在临床工作中,我们常说:持续存在的纯磨玻璃结节多半是早期肺癌,实性伴毛刺征或胸膜凹陷、血管征等恶性特征的也是癌;如果影像表现不典型,那么“随访复查对比”是重要手段,若随访增大的结节也要高度警惕。但是不是随访中明显增大了的就基本是恶性的呢?显然如此下结论同样是会不对的!
金华的某A,男性,原来因肾病综合征,膜性肾病在内科就诊及治疗,检查发现右肺中叶结节,是实性的,回顾其去年9月份的片子,当时也有,但形态明显像纤维增生,基本可肯定为良性,但今年复查发现明显增大增圆,到底会是什么性质?内科后续还要大剂量皮肾上腺皮质激素冲击及免疫抑制等治疗,此结节有没有影响,临床如何决策?到底宜手术还是宜观察?是不是要做PET-CT检查?抑或肺穿刺活检?让我们来看看此病例:

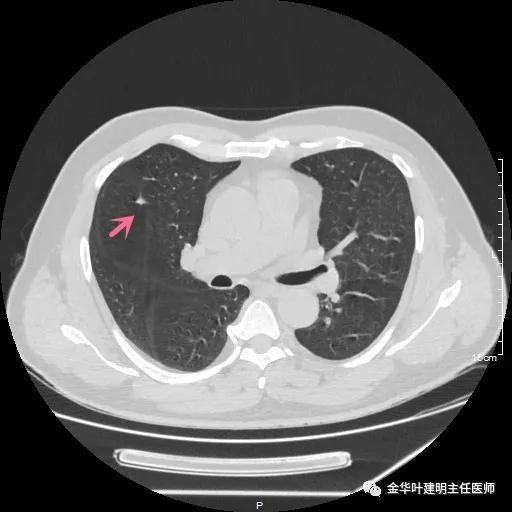
患者年纪虽然不大,但合并存在肾病综合征、高血压、高血压性心脏病、高脂血症、动脉硬化伴斑块、甲状腺结节、前列腺增生及脂肪肝、糖耐量异常等一系列问题。关键是后续需要大剂量激素治疗。下面是其2019年9月份的平扫CT图像,层厚1.2毫米:




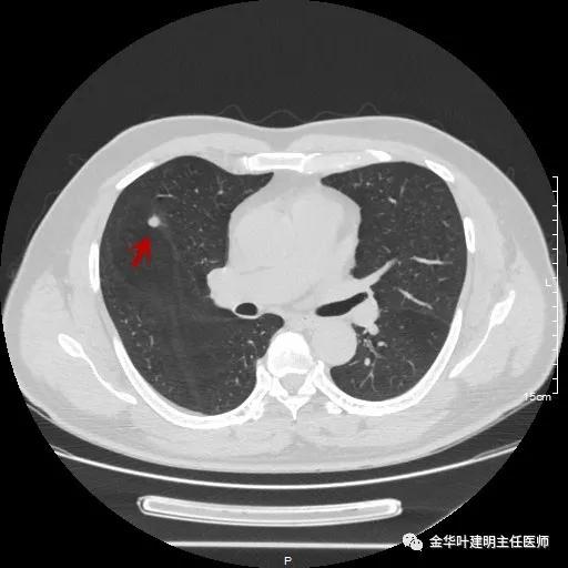
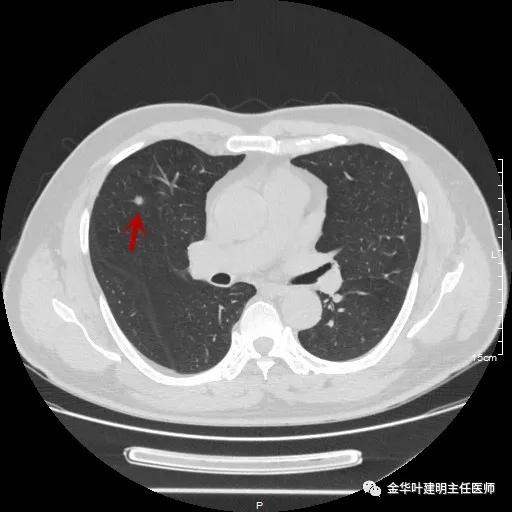
可见是右肺中叶的微小实性结节,不规则形,密度甚高,无明显磨玻璃成份,也非圆形或类圆形,明显是一纤维增生性质的结节,肯定是可以随访观察的。当然去年也没报需警惕,或叫我们胸外科会诊。但再来看今年的图像,也是薄层扫描,层厚同样是1.2毫米:




同样的地方,说明是同一病灶,但较1年前明显增大变圆,现在是圆形结节了,大小约在6-7毫米许,同样无明显磨玻璃成份,也无其他恶性征象,看着像肺内淋巴结或胶原增生结节或肉芽肿性结节。
其实分开看两年的片子都考虑是良性的,但问题是病灶进展增大了!该如何是好?另外内科接下来需行大剂量激素治疗,若为结核、若为真菌、若为肿瘤,大剂量激素会不会有影响?免疫抑制情况下,感染是不是要加重或扩散?真万一是肿瘤,是不是更可导致不良结果?此外,穿刺病灶太小太深,PET-CT有点小贵,而且这么小的结节,到底价值几何也难说。
我们诊疗组的讨论意见还是觉得做个单孔胸腔镜下楔形切除为妥,既可去除病灶,又能取得病理,真确定是真菌或结核,也可予以相应治疗,若万一是肿瘤那更是该明确并治疗。
我将其病例资料以微信文章的形式发在“金华叶建明主任医师”公众号上进行了投票,其结果如下:

其中42%的人认为宜手术,58%的人主张观察随访。但我们的意见还是:因为病灶在中叶非常边缘之处,实性有增大,虽然考虑良性,但若是真菌或结核或万一肿瘤都对后续治疗肾病时大剂量使用激素可能不利,而手术相当于就是做个活检,右胸壁单孔约2.5-3厘米,术后第二天即出院,切割缝合器国产的仅用了2把,加上操作杆不到5000块钱,还是切了化验下比较稳妥。与患者充分沟通后他也选择手术。术后病理结果如下:

上图示术后病理结果:慢性炎伴胶原纤维结节状增生。患者恢复非常好,术后第2天顺利出院。
我觉得外科临床医生最重要的一点是:手术与否的利弊权衡,其实对于良性病灶的手术也不都是过度治疗,而是对每个个体来说,其获益与风险的比值如何。个人总结对于初发现时考虑良性的肺结节,随访若有增大进展,是否干预手术,做成如下表格,供大家参考:
