胰腺的外分泌功能主要是分泌消化酶和其他一些促进食物中营养物质、某些维生素和矿物质吸收的物质。胰腺疾病的临床症状多因消化酶在异位发挥作用而引起组织损伤,或因胰腺不能分泌足量消化酶以维持自身营养平衡。胰腺胰岛细胞内的主要消化酶都是以非活性形式存在,释放入肠道后,胰蛋白酶原经肠激酶催化,肽链断裂后生成胰蛋白酶,并由胰蛋白酶催化其他酶原,这些活化的消化酶可促进营养物质吸收。正常情况下,存在一种预防系统防止这些活化的消化酶作用于胰腺组织。为了防止自体消化,消化酶以无活性的前体排出体外是十分重要的。
该病在各个阶段所表现的典型症状和体检结果各不相同,从轻度患犬的食欲减退和伴有模糊性腹痛引起的精神沉郁,到较严重患犬的急性剧烈呕吐、出血性腹泻、休克、甚至死亡。根据组织病理学变化,轻度胰腺炎一般可分为水肿性或间质性,而更严重的炎症又可分为出血性、坏死性或化脓性。
PET病史简介
比熊犬,雌性,3.5岁,体重5.65kg,T:39.2,轻度脱水,可视粘膜粉红,精神萎靡,触诊腹腔痛觉明显,听诊肺部呼吸音粗粝,未绝育。
主诉:病犬3日前进食过日常饲喂量鸡肝,而后出现呕吐、腹泻、据食;2日前开始在家口服阿奇霉素,黄连素,未见好转,依旧呕吐、腹泻、血便;今晨去附近医院就诊,临床检查发现体温升高,使用退热栓,静脉输注清热退*药火**物;今晚发现呼吸急促,呕吐物中有血凝块,精神状态差,遂就诊。
临床检查

2.1 粪便常规检查
粪便常规检查未见寄生虫、红细胞,可见少量白细胞,菌群不活跃。
2.2 传染病筛查
CDV、CCV、CPV检查均呈阴性。
2.3 血液学检查
2.3.1 血常规检查结果
血常规检查结果可见血红蛋白轻度升高,血小板数量减少。
25日血常规检查结果


血液生化检查结果
生化检查结果显示丙氨酸氨基转移酶升高,肌酐在生理范围内。
25日血液生化检查结果

2.3.2 静脉血气检查结果
静脉血气检查结果显示TCO2、Ph、PCO2、HCO3-、BEecf均降低,BUN升高。
25日静脉血气检查结果


2.3.2 犬胰腺炎(cPL)检查结果
cPL:异常
影像学检查
2.4.1 胸腔DR
胸腔DR腹背位/右侧位检查,影像未见明显异常。

25日腹背位胸腔DR影像

25日右侧位胸腔DR影像
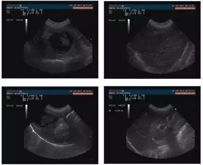
2.4.2 腹部超声
腹部超声检查可见膀胱中等充盈,子宫体直径为0.44cm,胆囊内中等强回声光团,内壁增厚,肾脏皮质回声升高,皮髓分界尚可,十二指肠呈波浪状,远端回声增强。

诊断
由于患犬呕吐腹泻,检测CDV、CPV、CCV,结果均呈阴性,粪便常规检测是否有潜血及寄生虫,未见寄生虫及潜血,因此基本排除寄生虫和传染病;呕吐腹泻合并腹腔痛觉明显检查cPL,结果异常;由于高热病史,临床检查呼吸音粗粝,对胸腹腔进行影像学检查和血常规检测,胸腔影像未见明显异常,腹部超声提示患犬有胆囊炎、胆囊粘液囊肿,胰腺炎,肾脏损伤的可能,血常规未见明显异常;基于cPL和超声检查的结果,对肝肾功能进行检查,结果显示存在肝损伤,尽管肌酐在正常范围之内,但根据临床经验,肌酐值高于该年龄段正常犬,很有可能在最近几天内肌酐值会明显增高,同时超声提示肾脏有损伤,因此,根据结果我们认为患犬存在肝肾损伤;由于患犬近一段时间呕吐腹泻,且未进行相应的离子检测,因此进行静脉血气检测,结果显示患犬脱水、有肾损伤倾向,机体代谢性酸中毒,呼吸性碱中毒,整体血液pH值偏低。综上所述,患犬为犬胰腺炎、肾损伤、肝损伤和胆囊粘液囊肿并发导致的呕吐、腹泻、腹痛、高热。