脑卒中大致分为:脑血管阻塞(脑梗塞)、脑血管破裂导致出血的“脑溢血”及蛛网膜出血。脑卒中患者中脑血管梗塞患者占比约为2/3。
什么是脑梗塞?
脑梗塞是由于脑血管狭窄、血管被血栓堵塞等原因造成脑氧供给、营养供给障碍,导致脑细胞受损的疾病。
脑梗塞临床分类大致为三种:
小血管闭塞:脑部小血管发生堵塞引起脑梗塞(小梗塞)。脑部的大血管会分叉行程众多的细血管,细血管发生狭窄、堵塞即小血管闭塞;
血栓性脑梗塞:脑部大血管发生堵塞引起的脑梗塞(中梗塞)。动脉硬化发生狭窄的血管内形成血栓,导致血管阻塞引起的脑梗塞。引发动脉硬化病因及发展的主因为:高血压、高血脂症、糖尿病等“生活习惯病”;
心源性脑栓塞:脑部大血管发生堵塞引起脑梗塞(大梗塞)。在心脏形成的血栓随血液循环进入脑部引起脑大血管堵塞,成因多数为心动过速引起。
脑梗塞的一般症状
单边的手脚麻痹、脚行动不便、手无法用力、手掌无法抓取、讲话困难、无法理解别人的话语、视力衰退等发生上述症状任何一项,即可怀疑可能是脑梗塞发病,应及时送医就诊,绝对不要等待观察延误治疗。
脑梗塞有前兆吗?
约30%左右的脑梗塞患者发病前出现一时性脑缺血症状,脑缺血症状与脑梗塞具有相同症状,但是持续约几分钟~30分钟后症状消失,因此很多人就不当一回事。一旦发生脑缺血后,脑梗塞的发病危险度上升。预防脑梗塞,在发生脑缺血后应及时就医检查防患于未然。
脑梗塞的诊断方法
脑的正常运转需要充足的血液流量,尽早治疗脑梗塞恢复血供是十分重要的。因此发病后应尽早就诊、检查并接受治疗。

脑梗塞的治疗一般采用头部CT、磁共振检查、胸部X光片检查、血液检查、心电图等内科神经学诊疗方法。


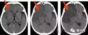
随着时间的推移哽塞面积逐步扩大
脑卒中急性期初诊诊断及必要检查:
第一阶段:脑卒中的基本病情(脑梗塞、脑溢血、蛛网膜出血等)的诊断。
第一阶段为区别脑卒中与其他疾病,如果确定是脑卒中则对3个基本病情进行鉴别的阶段。若倾向于判断为脑卒中的,应及时进行脑部CT检查,并同时按序展开其他临床检查;

第二阶段(脑梗塞的情况下):对脑梗塞的三种情况进行鉴别诊断。
第二阶段在第一阶段的基础上进行脑部磁共振检查、脑血管检查(超声检查、血管造影等)、心脏检查、血凝血小板检查等。脑梗塞的治疗方案是基于本阶段的诊断结果,同时应注意尽可能快速进行检查。
脑梗塞的治疗
脑梗塞急性期治疗一般是以药物治疗为中心的内科治疗,主要用药为溶栓药物、脑部保护药物、防脑水肿药物、抑制血栓形成药物。
脑梗塞急性期内药物治疗的目的:通过改善神经症状(手足麻痹、无法说话、视力减退等),使对日常生活产生影响的行动障碍影响降至最小。

尽快接受治疗

脑梗塞的康复及再发预防
住院中的康复训练:尽早开始康复训练非常重要;
对于有后遗症的患者来讲,康复训练能帮助患者尽可能减轻后遗症带来的影响,实现生活自理、尽早回归社会。因此,尽早进行康复训练对于患者来讲非常重要。
早期康复训练对于防止患者进一步发展未失能及复发预防所采取的必要措施。病情安定的前期下,可尽早开始康复训练。
康复训练根据患者病情情况在发病期、恢复期、维持期进行不同程度的康复训练,脑梗塞治疗一般在不同职能医护人员的团队协同下进行。
防止再发病应采取的预防措施
用心改变生活习惯:引发脑梗塞的危险因素包括:高血压、糖尿病、高血脂、吸烟、饮酒、肥胖、压力等。出院后,患者需要进行针对性治疗以及改变生活习惯预防疾病复发;
按医嘱服用药物防止血栓形成;
不忘补充水分:夏季以及平时(入浴等)出汗后,血液区域粘稠,容易形成血栓导致复发,因此及时补充水分很重要。
摘自:护佑家


临床作用
挚致深层振动按摩系统临床作用:
1、缓解软组织疼痛:通过振动按摩增加局部组织的血流灌注、增加局部组织热能、促进血液循环,引导更多的抗炎止痛物质清除局部疼痛因子,从而达到缓解疼痛的作用;同时,高速有节奏的震动能够刺激局部的感觉神经,通过闸门控制效应达到迅速止痛的目的;并且治疗前可在疼痛局部涂抹疼痛治疗膏/乳液/凝胶,有效地将药物导入疼痛部位从而更好地治疗疼痛。
2、加速乳酸代谢:运动后肌肉内出现乳酸堆积,血循环的改善、震动的效应,再加上向心的操作手法、结合一些局部牵拉动作,从而有效促进乳酸的吸收,加速运动后恢复。
3、松解粘连及瘢痕:粘连是由于肌纤维或者肌肉筋膜由于无菌炎性物质而导致的粘连与排列紊乱,通过深层肌肉按摩仪的大面积治疗头可以放松整体肌纤维及肌筋膜,通过1号小治疗头可对粘黏点和瘢痕部位进行深层、针对性刺激,产生的机械力松解粘连及瘢痕;同时局部血循环的改善亦可达到软化瘢痕和松解粘连的效果。
4、促进循环回流:现代人*坐静**少动的生活方式往往会引起淋巴及静脉血回流不畅或不及时,从而导致局部代谢废物或有毒物质不能及时处理,容易引发许多疾病,运用深层肌肉按摩仪治疗顺着淋巴回流的方向或者是肌纤维走形方向操作,并在此过程中可结合向心手法、手动淋巴按摩手法高效、快速地推动静脉及淋巴管道的循环回流,消除健康隐患。
5、促进排痰:高速的震动和刺激能够辅助排痰困难的患者将淤积在肺内的痰液排出体外。
6、消除脂肪团:深层振动按摩仪的高速振动使得脂肪囊碎裂,同时加快的血循环将游离出来的脂肪带走,从而促进局部脂肪的消解,塑造完美体形。
7、全身皮肤护理:由于局部营养和循环的问题,往往会出现皮肤粗糙或者是橘皮组织,深层振动按摩仪在手法操作的基础上有效刺激局部循环和代谢,从而改善皮肤状态;同时,还可以辅助导入一些针对性的药物/精油/护肤品,有效提升吸收率、增加吸收量,达到事半功倍的效果。

可运用的医院和机构
1、医院:
-
中医按摩科:中医按摩及运动按摩,高效、快速、预防职业病
-
康复科:软组织疼痛及损伤康复、肺功能康复等
-
理疗科:软组织疼痛、粘连、瘢痕、肌筋膜放松等
-
整脊科:整脊治疗前准备
2、运动队:挚致深层振动按摩系统对于运动员训练后放松及乳酸代谢促进
3、美容机构:
-
挚致深层振动按摩系统瘦身塑形,消解局部脂肪,打造完美曲线;
-
挚致深层振动按摩系统改善橘皮组织;
-
挚致深层振动按摩系统改善皮肤,改善全身皮肤健康状况,并可辅助局部精油/护肤品的导入;
4、SPA及按摩中心:挚致深层振动按摩系统具有疏通经络、放松肌肉、精油按摩、亚健康管理、形体塑造等;
5、肥胖管理中心:挚致深层振动按摩系统消脂塑形
6、家居保健:现代人*坐静**少动的方式容易出现诸多循环问题(静脉、淋巴),家居保健是现代人们常予关注的焦点,挚致深层振动按摩系统操作安全简单对于高端客户可以选择家用。
