一位52岁的大哥,也是我的老病人,人很不错,就是一身的病,有高血压、糖尿病、冠心病,前天又来找我说高烧一星期了,断断续续,偶尔咳嗽两声,也没痰,开始以为是“甲流”,一星期左右就好了,但是反复发烧,最高烧到39.2℃,喝完退烧药最多降到38℃左右,过几个小时又烧到39℃,期间还有过一次咯血,大哥也害怕了,所以来找我问问,开始我也认为只是普通的感冒引起支气管炎,输几天液就好了,但血常规和胸片的结果提示不是普通的感冒,下面是血常规和胸片:


看到这个结果我想大部分医生都会按肺炎来治疗,我也一样,于是就输抗生素,因为大哥青霉素过敏,所以输的左氧氟沙星,但是两天后复查的结果让我大吃一惊。
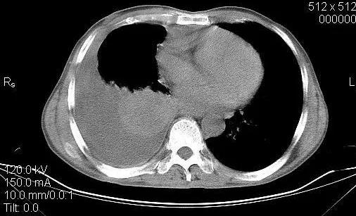
因为输液两天了体温仍高,而且听诊肺部里的胸腔积液更多,这不是个好现象,我开始以为是左氧氟沙星效果不行,所以今天换成了莫西沙星,同时做了个肺部ct, 结果见下图:

而且大哥的白蛋白27g,尿蛋白1+,结合此前有过咯血,最近吃饭不香,人也瘦了许多,这个结果我没敢告诉大哥,悄悄的告诉了他妻子,好在大嫂心态还好,虽然眼睛已经湿了,但还是坚强的听我说,我给的建议是去上级医院呼吸内科进一步确诊并治疗,不能在我这耽搁,毕竟医疗水平有限,大嫂人很好,说今天输完这个液体温一直没高,还和我商量去哪家医院找哪个专家,想听听我的意见,我给她指了两位在我们当地无论医术还是人品都很好的呼吸科大夫,建议明天去他们那里看看,大嫂同意了我的意见。

所以,在这里我想告诉大家的是,得病如山倒,看似很普通的一个发热其实也不简单,平时一定要注意身体健康,不能不重视小病,有可能小病也会变成大病。