
血常规复检很重要!
作者|中国中医科学院西苑医院检验科
唐玉凤 张鹏
来源|检验医学网
案例
经过
患者,女,57岁,因乏力、低热3天就诊,血常规结果除血红蛋白和红细胞略减少外,其余结果未见明显异常(图1,2),如果从数值和散点图来判断,未触犯复检规则,同时CRP为65mg/L,如果由您审核这份报告,能直接签发吗?假如需要复检,又该做些什么呢?

图1 LIS系统显示的血常规结果

图2 血液分析仪结果和散点图
下面介绍一下我们的处理过程:
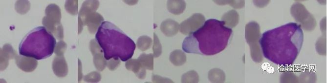
虽然血常规结果从数值和散点图未见明显异常,但是因为仪器报警信息提示“Blasts?”“Imm Gran?”(图2)。恰恰正是这2条报警信息触犯了我科制定的复检规则,自动推片机推制的血涂片在DM96形态学图像识别系统上读取到5%的原始细胞(图3),手工涂片显微镜下发现原始细胞占4-5%(图4),血细胞形态学报告见图5。做到这一步,是不是工作已经全部完成了呢?还有其它事情需要做吗?

图3 CellaVision DM96图像分析系统血涂片读取的原始细胞

图4 人工显微镜发现的部分原始细胞

图5 血细胞形态学报告
1、 详细询问病史
据首诊医生介绍,患者既往体健,乏力半月,低热3日就诊,查体无肝、脾及淋巴结肿大。在我们与临床医生沟通前,其已为患者开具了抗生素和清热解毒的中药,并嘱其按疗程服用,随后在我们的建议下,经治疗医生方同意患者去血液专科就诊。
2、 进一步随访
因患者未在我院住院治疗,半月后我们进行了电话随访,获知患者后就诊于北京一家以血液病为重点学科的三甲综合性医院继续检查,病毒抗体检查结果见图6。其中抗巨细胞病毒IgG抗体(CMV-IgG)、抗单纯疱疹病毒抗体IgG(HSV-IgG)、抗EB病毒衣壳抗原IgG抗体(EBV-VCA-IgG)、抗EB病毒早期抗原IgG抗体(EBV-EA-IgG)、抗EB病毒核抗原IgG抗体(EBV-NA-IgG)均增高,抗细小病毒B19IgG抗体(HSV-IgG)为1:100阳性。从上述11项病毒的检测结果来看,6项阳性结果均为IgG,IgG抗体阳性提示患者有既往感染,提示新近感染的5项IgM抗体均阴性,据此分析该患者现在并不存在急性病毒感染,其低热、乏力原因并非缘于此。
随后行骨髓穿刺,结果见图7-10。按照目前WHO对急性白血病诊断和分型标准的建议,需要按照MICM即指形态学(Morphology)、免疫学(Immunology)、细胞遗传学(Cytogenetics)和分子生物学(Molecular)进行分型。骨髓细胞形态学结果显示原始粒细胞占14.0%,原幼单核细胞占36.5%,结合过氧化物酶染色(pox)-35,+4,++11%。初步诊断为急性髓细胞白血病(AML-M4)。免疫分型显示表达髓系抗原CD117、CD38、CD33和CD13,部分表达单核细胞标志CD14,无淋系表达,免疫学结果进一步佐证了形态学诊断。遗传学结果显示染色体正常核型46,XX[3],白血病基因检测未见AML融合基因,未检测到MLL-PTD、NPM1(A、B、D型)、FLT3-ITD、P53突变基因。综合上述的MICM分型,急性髓细胞白血病(AML-M4)的诊断明确,目前患者正在积极治疗中。至于患者的病毒抗体检测结果有6项IgG抗体阳性,罹患白血病是否与相关病毒的既往感染有关,目前的医学水平还不能解释。

图6 血清病毒抗体检查结果

图7 骨髓细胞形态学检查结果

图8 流式免疫分型检查结果

图9 染色体核型分析结果

图10 白血病基因分型检查
通过本病例的分享,得到3个启示:
1、血常规复检的重要性。本病例如果仅从数值和图形上分析,都没有达到复检要求,恰恰是仪器报警信息“Blasts?”“Imm Gran?”提示我们需要复检,使这例临床症状不典型、处于疾病早期阶段的白血病能够及时发现,可见在血常规复检工作中,数值、图形和报警信息同等重要,触犯任何一条标准均需要复检,否则会造成漏检。
2、与临床医生沟通交流应具有主动性。非血液科医生不熟悉血液病的诊断与治疗,这时我们更应该积极主动与其进行沟通,并坚持自己观点,这样不仅提高了临床医生在诊疗工作中对血常规结果的分析判断能力,也使其对我们的工作流程、工作态度进一步了解,融洽了科室关系。
3、随访。通过随访,不仅能提高我们的技术水平、丰富我们的专业知识,得到患者和家属的理解和认可,同时还能够为教学、科研提供素材。

编辑:梁丘 审校:柒柒