随着年龄的增长,很多人都感觉自己的牙齿和年轻时相比变长了,有些人认为这是自然而然的生理现象,有些人甚至认为这是长寿的征兆之一。那么随着年龄的增长,牙齿也渐渐变长,这是正常的吗?

☑真相是: 牙齿越来越长并不是正常的生理现象,而是生病了,这说明你的牙齿已经患了牙周病。并不是“有寿之征”,反而会影响人的正常寿命!
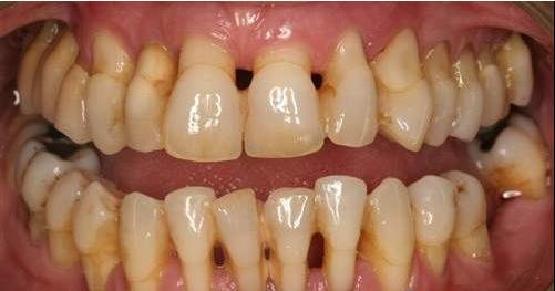
一般情况下,门牙的平均长度在10-12cm,但如果你得了牙周病,这个数字就会增长到15-17cm,于是很多人会觉得牙齿越长越长了,事实上并不是牙齿自己会长,而是牙周病导致的牙龈萎缩和牙根暴露。
❏ 什么是牙龈萎缩?

牙龈萎缩,它指的是牙根部位的牙龈退缩,将牙根曝露出来,所以你的牙齿会看起来越来越长。

如果把牙齿比作一颗树,包裹它的牙肉牙龈比作是土壤,那么牙龈萎缩,就是水土流失,牙齿失去牙龈等的支撑,就会变得摇摇欲坠。
需要注意的是, 牙龈萎缩是不可逆的,很难完全恢复,所以 重点应放在预防上。
❑ 牙龈萎缩要怎么预防保健?
❶ 定期的口腔保健

建议每半年到一年洁一次牙,这是预防牙龈炎症的有效措施。对于已有牙周病症状的人,应及时接受系统牙周治疗。
❷ 要掌握正确的刷牙方法
推荐使用软毛牙刷,牙膏以含氟牙膏为佳,其中含的摩擦剂应粗细合适。同时要学会正确的刷牙姿势,建议采用巴氏刷牙法。日常尽量使用牙线以清理牙刷难以到达的位置。

❸ 选择合适的修复体
在一些技术水平不保证、操作不规范,存在安全隐患的的小诊所处理口腔问题,这也是产生诸多后续口腔隐患的原因之一。在给牙齿做修复时,也不要贪图便宜选择不适合自己的修复体,损伤牙龈。

❹ 日常自我筛检,发现异常及早就医
如有觉得自己有个别牙发生异常移动,应及时到医院检查,以便对症处理。早发现、早诊断、早治疗,避免牙龈退缩加重。
❺ 治疗引发牙龈萎缩的全身性疾病
如内分泌紊乱可导致牙龈萎缩;贫血和缺乏维生素C,易导致牙龈出血;糖尿病人容易发生口腔炎症……在治愈原发疾病之后,牙龈萎缩也会随之好转。
牙龈健康小贴士:
1、叩齿:每天早晚空口咬合牙齿数十次。咬合时应铿然有声,这有增强牙周组织和增进血液循环的作用,常做可使牙齿坚固而不痛;
2、注意饮食营养,适量多吃青菜、水果、豆制品、牛奶、鱼、蛋类、粗粮、纤维多的食物,戒烟戒酒;
3、注意休息,多吃水果蔬菜。牙龈萎缩的人一般都是不太注重休息,疲劳过度,导致牙龈吸收维C困难。
只要认真做到以上这些,我们的牙齿就可以更加健康啦~