22岁的小段如往常般准备起床上班,却发现全身乏力无法动弹,几经检查后发现原来是患上了一种罕见病。上海交通大学医学院附属仁济医院多学科(MDT)团队近日通过先药物治疗后手术“一锅端”的办法彻底治愈该罕见垂体瘤。手术后病人迅速恢复,术前异常的甲状腺功能指标在未用药的情况下完全恢复正常,所有症状消失,短短几天小段康复出院。

发病后,焦急万分的小段及家人慕名找到了仁济医院神经外科垂体肿瘤手术专家王宇主任,通过询问病史及相关检查,王宇主任马上意识到这可能是一例极其罕见的垂体促甲状腺激素腺瘤(TSH腺瘤),发病率仅百万分之一,仅占所有垂体腺瘤的0.5%~3.0%,所以临床上往往对该病认识深度不够,对小段这样的甲亢症状遗漏可能长垂体瘤的可能。同时一部分病人即使拍片偶然幸运发现了垂体促甲状腺激素腺瘤,对这种特殊的内分泌性肿瘤缺乏正规的诊断治疗意识而盲目去手术,极易出现甲状腺功能危象,在手术中或者手术后极易出现生命危险,而且手术往往不能彻底切除肿瘤,无法达到内分泌治愈的根治效果。

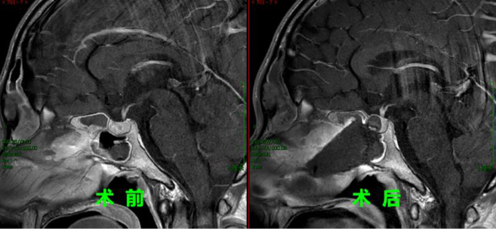
仁济医院垂体疾病多学科团队给予患者小段“一站式”诊疗服务。内分泌科使用药物控制甲亢,待甲状腺功能恢复正常后方可实施手术治疗。患者经济条件不佳,专家团队根据文献报道决定采用便宜的短效针剂,虽然工作量大,但仅仅用十分之一的费用很快就把患者的激素指标控制下来,才短短一个月,病人小段的甲状腺功能五项指标均已控制到正常范围。而且复查垂体磁共振后惊喜得发现,在用药前后,肿瘤已经明显较前缩小了,现在是“万事俱备只欠东风”了。

要彻底治愈该病首选手术切除肿瘤。王宇医生通过详细的术前准备工作,最后经鼻内镜微创手术,将罕见肿瘤“一锅端” 。 手术后病人迅速恢复,所有症状立即消失了,短短几天小段就出院康复。

据介绍:垂体疾病是一类非常复杂并涉及内分泌科、神经外科,神经影像学等多学科多专业的疾病。目前已经由过去仅仅靠一个医生或单个学科的治疗模式过渡到多学科协作诊治的模式。仁济医院神经外科与内分泌科多位专家任中国垂体瘤协作组专家委员,各个学科强强联合,在垂体瘤诊治方面积累丰富的经验,治疗过程中保持同步密切合作,优势互补,最大程度保障了病人安全彻底的治疗。
编辑:陈敏责任编辑:金晓英
