很多人可能听说过或见过颅内海绵状血管畸形或海绵状血管瘤患者,这是神经外科的常见病变之一。随着影像诊断技术的发展以及人们对体检的重视程度的提高,颅内海绵状血管瘤的发病率、诊断率日益增加,其中一些患者有明显的相关症状,而还有一些患者没有如何不适。因为这种疾病最大的危害就是突然出血导致一系列的神经功能障碍,有些病变位置特殊,出血量较大的患者严重时可能会偏瘫、失语、甚至死亡。无论是哪一类患者,是否出过血,这种病必须得到患者及医生的足够重视,同时患者应向有经验的神经外科医生咨询正确的诊治方案,绝不能忽略或拖延病情。为了让大家更好地了解颅内海绵状血管瘤,在此INC特别解答一些常见的疑惑问题!
定义
颅内海绵状血管畸形(CMs)是一种低血流的中枢神经系统血管畸形,可能发生在大脑、脊髓,或很少发生在硬脑膜,也经常称之为海绵状血管瘤。在微观层面上,内皮细胞缺乏正常的紧密连接,导致 "渗漏"。从宏观上看,病变被比喻为桑葚或覆盆子。
磁共振成像(MRI)反映了基本的病理变化。标准的T2加权序列显示病变网状的中央部位("爆米花 "外观)。中央部分的T2高信号反映了其中的血液和血栓。中央的低密度区域可能反映老化的血液或钙化。病变周围典型的T2低信号边缘反映了周围的含铁血黄素。

图1:颅内海绵状血管瘤分别在显微镜下(左)、肉眼下(中)和核磁共振上(右)的表现形式
流行病学
颅内海绵状血管瘤的确切发病率尚不清楚。来自尸检研究、临床MRI研究和为非临床目的进行的脑部MRI研究的预估表明其患病率为0.16%至0.9%。在一项以人群为基础的研究中,对50至89岁的病人进行了非临床目的的MRI检查,海绵状血管瘤的发病率约为1/200,但只有1/2700的患者有相关症状。患者最常见的是在30-50岁之间就医,但患者可能在婴儿期和儿童期就已存在该病灶。
发病机理
尽管最初被认为是先天性病变,但现已知海绵状血管瘤是获得性的,许多报告证实了MRI检查结果正常的患者后来发展成了海绵状血管瘤。有数据显示,随着年龄的增长,海绵状血管瘤的发病率越来越高,这也支持了后天的病因。

图2:颅内不同部位的海绵状血管瘤病灶
大约80%的患者是散发病例。通常情况下,患者会有一个单一的病变,往往同时伴有发育性静脉异常(DVA)。一些数据支持DVA在影响出血风险方面的潜在作用。大约30%的散发性海绵状血管瘤患者在标准MRI序列中会有相关的发育性静脉异常。
多达20%的病人是家族性病例。导致家族性海绵状血管瘤的3种已知的蛋白编码基因是:KRIT1(CCM1)、Malcavernin(CCM2)和PDCD10(CCM3)(见图3)。这些基因调节参与内皮细胞紧密连接的稳定性、细胞增殖和血管生成的信号通路。家族性海绵状血管瘤通常以不伴相关发育性静脉异常的多发性海绵状血管瘤为特征,但也存在与发育性静脉异常相关的家族性海绵状血管瘤的罕见病例。

图3:家族性海绵状血管瘤的3种基因分型以及各自的特点,左为视网膜海绵状血管畸形,中为皮肤静脉畸形,右为多发海绵状血管瘤、脑膜瘤
存在多个病变的患者或单一病变合并家族史的患者应考虑进行遗传咨询和检测。家族性患者也可能有皮肤病变(毛细血管静脉畸形)和视网膜血管瘤。家族性患者可能以大约每2年1次的速度出现新的CM病灶。儿童期发病的患者发生脑出血的风险更大,并可能有其他系统性疾病,包括脊柱侧弯、脑膜瘤、星形细胞瘤和前庭神经鞘瘤(听神经瘤)。
毛细血管扩张症和海绵状血管瘤可能在脑部或脊髓放射性照射(包括立体定向放射手术)后2至20年内发生。海绵状血管瘤常在放疗的端口发展或在全脑照射的情况下更弥漫性地发展。放射性海绵状血管瘤患者经常会形成多个病灶。
临床表现
患者可能因偶然发现或因相关症状而被诊断。症状可能包括局灶性神经功能缺损、癫痫发作或急性孤立性头痛。这些症状可能与急性出血有关或无关。
慢性头痛在海绵状血管瘤患者中很常见,但如果在影像学上无相关的急性出血,慢性头痛不被认为是需要手术的海绵状血管瘤的症状性并发症。
在家族性病例中,最常见的症状是癫痫发作,其次是出血和非特异性头痛。位于脑干的海绵状血管瘤更容易发生出血。引起癫痫发作的病灶更有可能是幕上皮质病变,其中颞叶的病变最为普遍。脊髓海绵状血管瘤通常是症状性的,而不是偶然发现。脊髓海绵状血管瘤出血的病人常常表现为不完全或完全的脊髓病变,伴或不伴相关的疼痛。

图4:脊髓海绵状血管瘤的影像学特点和术中表现
诊断
头颅CT通常在紧急情况下进行,可显示海绵状血管瘤的出血或钙化。然而,头颅CT对诊断海绵状血管瘤的敏感性和特异性较差。脑部MRI,最好是3T的标准序列和SWI序列,是首选的诊断方法。

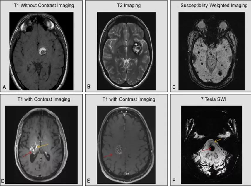
图5:颅内海绵状血管瘤在不同核磁序列中的表现特点:A为T1序列(非增强),提示近期出血的海绵状血管瘤;B为T2序列,提示陈旧性出血的海绵状血管瘤;C为SWI序列,提示家族型多发海绵状血管瘤;D为T1增强序列,提示合并发育性静脉异常的海绵状血管瘤;E为T1增强序列,提示海绵状血管瘤病灶轻度、斑片状强化特点;F为7T-SWI序列,提示合并发育性静脉畸形的海绵状血管瘤
T1加权序列可显示与近期亚急性出血有关的高信号(图5A),如果近期没有出血,病灶可能显示为等信号。T2加权序列中病变中央区一般呈网状,类似于桑葚,病变周围呈提示含铁血黄素环的低信号(图5B)。
含铁血黄素敏感序列,包括梯度回波序列或SWI,通过显示海绵状血管瘤部位的低信号并可能显示额外的海绵状血管瘤(图5C)来帮助确诊。无发育性静脉异常合并的多个海绵状血管瘤可能提示家族性,但也可能见于辐射诱发的患者当中。除了T1加权增强MRI之外,SWI可以帮助识别相关的发育性静脉异常(图5D)。
在增强序列中,海绵状血管瘤可能会呈弥漫性轻微强化(图5E),但不会明显强化或环形强化。后者如果伴有SWI序列的改变,则更多的是提示出血性转移瘤、感染性进程,或者很少是炎症/脱髓鞘性疾病。
自然病程与结局
根据多项自然病程研究和3项荟萃分析,首次以出血就医的患者和病变位于脑干的患者将来出血的风险最高。根据一项荟萃分析,未出血的非脑干病灶在5年内发生出血或局灶性神经功能缺损的风险为3.8%,脑干病灶的风险为8.0%;而有出血或局灶性神经功能缺损的非脑干病灶发生出血的风险为18.4%,脑干病灶的风险为30.8%。对于那些发生过出血的患者,再次出血的最高风险是在头2.5年内。

图6:海绵状血管瘤静态和出血时的表现
虽然已出过血的患者出血风险很高,但许多患者在第一次出血后,临床症状会有明显改善。因为海绵状血管瘤处于毛细血管水平,通过它们的血流压力非常低。因此,海绵状血管瘤的出血通常是使周围的脑组织受压、移位而不是损伤;因此,在没有反复出血的情况下,可能会达到临床康复是由于急性出血被重吸收。
Taslimi等人发现,几乎80%的病人在第一次出血后1年内完全康复或残疾程度很小,而且海绵状血管瘤出血后的死亡率很低。如果海绵状血管瘤患者出现癫痫发作,5年内癫痫反复发作的风险可高达94%。
如果癫痫发作与急性出血和水肿有关,癫痫发作的风险是否随着急性出血和水肿的再吸收而下降尚不清楚,因为大多数人都会用抗癫痫药物治疗。在发生出血或未出血的局灶性神经功能缺损的患者中,5年的癫痫发作风险约为4%。癫痫发作通常只发生于脑膜、皮质病变的患者。
临床管理
对于海绵状血管瘤患者,管理的目标包括确定对病变本身的治疗,治疗相关的症状和解决相关的问题(例如,癫痫发作),以及管理患者的其他合并症(例如,头痛,怀孕)。目前还没有临床试验发表来指导海绵状血管瘤患者的管理。治疗建议来自于流行病学和自然病程研究、大型无对照的手术和放射外科案例系列以及大型队列研究。

图7:颅内海绵状血管瘤患者临床管理方案的概述
鉴于现有文献的局限性,血管瘤联盟的学术部门于2017年根据Delphi(德尔菲)法发布了管理海绵状血管瘤患者的共识指南。
临床管理
与其他疾病一样,必须权衡治疗风险和自然病程。对海绵状血管瘤患者的治疗建议需要对该疾病的诊治有经验的神经内科医生和神经外科医生的合作。 目前为患者提供的有创治疗方案包括:手术、放射外科和立体定向激光消融,其中开颅切除术最常用。在不久的将来,新的医疗模式可能会改变疾病的病程和海绵状血管瘤出血和/或生长的风险。

图8:现代神经外科手术室
手术适应症和解剖学上的考虑是什么?在脑部可手术的区域,出现与海绵状血管瘤有关的症状性出血的患者可以考虑进行手术,因为手术风险与带着病变生活2年内的出血发生率和死亡率相似。
海绵状血管瘤在大脑深部(如丘脑、基底节)或脑干的患者,哪怕是单次出血,通常会建议观察。而手术是等到反复出血或进行性功能障碍时才会考虑。然而,这种方法是有争议的,有些人认为反复出血的风险最高的是脑干海绵状血管瘤;因此,等患者第二次出血可能会导致病患伤害的增加。还有人认为,首次出血后的较好的恢复和一些脑干区域的手术风险可能使患者偏向于首次出血后的保守治疗。
一般来说,如果病变接近室管膜或软脑膜表面,就可以进行手术,而术中神经电生理监测和无框神经导航的广泛运用,提高了曾经被认为是高风险区域的手术安全性。

图9:显示48岁女性,反复出血导致复视、进行性左上肢无力和震颤的脑干海绵状血管瘤患者术前和术后T1增强序列的对比图。术后影像提示病灶得到全切。术后患者肢体无力得到好转,其他症状仍无明显改善。

图10:精准切除脑干CCM的九个安全手术入路区域(紫色区域;虚线表示进入轨迹),包括中脑3个,脑桥2个,延髓4个
除了开颅手术外,还有其他治疗方法吗?立体定向放射外科治疗(如伽玛刀治疗或直线加速器治疗)一直被认为是对手术无法触及部位的海绵状血管瘤患者进行开颅手术的替代方案。然而,放射外科手术的益处是否优于自然病程目前还不清楚;许多研究表明,出血风险在2.5年后下降,这与自然病程相似,而且放射外科手术研究没有对照组。
血管瘤联盟的指南指出:对于无症状或家族性的海绵状血管瘤,不推荐使用放射外科手术。因为放射治疗,包括放射外科手术,与海绵状血管瘤的发展有关,而且家族性患者容易出现新的病灶,由于考虑到更多海绵状血管瘤的增殖,不建议对这些患者进行放射外科治疗。
最近,有一种微创技术,即核磁共振引导下的立体定向激光间质热疗,已被用于治疗耐药性癫痫,包括少数海绵状血管瘤患者。该技术的优点是微创,并且可以通过核磁共振热成像技术对治疗进行实时观察和监测。其在海绵状血管瘤患者中的应用,尽管很有希望,但对于做出明确的结论和建议仍然很有限。

图11:LITT技术治疗颅内海绵状血管瘤
以上内容可以帮助颅内海绵状血管瘤患者及家属提高对疾病的正确认识,以更好地了解自己的病情,从而选择适合自己病情的最佳治疗方案。除此之外,大家是否想知道关于海绵状血管畸形引起的其他症状(如头痛,癫痫发作)的正确处理,一些特殊患者(如:孕妇,服用抗凝药物的患者)的治疗原则以及如何降低出血风险等相关问题,那么接下来就给大家展开进一步讲解。
颅内海绵状血管瘤10大常见问题答疑
1、患者是否都应该进行基因检测?

患有多发海绵状血管瘤或有病家族史的患者应接受遗传咨询并考虑进行基因检测。应检测三代人的家族史。可以进行Sanger或下一代测序分析,以及CCM1、CCM2和CCM3基因的缺失/复制分析。检测前应进行咨询,以权衡风险(包括心理影响)和益处,特别是对无症状的患者。
2.出血的患者应该怎么治疗?

术后患者或出血的患者根据他们的神经系统缺损情况可能需要物理治疗结合作业治疗和言语治疗。如果患者症状在1年内没有改善,可以对复视和下运动神经元性面瘫进行手术治疗。有些患者会出现延迟性并发症,如神经性疼痛、震颤或肥厚性橄榄核变性。对于有丘脑、延髓和脊髓疼痛综合征的患者,可以考虑使用神经病理性疼痛药物或神经调控。红核颤抖症可能是中脑出血或手术的并发症。虽然药物治疗和在某些情况下使用脑深部电刺激,但对这种特殊类型的震颤效果并不理想。
3.患者出现了癫痫,怎么处理?

在单次癫痫发作的患者中,5年内反复发作的风险高达94%;因此,一般来说,对局灶性发作的患者抗癫痫药物治疗是有必要的。如果患者的癫痫发作是由出血引起的,可以考虑早期手术,其目的是减少未来的出血以及控制癫痫发作的风险。
此外,对于药物治疗依从性差的患者,可以考虑早期手术。在充分试用1或2种药物后仍有反复发作的患者,也应考虑手术。功能性核磁共振成像、神经束成像和其他工具可能有助于确定患者是否适合进行安全手术。
4.患者应该多久复查一次头颅核磁检查?

由于出血性海绵状血管瘤在最初的影像学检查中可能缺乏典型的表现,有时会被误认为转移瘤或其他疾病,我们建议在最初出血后3个月内复查MRI检查,以确认病变的典型演变。
一旦海绵状血管瘤的诊断得到确认,就没有必要使用增强对比剂,因为任何相关的发育性静脉异常都不太可能发生改变。然而,如果要评估其他疾病,可以考虑进行增强核磁。
5.如果患者因其他疾病需要抗栓治疗怎么办?

由于海绵状血管瘤可以出血,因此同时使用抗血栓药物(抗凝和抗血小板)时会存在一些担心。然而,一些单中心、非随机的队列研究和1项荟萃分析表明,服用抗血栓药物的患者出血风险较低。
为什么会这样?是有合理的原因。首先,在伴有发育性静脉异常的散发性患者中,一种理论认为其中一个发育性静脉异常根部血栓导致流出受阻,海绵状血管瘤内部压力升高,随后导致出血,这与脑静脉血栓形成的情况相似。根据这一假说,抗血栓药物的 "保护 "作用是它能降低发育性静脉异常的血栓形成风险。其次,阿司匹林的抗炎特性可能会导致出血风险降低,因为海绵状血管瘤漏损可能与炎症有关。
尽管这些理论很有吸引力,但必须谨慎地解释这些研究结果。也有可能这些结果是由于选择偏倚造成的。也就是说,医生选择性地允许他们认为风险最低的患者接受抗血栓药物治疗,而这种临床敏锐性反映在这个关于海绵状血管瘤抗血栓药物的队列数据中。
基于目前的证据,我们认为,如果可以的话,应避免使用抗血栓药物。对于海绵状血管瘤的出血风险低,而需要抗血栓药物的疾病发病率高的患者,应该使用抗血栓药物。对于服用抗血栓药物的患者,应密切监测可能与海绵状血管瘤出血相关的新发症状。
6.如果患者想怀孕,应该如何进行指导?

对于想要怀孕或已经怀孕并患有海绵状血管瘤的患者来说,存在几个考虑因素。首先,如果她有家族史,应该讨论遗传咨询。第二,如果病人有癫痫,应该对怀孕期间决定是否需要继续用药进行评估。如果病人确实需要使用抗癫痫药物,应考虑使用最安全的药物和补充叶酸,以减少致畸性。最后,应讨论出血的风险和分娩方式。如果在怀孕期间或产后哺乳期间出现神经系统症状,可以考虑做非增强的MRI检查。
过去,由于20世纪90年代初发表的各种病例报告和系列病例,人们一直担心怀孕会增加海绵状血管瘤的出血风险。后来,两个大型的女性患者系列研究结果表明,怀孕期间出血的风险并不比年龄相仿的非怀孕妇女大。没有证据表明已知海绵状血管瘤的患者禁忌怀孕。同样,除非存在特定的禁忌症(与海绵状血管瘤无关),否则没有理由考虑自然分娩的替代方案。
7.有慢性头痛的海绵状血管瘤患者选择使用哪些药物是安全的?

第一个目标是确定病人是原发性还是继发性头痛。表示继发性头痛(如出血或脑积水)的信号包括:雷鸣般的疼痛发作、相关的局灶性神经功能缺损、用力时疼痛加重以及50岁以上患者出现新的头痛。
如果病人有原发性头痛,应该对该头痛进行定性和分类。最常见的是,海绵状血管瘤患者有偏头痛或紧张性原发性头痛。很少有文献涉及到海绵状血管瘤患者头痛用药的安全性问题。在紧张性和偏头痛的中止治疗方面,有些人提出了非甾体抗炎药(NSAIDs)会增加出血的风险的担忧。然而,一个大型的、前瞻性的、主要针对非家族性海绵状血管瘤患者的队列研究数据并不支持将使用NSAID作为引起出血的风险之一。
在某一些病例中,患者可能因出血而引起头痛,然后服用非甾体类抗炎药。因此,NSAIDs是出血的影响而不是原因。然而,在进一步了解数据之前,如果最近发生过出血,建议谨慎使用NSAIDs。目前几乎没有关于曲普坦类药物安全性的数据。
关于海绵状血管瘤患者标准使用预防偏头痛药物并无禁忌。事实上,由于有潜在益处的病例报告,研究者正在评估普萘洛尔减少出血风险的可能性。如果患者不能耐受或不能使用预防性口服药物,可以考虑使用A型肉毒杆菌毒素以及枕神经阻滞治疗慢性偏头痛。
8.对海绵状血管瘤的形成原因或方式有哪些说法?
海绵状血管瘤患者通常有基因突变或发育性静脉异常。但仅凭这两点并不一定会导致海绵状血管瘤的形成。此外,家族性疾病的变异性很高,即使在同一个胚系突变的个体之间也是如此。其他因素也可能起作用。从详细的体外和动物数据中收集到的可能因素包括氧化应激、炎症和血管生成的改变。最近的人类数据支持这些研究结果。炎症和免疫反应途径的基因多态性预测到1型颅内海绵状血管瘤患者的损伤负荷。
在另一项研究中,与没有海绵状血管瘤的发育性静脉异常患者相比,散发性海绵状血管瘤患者更有可能患有慢性炎性疾病。最近,研究人员发现肠道菌群在海绵状血管瘤的形成中具有潜在作用。
9.有没有可以降低海绵状血管瘤出血风险的药物?

随着对家族性海绵状血管瘤的遗传机制有了更清楚的了解,以及有了新的实验室技术来研究再利用药物,一些已被确定的候选药物可能会减少出血风险,对于那些家族性患者,可能会减少新发病变的出现。
临床前的动物和体外数据表明,雷帕霉素、索拉非尼、舒林酸(NSAID)、TLR4阻断剂、法舒地尔、维生素D、坦波尔和辛伐他汀有潜在作用。贝伐珠单抗和普萘洛尔的积极作用在病例报告中已有报道。一些正在进行的临床试验正在评估他汀类和普萘洛尔对海绵状血管瘤的临床过程和生物标志物的作用。
10.关于海绵状血管瘤临床表现的生物标志物是否有进展?

由于候选药物的数量和症状性海绵状血管瘤的患病率较低,人们认为临床试验可能会难以进行。定量易感性图谱(QSM)和动态对比增强定量灌注成像是有助于检测海绵状血管瘤病变的铁含量和血管渗透性的不断发展的技术。
在一项研究中发现,通过QSM测量的铁含量增加6%的阈值可以反映未来症状性出血的风险。同时,血清生物标志物是否能反映海绵状血管瘤的活动性也正在评估中。
Girard等人评估了反映血管生成、炎症和氧化应激的血浆生物标志物的实用性。他们发现,4种血浆炎症细胞因子(白细胞介素2、干扰素γ、肿瘤坏死因子和白细胞介素1β)有助于对海绵状血管瘤患者的临床表现进行分层。生物标志物组合检测到的 "高 "炎性状态与患者在随访期间的出血、癫痫发作和病变的生长有关。在血液内形成一个高张环境,提高血浆晶体渗透压,增加血脑之间的渗透压差,使脑组织水分移向血液循环内,降低颅内压,减轻脑水肿。如缓慢输入,血浆渗透压不能明显提高,无明显组织脱水、降颅压作用。
总结
海绵状血管瘤是中枢神经系统的低血流、获得性血管畸形病变。它们可能是散发性、家族性或辐射引起的。海绵状血管瘤患者一般会在轴位成像研究中偶然被发现或由于相关的癫痫发作、头痛或局灶性神经功能缺损症状(无论是否伴随出血)而就医。
需要根据患者的年龄、症状、病变形态和解剖因素,权衡每个海绵状血管瘤患者的自然病程和治疗风险。对合并病症的治疗需要仔细考虑风险、效益和对文献差异的理解。在未来的海绵状血管瘤治疗中,除了手术选项之外,还将出现改变病情的药物,用于预防出血、治疗癫痫发作和减少损伤负荷。
颅内海绵状血管瘤虽然第一次出血后往往会恢复较好,但同时因反复出血的风险及相关并发症仍然对患者和家属带来长期的困扰。同时当患者合并其他特殊疾病及病情时,给医生也带来一定的困惑。希望这篇文章能够解答颅内海绵状血管瘤患者及年轻神经外科医生们的一部分问题。
部分图片来源于网络,侵则删
参考原文:Kelly D Flemming , Giuseppe Lanzino . Mayo Clin Proc. 2020 Sep;95(9):2005-2020.1.