#重庆头条# #把健康带回家# #生命摆渡人# #重庆戴纪刚#
在我们身边,有着许许多多的逆行者,他们默默无声地为国奉献,他们是安定生活的坚实脊梁,他们在危险之中逆向而行,他们从来不需要“报答”才能行使自己的职责,而是需要他们的时候,他们总是成为我们普通人的“力挽狂澜”。
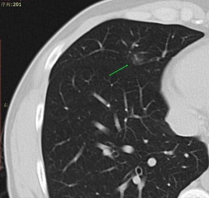
说这些,还是因为今天咨询的这位节友,身份“特别”。一位从*警武**退伍归来,再入警察序列的勇者,他在今年3月体检时,发现一个8mm的混磨(但在2020年年底体检过程中,并未发现该结节)。在当地咨询过不少专家,却没有一位没有给出确定的答复,都只是含糊给出了“密切关注!必要时手术!”的诊断。
这样的回答让这位结友无言以对,搞得茶不思饭不想,甚至开始影响工作,心里充斥着焦虑和害怕。想来找我面诊,却又因工作排不开,加上当地拍的CT清晰度不够,担心面诊达不到效果,所以网络求助,想我给个初步建议进行处理。
但是这位结友,没想到吧,当地专家看不清的片子,在我这里也很清楚哦。我肯定的回复就是炎症,抗炎处理后进行随访即可(指南要求所有结节首次发现后,先抗炎处理后随访;而我不同,我不会死板地套用指南,会根据精准诊断结果给出针对性意见)。
三个月后的复查,证明了我判断的准确性。祝贺你,顺利脱恐,剩余小结节肯定良性的,不需要随访了。期待未来的你工作更加顺利“一鸣从此始,相望青云端”。
以下转自结友的网络咨询:
2023-06-09
自从2023年3月13日体检,5mm平扫CT检出8mm混合磨玻璃结节至今,三个月让人唏嘘。尤记得刚拿到体检报告,在本地三甲医院胸外科挂了专家号问诊,某主任医师看到纸质报告,连CT影像都不看,拿着打印的胶片支支吾吾不愿诊断,居然告诉我:“你得结节长在右肺中叶,位置好,因为右肺中叶体积小,叶切后不会损失太多肺功能。”
彼时,我对肺结节还一窍不通,医生也未告知我的结节是什么性质、什么类型、什么形态,我询问时医生很不耐烦,告知我“他们科室的护士23岁切出两个CA”,吓得我魂不守舍,匆匆让我离开了。
我开始上网查询大量资料,开始相信某度、某乎、某音上营销号的所谓“科普文”,看完后更加焦虑,直径8mm已经有手术指征了,把自己搞得茶不思饭不想,甚至开始影响工作,心里充斥着焦虑和害怕。
从这时起,我陆续问诊了本地三甲医院享受国务院津贴的影像科老主任、三甲肿瘤医院肺结节名医门诊、三甲医院胸外科专家门诊,让我惊讶的是,在明明有2020年12月29日CT(老片)的情况下,所有专家竟然没有一个人敢于下诊断,千篇一律回答:“要密切关注!必要时手术!”至此,我线下问诊结束,顿时觉得生活无望。我原本计划今年结婚,因为结节,婚事也延期了,怕背负上CA的名字,耽误我的女朋友,突然觉得,幸福的后面紧跟着不幸。
这是刚查出的结节。


4月初,偶然在某乎上看到有人转载主任发在贴吧的科普文章,进而在抖音添加了“惜缘汪综”大哥,他拉我进了“斩妖除磨12群”。我开始在贴吧大量学习主任的科普文章,非常解渴。在群里,我看到大家相互鼓励、顶帖、开导,我开始明白磨玻璃就算是不好的,也是惰性的,侵袭性很低,慢慢开始放下焦虑。
在这里,还要特别感谢夭夭姐,教我发帖,告诉我不用害怕,一切有主任在,用她自己身边的实例开导,甚至苦口婆心一遍一遍告诉我,生活本应该是多姿多彩的,不应该为了一个结节把生活搞得一地鸡毛。夭夭姐的声音很轻,但是很笃定、很坚定,给了我莫大的支持和力量。
在夭夭姐的教导下,我开始尝试发帖,很幸运连续发了三个帖子都得到了主任的回复(说声抱歉,因为着急帖子不太规范)。主任叫我拿2020年12月29日的CT影像对照,看看是不是漏诊了。我立刻重新发帖,贴上2020年的老片对照,主任回复我:“是炎症,口服拜复乐9天,夏枯草口服液1个月,会消。”我决定放下心里的焦虑,信任主任,安心消炎等待复查。

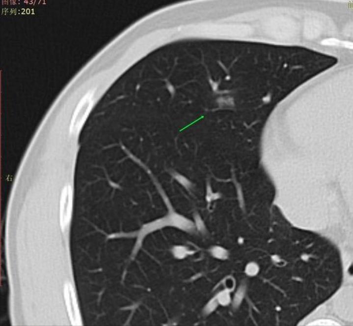
6月6日,我在本地三甲肿瘤医院复查薄层CT,报告显示:8mm混磨消了!只有一个上次就有的3mm的钙化灶,和一个新发现的2mm的结节,考虑增殖结节。


我不知道是不是可以祝贺自己了。现在还有一个右肺下叶后基底段结节考虑增殖结节,麻烦主任再帮我看看。
我目前已经从焦虑、惊恐的状态里脱身,重新投入生活和工作了。
主任,谢谢您拉我那一把,也谢谢您下诊断时的果断和坚定!谢谢夭夭姐的开导和帮助,谢谢群里大家无私的顶帖。

我的回复
祝贺,脱恐,剩余小结节肯定良性的,不需要随访了。