
关键点:
1. 腰椎术后神经根水肿时有发生,严重影响病人术后早期锻炼、康复 ,降低了病人手术满意度;
2. 水肿期一般为术后2~6 d,神经水肿期过后大多都能得到完全缓解;
3. 磁共振弥散加权成像能可视化和定量评估有椎间孔狭窄的神经根卡压;
4. 术中减压动作轻柔、尽量减少神经根牵拉刺激,术后早期应用适当剂量激素(甲基强的松龙),可以减轻术后反应性的神经根和脊髓水肿、改善压迫脊髓的缺血再灌注损伤等作用。

文献一:腰椎椎间孔神经根卡压的弥散磁共振成像临床应用

磁共振弥散加权成像(DWI)可以提供组织的有效结构信息。最近有报道称DWI使用ADC等弥散值,可用于评估和诊断多发性硬化等病变和腕管综合征等周围神经压迫性疾病。
本研究可视化腰神经根并分析其形态,并使用1.5T磁共振成像在健康志愿者和患有椎间孔狭窄的患者中测量其表观扩散系数(ADC)。研究了14名腰椎间孔狭窄患者和14名健康志愿者。将DWI定位于腰椎第四和第五神经根的背根神经节和远端脊神经以及骶1神经根和远端脊神经,并量化表观扩散系数(ADC)的平均值。脊髓神经根的解剖参数也可以通过神经学检查来确定。在患者中,被卡压的神经根和远端脊神经的平均ADC值明显高于未卡压的神经根和远端脊神经。神经造影也显示同样异常。所有患者在选择性减压(n = 9)或神经阻滞(n = 5)后,腿部疼痛均得到改善。该研究首次展示了DWI和腰神经根的神经造影技术,观察神经凹陷、肿胀、横移等异常通过椎间孔的过程,以可视化和定量评估有椎间孔狭窄的神经根卡压,并认为DWI是诊断腰椎神经根卡压的潜在工具。

图注:基于冠状面和矢状面图像信息,神经根轴向平均ADC值。

图注:测量背根神经节角度(a)、背根神经节长度(b)、背根神经节宽度(c)示意图

图注:健康志愿者腰椎神经根冠状扩散加权图像(DWI)。L4、L5和S1表示腰4、5骶1神经根。C图是基于DWI计算得到的ADC图。

图注:背根神经节的角度(A),背根神经节的长度和宽度(B)的大小,以及健康志愿者近端/远端神经根平均ADC值 (C)。L4-L5背根神经节的角度40°,急剧下降到S1的25°。神经节的长度从L4增加到S1,宽度在L5处逐渐增加到最大值,在S1处逐渐减小。L4-S1神经根ADC值高于远端神经。

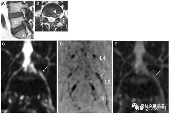
图注:66岁男性患者,L5-S1椎间孔狭窄,箭头显示L5椎间孔狭窄,神经周围脂肪信号消失。L4、L5和S1显示腰4、5和骶1神经根。D图是基于DWI冠状面计算的ADC图。箭头所示为被夹住的神经向上移位,并在孔内横移。

图注:47岁患者,L5/S1椎间盘突出。箭头显示L5椎间孔狭窄,神经周围脂肪信号消失。B图T2加权像,箭头显示孔内左侧椎间盘突出。E根据冠状面计算ADC图。箭头所示为神经根肿胀和凹陷。
文献二:急性机械性压迫引起背神经根水肿的定量分析

机械压迫导致神经内膜毛细血管微血管通透性增加,并导致神经内水肿。该研究建立神经根水肿的定量评估方法,观察急性压迫后随时间的变化。
方法:用60g力压迫实验犬腰椎神经根10分钟。并在受压后24小时,1周和3周时移除神经根。在去除神经根之前,静脉注射伊文思蓝白蛋白。使用荧光显微镜检查水肿的变化。伊文思蓝白蛋白发出明亮的红色荧光。使用计算机图像分析计算相对红色荧光面积,并将数据用于指示水肿程度。
结果:在受压节段,减压后水肿最明显,切除的神经24小时后水肿减轻。在神经切除后1周中水肿明显,但在3周时减轻。在离脊髓最近的节段,1周后出现水肿,3周后水肿明显。在最接近背根神经节的节段,未见水肿。
结论:神经根水肿的程度和面积随着急性压迫时间的延长而改变。减压24小时后水肿程度为减压后即刻水肿程度的三分之一。这些结果表明,机械压迫引起的水肿可在减压后恢复。
(PS:研究证实,激素类药物能减轻脊髓损伤后的继发性水肿,也能减轻神经根受压后的继发性水肿,围手术期应用甲基强的松龙可以减轻术后反应性的神经根和脊髓水肿,改善压迫脊髓的缺血再灌注损伤等作用。)
主要引文:
1. Eguchi Y , Ohtori S ,Yamashita M , et al. Clinical applications of diffusion magnetic resonanceimaging of the lumbar foraminal nerve root entrapment[J]. European SpineJournal, 2010, 19(11):1874-1882.
[PMID: 20632042;https://www.ncbi.nlm.nih.gov/pubmed/20632042 ]
2. Matsui T,Takahashi K,Moriya M et al. Quantitative analysis of edemain the dorsal nerve roots induced by acute mechanical compression.[J] .Spine,1998, 23: 1931-6.
[PMID: 9779524;https://www.ncbi.nlm.nih.gov/pubmed/9779524]
玖玖骨科平台致力于为骨科医生、患者提供优质产品、服务的中国骨科疾病专业管理平台。上玖玖骨科,骨科需求一站式解决。微信关注“玖玖骨科”公众号,请搜索jiujiugk