网络问诊病例:
疾病描述:
女性,40岁,2019年体检发现双肺多发磨玻璃结节,随后三年每年复查CT,2021年10月和2022年1月CT报告肺癌?身体无明显不适,近两三年后背不固定点偶有轻微阵痛感。本地医院建议立即手术切除右肺中叶。
图片展示:

病灶出现,密度甚低

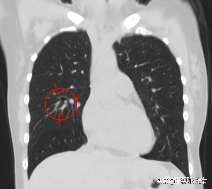
显示是磨玻璃影,边缘略显模糊,整体轮廓较清

中间出现空腔(黄色箭头),边缘局部似有较细的毛刺(紫色箭头),局部囊壁有密度偏高的点状区域(粉色箭头),而且囊壁厚薄不均

呈现明显囊腔型病灶,囊壁的内壁不平,锯齿状,表面也不光滑

此层囊壁较薄

囊壁与血管没有间隙

囊壁薄

上图又略明显起来

扩张的细支气管间有磨玻璃成分

支气管壁周围磨玻璃成分

冠状位的影像提示囊腔型病灶,与血管没有间隙,囊壁略不均

矢状位见囊腔型病灶密度低,水平裂似略受牵拉,与血管之间没有间隙
其他病灶的样子:

右下叶模糊小片状影,部分区域密度显高,考虑慢性炎可能性大

右下叶另一病灶,边缘一圈密度较高,中间密度较低,像慢性炎些,但可能合并存在肺泡上皮增生以致不典型增生的可能性。

右下叶淡磨玻璃密度小结节,轮廓显模糊,以局部慢性炎伴肺泡上皮增生可能性大。
影像印象:
右中叶囊腔型病灶是较为典型的囊腔性肺癌表现,有表面不平、内壁不光、细策以及壁厚薄不均,呈磨玻璃密度的有形成分,与血管间隙不清。但从风险角度来讲,继续随访也无大的危险,况且年纪又轻。当地医院建议右中叶切除也可考虑,但若让我接诊决定,我认为仍可每半年随访复查,有进展再来考虑手术,因为临床上有碰到许多磨玻璃病灶稳定达数年或十余年的,推迟手术的创伤也是微创,而且是以人为本的理念,当然前提是能按嘱复查关注。其余结节考虑风险较低,可随访后决定。
我的回复:
右中叶病灶是要考虑囊腔型肺癌的,手术切除可以考虑。目前仍是贴壁生长为主,预后应该良好。其余结节考虑风险较低,可随访。
(此处已添加医疗卡片,请到*今条头日**客户端查看)