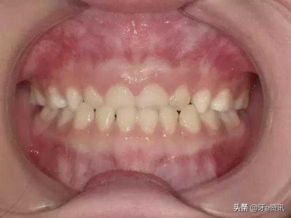
儿童乳牙期“地包天”,乳下前牙咬合于乳上前牙唇侧,临床上称之为乳前牙反颌。儿童乳前牙反颌是一种常见错颌畸形,乳前牙反颌使儿童的下颌长期处于前伸状态,如果不及时治疗会导致上颌骨发育受限,下颌骨过度前伸,影响上下颌骨的发育,形成骨性畸形,对颜面美观、咀嚼功能、发音、颞下颌关节发育和心理健康有较严重影响,并且可随患者的生长,症状逐渐加重。在患儿能配合的情况下,应尽早矫治反颌,以阻断畸形加重,促进颌骨的正常发育。儿童3~4 岁为乳前牙反颌矫治的最佳时间。

图片源于网络
病因
乳前牙多数牙反颌的病因多样,与父母遗传(家族史)、儿童先天性疾病(唇腭裂等导致上颌发育不足)、儿童全身性疾病(佝偻病、内分泌紊乱、钙代谢异常或脑腺垂体功能亢进等导致下颌前突)、儿童口腔不良习惯(前伸下颌、吮唇等不良习惯)、不恰当的喂养方式(平卧喂养)、乳尖牙磨耗不足等有关。如果未能及时治疗,可能会进一步导致下颌前伸、下颌生长过度。若乳前牙反颌限制了上颌的正常发育,则出现面部形态的异常,下颌前突,面中分发育不足,严重者面中分凹陷,形成“半月脸”式的典型反颌面型(凹面型)。

图片源自网络
乳前牙反颌的预防
(1)纠正不良的哺乳习惯。提倡母乳,使用正确的喂养方法,喂养姿势为约45°的斜卧位或半卧位。
(2)治疗扁桃体肥大,保持口鼻腔呼吸道通畅,预防下颌前伸,预防乳前牙反颌的形成。
(3)尽早破除口腔不良习惯,阻断乳前牙反颌的形成。
乳前牙反颌的矫治
乳牙反颌是一种不能自行调整的错颌, 一旦确诊, 应尽早矫治, 儿童一旦进入替牙早期, 乳牙松动,将不利于矫治。患儿若能合作, 最佳矫治年龄为3~4 岁,疗程3~6个月。这个阶段乳牙根发育完全,且未开始吸收,而过早的矫治儿童不予合作。乳前牙反颌治疗目的是解除反颌,恢复下颌正常位置,刺激上颌发育。
矫治的原则为:
(1)消除病因,去除不良习惯
(2)矫正异常的牙齿倾斜度与牙槽骨的异常关系
(3)促进发育不足或位置后缩的上颌骨向前生长
(4)抑制发育过度的下颌骨。
乳牙反颌形成后,要早期矫治,根据乳前牙反覆盖反覆合的深度选择矫治方法:
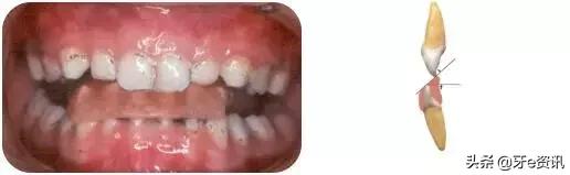
(1)调磨法:上下颌乳尖牙磨耗不足导致的合干扰是功能性乳前牙反颌的主要病因之一。其治疗方法为分次调磨乳尖牙牙尖,调磨部位为上颌两侧乳尖牙牙尖和近中切缘及下颌两侧乳尖牙牙尖和远中切缘。一般两周调磨一次,1-3个月可纠正前牙反颌。

图片源于网络
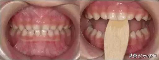
(2)咬撬法:具体操作方法是选择压舌板或牙刷柄,修整使其宽度较错位牙牙冠略宽,放于错位上切牙舌面与下切牙切缘之间,手握压舌板或牙刷柄,以颏部为支点,每日咬撬木板三次,每次大约2分钟(约20下),每两周复诊,1-3个月可解除乳前牙反颌。若对此法无法长期坚持或效果矫治效果欠佳者可换用上颌颌垫矫治器治疗。

图片源于网络
(3)上颌颌垫活动矫治器
上颌颌垫式矫治的作用机理是利用双曲舌簧将反颌的乳上前牙向唇侧推出,使其与下前牙建立正常的覆合覆盖关系,矫正乳前牙反颌。

图片源于网络
(4)下颌斜面导板矫治器
适用于牙列整齐,下前牙直立,反覆合深反覆盖小至几乎为零的患儿。利用下颌斜面导板的唇侧斜面与上切牙的接触关系,以导板的斜度在患儿咬合时持续的推上切牙长轴唇向移位、倾斜,同时使下切牙的长轴舌向倾斜,逐步建立正常的颌关系。

图片源于网络
5)头帽颏兜
头帽颏兜是治疗下颌前突的方法,可以先前期佩戴头帽颏兜,其目的在于减小反覆盖,待反覆盖减小再使用上颌颌垫式矫治器。

图片源于网络
(6) 功能调节器(Functional Regulator-Ⅲ,简称FR-Ⅲ)

图片源于网络
7)前方牵引

图片源于网络