#磨玻璃结节#
#我在头条搞创作第二期#
#健康科普大赛#
问消息于蓍龟,疑团空结;祈福祉于奥灶,奢想徒劳。
我记得在以前,很多人在遇到疾病的时候,我们需要理清思路,仔细考虑,细细斟酌,选在传统治疗或者是“西医”治疗。然而医学发展到今天,很多时候中西医相关界限已经不显,更多的时候是以现代医学,这是一种病症的判断、严谨的验证、多维度的复核,加上经验的综合判断,有着完整的逻辑和判断,而不用局限于所谓的中药、西药(屠呦呦的成功,就是以现代医学思维和方法处理传统医学难题)。所以,现在的人们在遇到问题时,可以多听听医生的意见,多问问我的意见,是真的可以少绕弯路、事半功倍。
啰嗦了半天,开始今天的分享。今天这位朋友,来自我国版图的脊梁省份——内蒙古。在2021年发现肺结节后开始进行随访观察,在此期间尝试过多地问诊和多种传统治疗,但是未果(医生啊,真的要用心,不能一句话就打发患者的求助。哪怕再累,在难,也要为患者考虑,不欺心、不推诿,我们是守护他们的一道屏障,不能让这道屏障反而成了伤害或是困住他们的铁丝网)。
这位朋友网络上找我求助,我看完片子,立刻给了高危结节的判断,并且建议这位朋友立刻进行手术,不要耽误。没想到这位朋友,不远千里,从内蒙跑到了重庆,希望我给她结束病症带来的危险。
如此的信任,我必须全力以赴,在和团队讨论过几版手术方案后,我们选择了难度比较高,但是可以最大程度保护肺功能的进出点和切除线路,并获得了预期的效果。
术后半个月,这位朋友的反馈更让我心安,她回到了原本的生活,没有太多的干扰,没有太多的烦忧。我想,这就是人生最好的样子,经历风雨,出现了美丽的彩虹。彩虹虽昙花一现,但给生活带来的,是美丽的心情和前进的动力;带走的,只是几缕“简单”的水汽,没有留下一丝影响生活的痕迹。
以下转自患者咨询:
2022-10-11
非常感谢戴主任和冷月等几位吧主的无私奉献,你们牺牲自己的休息时间,为广大患者排忧解难,你们对待病人,如同亲人一样,真的好感动!上次,在贴吧里咨询过戴主任关于我的肺结节情况,戴主任说,我右肺下叶那个结节高危。心里好害怕,距离上次CT间隔三个月,我又做了肺部CT,这次还要劳烦戴主任以及吧主们,帮我看看我的肺结节,严重吗?需要马上手术吗?
我昨天把我五次肺部CT电子版以及报告,发给了冷月吧主,昨天晚上,冷月吧主就为我截好图,发给我,非常令我感动,谢谢您冷月吧主,您辛苦了,您要多休息,不要太辛苦了。
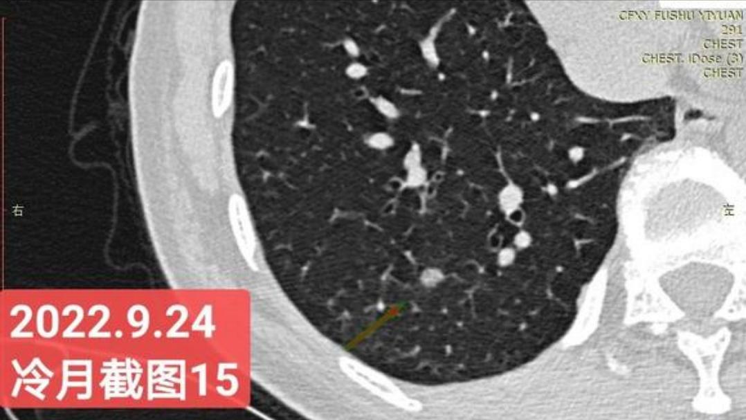
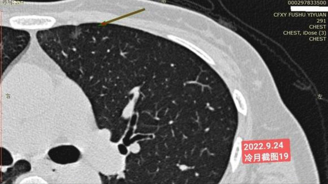
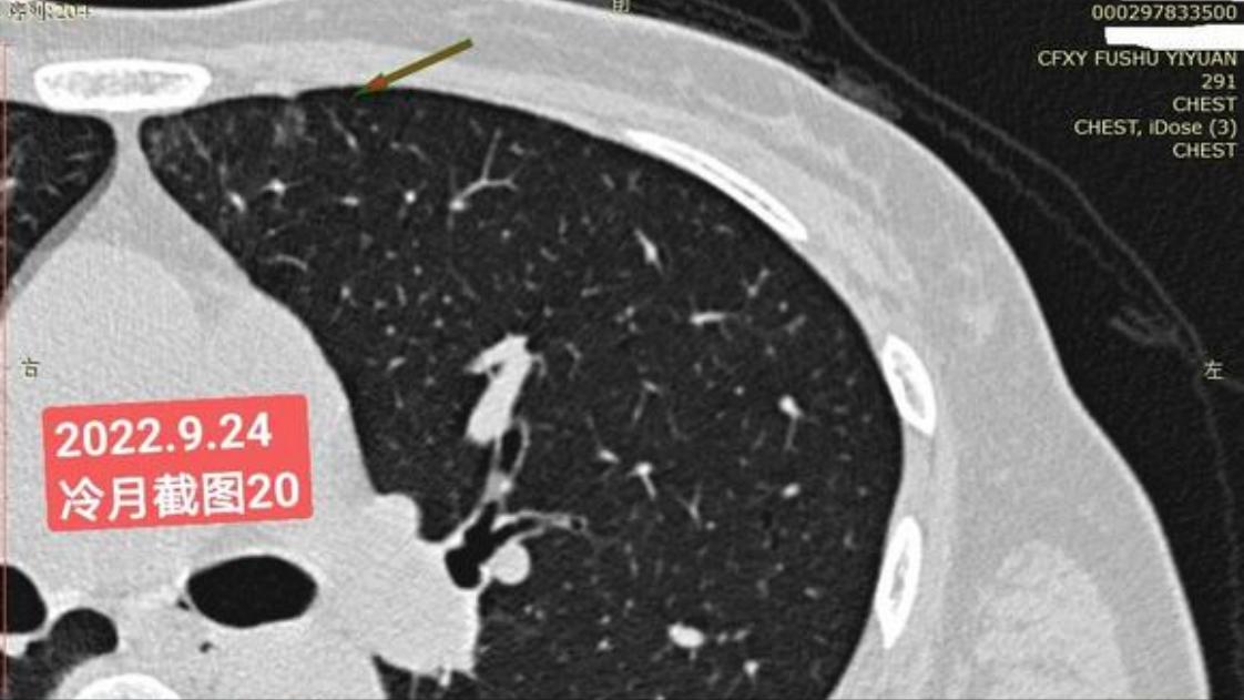
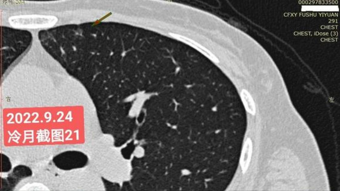
我是21年7月做肺部CT,报告给报出0.5厘米肺结节。(但大夫说,20年就已经有那个肺结节了,因为小,报告没给报)。自发现肺结节后,吃了四个月中药,结节没有缩小,反而增大了。今年8月1日开始到现在,又吃了近两个月的蒙药了。 结节还是没有缩小,反而在增大。21年7月到现在,复查过3次肺部CT了。结节一直在增大。最近一次复查时间是2022年9月24日。
上次找戴主任贴吧咨询过,主任说我右肺下叶那个结节高危,距离上次CT,到现在三个月复查肺部CT。所以9月24日又复查做了肺部CT。
问题:
1.请主任看看我高危结节有哪几个?分别在什么位置?大小都是多少?分别是实性、纯磨还是混合磨玻璃?都分别处于哪个阶段(原位、微浸润还是浸润)?密度分别是多少?
2.哪个或者哪几个结节,需要马上手术?还有安全随访时间吗?还有多久的安全随访时间?如果再过四个月手术,会不会更严重(扩散转移)?
3.如果手术,楔切、段切还是叶切?术后多久可以正常上班?
4.有哮喘、过敏性鼻炎、副鼻窦炎、鼻息肉,手术可以全麻吗?最近一年肩胛骨有时疼,会不会肺结节转移了?
5.中危结节有几个?位置、大小、密度、实性还是纯磨、混磨?原位还是微浸润?
6.哪些结节可以一网打尽?(现在我只相信戴主任,自从认识您,就为您崇高的医德和精湛的医术所深深感动)
备注:我的危险因素:有家族史、得过肺结核、多年二手烟、熬夜、工作压力大。
再次辛苦主任帮我解答。我只相信您!



























我的回复:
右下肺结节高危,肺窗已经到亚实性阶段CTR>0.5,纵膈窗可见实性,目前已经不属于异质混磨,而且PSN亚实性结节。
2022-10-15
我是多发肺结节患者,自21年发现以来,一直在按医生要求随访观察,期间,找了好多专家远程看诊,但说法不一,有的让马上手术,有的让随访观察,也去过一线城市的好多大医院,找过那里的专家面诊过,但是,专家只用一两句话就把你打发出来了,要么让做增强CT,要么让手术,没有一点点的解释和安慰,那种冷冰冰的态度,让人心里特别难过。
由于经常刷抖音,偶然在抖音里看见一个特别乐观而又坚强的女主播,她就是主任给做的手术,从她那里,我才了解到主任。我每天必不可少的一件事,就是进人主任的贴吧,去读贴顶帖,感觉贴吧就是无数患者温暖的家,也从主任的贴吧里,感受到患者朋友们对主任的拥护和爱戴,感受到主任崇高的人格魅力和精湛独特的医术。
所以,我决定,哪怕路途再遥远,哪怕时间再紧迫(即使不想耽误上班),我只相信主任,除结非主任莫属。再加上有冷月、桃之夭夭、可可几位热心的吧主和好多吧友们帮忙,我已经买了明天的机票,飞往新桥,去见我最崇敬最信任的戴主任。在此,恳请戴主任给加个号,让我早点见到您,让我(一个和主任一样热爱工作的患者)尽早能上班。谢谢主任!
我的回复:
来吧,有我在,不担心。
2022-10-30
在冷月、可可、夭夭以及吧友们这些好心人的帮助下,我终于如愿以偿,得到了可亲可敬的戴主任的面诊。戴主任那么帅气,那么和蔼,不知道为什么,见到主任的那一刻,激动和喜悦无法控制,很多想好的话,都忘了说了。主任经过仔细阅片,建议我手术。我毫不犹豫地答应了,因为我最敬佩最信任的医生就是戴主任。
全国各地来找主任看病的患者好多好多,在酒店住下的这几天,多么希望护士站快点打电话通知院前检查,这一天终于来了,我顺利地完成各项检查。更令我高兴的是,当天晚上,护士姐姐就通知明天入院了。很快我就住进去了,这里的病房宽敞明亮,护士姐姐也好漂亮好温柔。住院的当天晚上,护士姐姐就告诉我,准备明天手术。不知道为什么,每次无论手术大小,都感到紧张害怕。但这次一点儿都不紧张,相反,更期待再早一点爬上手术台。
为我手术的小组是,戴主任、邓医生、付医生,他们三个不但帅气 ,而且特别敬业,那天晚上,付医生耐心细致地为我们讲解注意事项,别的大夫都已经下班,诺大的办公室只留下了付医生一个人的身影。
第二天的手术非常顺利,做完手术,主任第一时间发信息给家人道平安,这么好的主任,真的让我好感动。
第一次来重庆,便感受到了这里的人们,是那么热情,那么真诚,更感受到了以主任为首的团队工作多么细腻精湛,对待病人多么和蔼可亲。这次彻底让我忘掉了医生的高高在上,冷漠无情,原来新桥医院的大夫是这么的可亲可敬。
主任查房时,面带笑容,轻轻地拍了拍我的肩膀,告诉我结节位置虽然挺深,但是在安全的前提下,只切除了最小的肺组织,保留了最大的肺功能。这一刻,我感受到了从未有过的幸福!远近闻名的大主任,对待病人这么的贴心,这么平易近人,真的是太难得了。
主任用他的独门绝技,为我成功切除了结节,只有主任能做到,切除的肺最少,为病人保留最大的肺功能。真的是想说的话千千万,但不知从何说起。
只好在这里说出来,祝愿主任保重身体,多休息,不要为了患者去阅片,去把脉而熬夜到深夜,一定要劳逸结合,不要让您的千千万万的患者太心疼哦!
主任,今天我的大病理出来了,见下图,是乳头型的浸润性腺癌 未见气道散播和胸膜侵犯。在此再一次谢谢您,我一直在当地三甲医院和上海医院远程看诊,已随访一年三个月,如果不是您,我还在随访,谢谢您救了我。实在忍不住,还是想问问,我的这个大病理治愈率高吗?需要后续治疗吗?
大病理

术前主任贴吧的回复

我的回复:
谢谢您的信任和分享,结节小,7mm,没有高危因素,98%的根治率,不需要任何后续治疗,手术及时,没事了。
患者再提问:
太感谢您了,敬爱的戴主任!看到您的回复,我不禁哭了。是您,挽救了我,让我如释重负,重温往日的快乐。我是多么地幸福,在最关键的时刻遇见您,得到您的精准施治和关爱。您是我心目中最伟大最可爱的人!如果没有您,后果真的无法想象。再次感谢我最敬爱的主任!
我的回复:
放心,几乎不可能复发的。
2022-11-15
主任,我手术后半个月就上班了,感觉挺好的,是您让我损失最少的肺功能,治好了我的肺结节,如果没有您,我不知道要切掉多少肺,遭多大的罪呢!真的好感激您,每天下班,第一件事就是看您的作品,这成了我生活中不可缺少的事情。从您的作品中,我发现了许多美好的东西。疫情期间,您一定要注意防护,多多休息哦!
遇见您,是我最大的幸福,您不是亲人,却胜过亲人,见到您的那一刻,有一种说不出的亲切感。您的医术,您的人品,您的才华,您的帅气……都深深地感染着我。从您的身上,我才真正领会到了热爱和崇敬的含义。我觉得用所有美好的词语来赞美您都不够,您是医学界以及全人类的楷模。这次重庆之行,是您为我驱走所有的恐惧担心,为我带来无尽的温暖和快乐。是您,让我有机会感受到重庆人的纯朴善良热情豪迈,让我深深地眷恋这片热土。这次特殊的旅行,给我一生留下无比美好的回忆。谢谢您,我最最敬爱的主任!(我是一边吃饭一边写给主任的话)
好多感激的话想对您说,却又不知怎样说才足以表达出我内心的情感,千言万语都不能表达出我内心的感受,只好把这份温暖这份感动,深深地藏在心里,一直到永远!每天看看您的作品,看看贴吧,听着您的歌声,看到您工作的样子,仿佛您就在身边,曾多少次,感动的眼泪夺眶而出。这种撕心裂肺的感动、不舍、心疼,以前或许只在自己家人中出现,您是第一个虽没有血缘关系,却让我如此敬佩和热爱的人。祝敬爱的主任每天开心快乐平安幸福哦!
我的回复:
谢谢来自草原的感谢信,我一直向往草原,喜欢唱草原的歌!