近日,自治区南溪山医院心脏大血管外科为一名下肢动脉硬化闭塞的自卫反击战老兵成功开展了微创介入手术, 仅在右大腿腹股沟处留下两个小针眼就解决了患者跛行的大难题。
老张是一位参加过自卫反击战的战斗英雄,是穿梭在战场的通讯兵,炮弹震伤了双耳,却不能阻止他冲在最前线,可是60岁不到,却已跛行,走几步就需要休息,辗转桂林市多家三甲医院,得到的却是失望的结果。经过多方介绍,他找到了广西壮族自治区南溪山医院心脏大血管外科团队。经检查,老张被诊断为“下肢动脉硬化闭塞症”,下肢动脉硬化闭塞症是由于下肢动脉粥样硬化斑块形成,引起下肢动脉狭窄、闭塞,进而导致的肢体慢性缺血,这种病最严重的情况会出现溃疡、坏疽,最终导致截肢。
动脉旁路术是以往治疗下肢动脉硬化闭塞症的首选,但作为开放式的外科手术,存在着创伤大、并发症多等不足,根据老张的情况,医生决定采用创伤最小的介入手术方式—“经皮动脉球囊扩张+支架植入术”。 介入微创治疗方法,手术风险低,恢复快。该方法经动脉穿刺,输送球囊导管至动脉狭窄或闭塞的部位,扩张、重建动脉管腔,结合血管腔内支架的使用,可获得较好的临床效果。

科普宣传

科普宣传
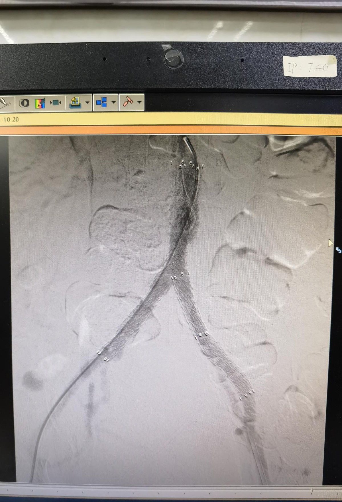
5月17日下午,心脏大血管外科副主任医师唐开维与科室副主任轩永波顺利为老张完成了手术。术中造影提示老张左髂总动脉闭塞,局部多发斑块,无血流通过。腹主动脉下段狭窄约80%,右髂总动脉中上段有斑块,造成局部狭窄50- 60%,左髂总动脉起始部后闭塞。老张病情复杂,两位专家先从左侧多次尝试使导丝导管突破闭塞段,最后成功突破进入腹主动脉真腔内。考虑老张局部动脉斑块多,为预防破裂,他们进行逐级扩张,定位良好后释放支架。为处理老张腹主动脉下段狭窄的问题,他们沿左侧、右侧导丝同时送入血管支架,使用Kissing技术成功释放两枚支架。手术很成功,再次造影时显示老张体内支架位置良好,其内血流通畅,支架无明显狭窄。
介入全过程在血管造影下“直视下”下进行,虽然手术复杂,但两位专家有条不紊,手术时间短并且出血量少,不放置引流管,无切口,仅在右大腿腹股沟处留下两个小针眼。老张表示,术后感觉良好,走路也不疼了,腿脚感觉暖和了。术后又能活动自如,他开心地向大家讲述着当初奔跑在最前线的峥嵘岁月,术后4天,老张顺利康复出院了。

术中造影显示狭窄和闭塞的血管

术后造影显示恢复血流的血管

手术中

术前、术后复查血管三维对比
据了解,随着社会整体生活水平的提高和人口的老龄化,下肢动脉硬化闭塞症的发病率逐年提高。流行病学调查显示,吸烟、糖尿病、高脂血症、高血压病、高同型半胱氨酸血症、高凝状态、血液粘着性增高及高龄等是下肢动脉硬化性闭塞症的高危因素。其中吸烟与糖尿病的危害最大,二者均可使周围动脉疾病的发生率增高3~4倍,合并存在危险性更高。其次是高脂血症,尤其是血低密度脂蛋白胆固醇升高,与全身多部位动脉粥样硬化的发生密切相关。早期可无明显症状,或仅有轻微不适,如畏寒、发凉等。之后逐渐出现间歇性跛行症状,这是下肢动脉硬化性闭塞症的特征性症状。表现为行走一段距离后,出现患肢疲劳、酸痛,被迫休息一段时间;休息后症状可完全缓解,再次行走后症状复现,每次行走的距离、休息的时间一般较为固定;另外,酸痛的部位与血管病变的位置存在相关性。如病变进一步发展,则会出现静息痛,即在患者休息时就存在肢端疼痛,平卧及夜间休息时容易发生。最终肢体可出现溃疡、坏疽,导致截肢。

老张与心脏大血管外科副主任轩永波致谢留影
(缪宜成)