨病站立不起来怎么回事,小狗狗髋关节有问题不会站立

11个月小狗肩关节骨软骨病

哪种类型的狗最常患骨软骨病?

新手在选择小狗种类准备饲养时,可注意这一类小狗特别容易受到“青睐”。由于它是一种软骨内骨化障碍的非炎性疾病,大型犬是最主要的影响对象。

如日常生活中所看到的拉布拉多犬、罗威纳犬、大丹犬、德国牧羊犬等。

重点提醒:一般年龄不到一岁(5月-8月)发生,雄性比雌性更常发生。病症会慢慢的表现出来,或者突然有一天观察到不妥。甚至有些会到中年时期开始犯病。

那么,临床特征我们应如何分辨?

因为犬骨软骨病是一种以发育障碍为主的疾病,不像消化道疾病有明显的特征。小狗关节受到骨软骨病的影响,病发初期小狗表现四肢运动范围缩小,跛足是典型的症状之一。

饲主可清楚地发现小狗站立时身躯摇晃无力,步伐不稳定,整个重心容易倾斜一旁。

后期小狗在休息时,患病的关节呈现僵直状态,若是肩部发生问题,肩部肌肉肉眼可看出明显的萎缩。

如没有得到及时的治疗,情况严重的小狗会出现不愿意运动,卧地起不来。

另外,小狗摄入过量的钙和过量的营养会增加患病风险率。研究明确表明,限制饮食吸收,能够显著降低这类骨科疾病的发生率。

注:病变通常的位置是:肱骨头(肩关节附近)、肱骨(肘关节)、距骨滑车位置等。当它涉及肘部时,医学上使用术语是“肘部发育不良”。

而“肘部发育不良”则是另外一个科普知识点了。

软骨病站立不起来怎么回事,小狗狗髋关节有问题不会站立

距骨滑车位置

对于犬骨软骨病,兽医会怎么诊断?

一旦发现小狗跛行,或者跛行持续超过2周,饲主应立刻前往就医。

兽医会为小狗开始做一系列常规检查,例如体格检查、咨询过往病史,是否服用药物等。

为了达到准确的评估结果,兽医会请放射科医生为小狗每个患病的部位进行X光片,可清楚了解到疾病的严重程度,而X光片是诊断这类疾病的最常用方式。

如果小狗出现应激反应,兽医会考虑到使用短效麻醉剂或镇静剂,方便诊断。

一般X光片能够满足诊断需求,但有一种更为精细的仪器叫关节镜检查,可在关节内放置一个小型摄像头,借助它可以直接观察小狗关节腔内的滑膜、软骨、半月板与韧带。

软骨病站立不起来怎么回事,小狗狗髋关节有问题不会站立

膝关节骨软骨病

全面又实用的解决方案:如何治疗骨软骨病?

治疗方式取决于病变的部位以及严重程度。

关于保守治疗:

倘若小狗患病部分的裂缝只是存在极小的“关节鼠”,那饲主可遵循兽医的建议让狗狗严格休息,不宜大量运动,情况或许能够有机会好转。这个时候,兽医会与饲主沟通好定制一套属于小狗的运动方案。

多数情况下,兽医建议小狗应在笼子里休息,即使是运动走路,也会明确要求不可长距离行走。同时,兽医会向小狗开单服用药物,用以减轻炎症,保护关节为主。

特别患有肘部发育不良的小狗,超重的情况下节食,控制运动量,都可以很好改善问题。

软骨病站立不起来怎么回事,小狗狗髋关节有问题不会站立

软骨被去除

关于手术治疗:

如若保守治疗没有效果,或者小狗自身存在极大的问题,关节内存在多块软骨碎片,便需要进行手术康复。

而手术应考虑部位不同而采取不同的方式。如:

  • 肘关节骨软骨病

肘关节问题较为复杂,但常规上以三种类型手术为主,分别是关节镜手术、改善肘关节形状手术 、打捞手术

  • 关节镜手术(推荐)

通常兽医会采取这类手术方式较多,因为主要常规操作是通过关节镜手术来完成,可以将肘关节内部全部碎片一一清除。

  • 改善肘关节形状手术(推荐)

因为肘关节问题多数由发育不良引起,兽医会通过改善肘关节的形状,使其与周围的关节形状更加符合贴近。

  • 全肘关节置换术、肘关节融合术

一般情况比较严重,炎症使关节持续性疼痛,会考虑这两种手术。但使用的机会比较少,故需要与兽医商量使用哪种方式。

总结:无论兽医是使用哪一种手术方式,我们作为饲主都需要知道,主要目的在于消灭任何有缺陷的病变区域。

肩部骨软骨病

严格规定来说,兽医是不建议保守治疗肩部位置的骨软骨病。只要在软骨之间一直存在软骨碎片的话,那么其疼痛和跛行便受到影响,长期存在问题。

只有手术方式才能够直达病源,去除软骨碎片,手术方式依然选择关节镜手术为主。

软骨病站立不起来怎么回事,小狗狗髋关节有问题不会站立

兽医口中所说的“关节碎片”

犬骨软骨病的预后如何?

与上一小节同样道理,预后因受影响的关节而异。

如肘关节骨软骨病

部分患犬保守治疗得以改善,但在这前期需要改变许多习惯。通过手术治疗后,预后得到改善。

如肩部骨软骨病

大部分患犬手术后期间恢复良好。跛行可逐渐消失,但不建议小狗长时间运动,否则依然会出现僵硬四肢的情况。

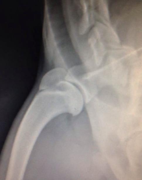
软骨病站立不起来怎么回事,小狗狗髋关节有问题不会站立

2岁德国牧羊犬肘突不闭合

我们身为饲主,在家应该如何预防?

  1. 如果小狗出现疼痛的话,可适当给予止痛药。严重时不可拖延,必须手术根治。虽说治疗过后的小狗依然会出现类似症状,但缓解当下仍是必须要做的第一步。
  2. 多休息少运动。
  3. 在添加食物过程中,有饲主会有肉类过量喂食的情况。我也曾经听过一些饲主想让小狗更为强壮,只给肉食为主。一般情况下,肉类缺乏维生素A、D、E。在这种营养平衡失调的情况下,小狗骨骼容易出现问题。而且有数据显示,治疗的成功与年龄和手术前跛足的持续时间有关,由此可见,营养均衡是多么的重要。

软骨病站立不起来怎么回事,小狗狗髋关节有问题不会站立

以上便是这次犬骨软骨病的重点科普知识。这里特别提醒一点的是,手术3周后,兽医会建议小狗运动量增加,并配合疗程进行游泳等康复训练。当情况好转后,再进行其他受控活动,如平日所看到的短距离慢跑。

体重过胖会对关节有一定的损伤,所以让小狗保持健康的体态非常重要。