多囊肾和肾囊肿有什么区别?
本文为泌尿明医生原创,非经许可拒绝转载。
现在随着查体中B超的广泛应用,和CT检查的诊断率的普及,越来越多的肾囊肿在临床中发现。但其中很多都是不需要行手术治疗的。我一个同学的妈妈单位查体B超发现肾囊肿多发,最大的囊肿显示2cm但双肾多个囊肿,保守估计可见的有10多个,他拿着超声报告单愁眉苦脸地说我查了百度,说这有可能是多囊肿,我妈今年60多了,说很快就会肾功能呢不全,我耐心地给他解释了肾囊肿和多囊肾的区别,告诉他无需过度担心,定期复查就好。那么,这两者有什么区别呢?

从来源上看,肾囊肿是来源于肾小管的囊肿,分为单纯性肾囊肿和复杂性肾囊肿。一般认为单纯性肾囊肿确切病因不明,可能是由于肾小管堵塞、憩室形成,逐渐扩张所致,随着年龄增长,远期小管和集合管有人会出现逐渐扩张,就好比年老后胶原蛋白流失,皮肤变皱一个道理,管样结构扩张,肾囊肿会逐渐增加,所以老年人查体发现肾囊肿几率远远高于年轻人。而多囊肾是一种遗传性疾病,娘胎里带来的,分为常染色体显性遗传和常染色体隐形遗传,一般临床看见的多是常染色体显性遗传,也叫成人型多囊肾,发病机制是由于胚胎发育过程中,尿液经过近曲小管、远曲小管、最后肾小管要汇入集合管,但肾小管和集合管的连结部出现了解剖结构连结不良,导致尿液潴留在远曲小管,逐渐扩张形成囊肿。这种改变是全肾性的,也就是说肾脏的每个部分、每个肾小管最终都会发病,很难避免,也就是说肾脏的全部肾小管部位最终都会出现囊肿,所含囊液本质上是肾小球过滤液,也就是原尿。自然寿命达到80岁的人都会发病。常染色体隐形遗传临床较少见,多见于儿童,往往在幼年、青少年就发病死亡。可同时鉴于兄弟姐妹而父母不发病。发病机制表现总结说来,肾囊肿是后天的,偶发的,即时是多发的也是单独的病灶,而多囊肾是先天的,呈全肾性改变,弥漫性肾脏病损。

从临床表现来看,早期肾囊肿和多囊肾都没有明显的临床症状,多数是查体发现的。肾囊肿增大后比如超过4-5cm有人可有腰酸胀不适感,但同时如果是中老年人发病因为不能完全排除腰椎、腰肌劳损等骨科共患病可能,所以也不能说腰酸都是肾囊肿所致。有人也可以有囊肿内出血急性腰痛,血尿,压迫输尿管引起肾积水,压迫肾实质激活肾素血管经张素系统引起高血压,偶尔还有胃肠道迷走神经症状引起血液循环、呼吸道和消化系统异常,但很少见。多囊肾是遗传病,所以父母往往有病史,发病后疼痛症状要重于单纯性肾囊肿,多囊肾往往合并有结石和囊内出血,因此肾绞痛多见,可有血尿,感染、急性期可有发热寒战,高血压、往往在40岁左右发病,在50-60岁逐渐出现肾功能功不全的表现,最终进入肾衰竭终末期需要透析治疗。多囊肾作为一种多系统的遗传病,同时类积极肝脾卵巢结肠等,其中肝囊肿最常见,发生率为30%以上,心血管系统包括左心室肥大,颅内动脉瘤等(发生率为4-16%,最常见的死亡原因)。所以如果确诊了多囊肾,要查头MRA的!
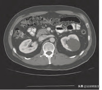
从影像学表现来看,B超肾囊肿表现是1、界限清楚的囊内无回声的空腔;2,囊壁光滑,囊液透声清楚,3、囊壁回声增强。符合这三条诊断的单纯性肾囊肿成立可能性95%. CT表现为囊壁薄,均值,边缘锐利整齐,CT值一般低于20,静脉注射造影剂后无强化表现。囊肿感染或出血或含高蛋白液体,CT值可升高。MRI一般用于对造影剂过敏或肾功能不全的患者,MRI有利于明确囊液性质,单纯性肾囊肿在T1加权上表现为低信号,在T2信号上表现为高信号(就是白色的)。



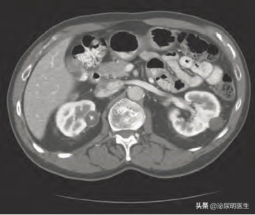
多囊肿的影像学表现B超为密集分布的液性暗区,如囊性结构过小也表现为无数异常的小回声复合体布满肾脏。CT表现双肾增大,肾呈分叶状,密布囊性结构,呈薄壁囊性结构。成人型多囊肾还可以做基因诊断,病变为16号染色体断臂,通过基因探针的方法做基因学确诊。
从治疗上看,我专门有一篇文章写什么样的肾囊肿需要做手术,大家有兴趣可以看看。多囊肾的治疗早期都是对症治疗,没有症状的可如常人正常生活,如果肾功能不全,肌酐升高,一定要优质低蛋白饮食,不能吃豆制品,如豆腐脑、豆腐皮等,肾肿大的要小心避免外伤造成肾破裂出血。高血压药选择降压药物。血管紧张素转化酶*制剂抑**是这类患者首选。血尿、结石等要积极治疗。囊内感染可以做B超引导下穿刺引流。对于18-35岁有动脉瘤家族史的要做MRA检查,无症状动脉瘤1cm一下可以观察,直径超过1cm的积极手术,实际上我们在临床上见过3mm的也可以手术治疗,我给我院神经外科就介绍过这类患者,越小的动脉瘤手术难度越大!对于囊肿较多较大也可以考虑做囊肿去顶减压,保护肾功能,但往往会复发,只能改善症状,延缓肾功能不全的发生,手术也不能耐处理所有的囊肿,不作为常规手术开展。终末期肾病只能进行透析和建议做肾移植了,我做过多囊肾的切除,手术难度较大,多选择开放手术进行。囊肿上顶膈肌下进盆腔,做完手术患者的肚子立刻就瘪了,术前肚子由于双侧多囊肾是呈鼓鼓的状态。女性患者在发病前是不影响妊娠的,但一旦发病就有可能加速高血压。

综上所述,单纯性肾囊肿和多囊肾的关系您看明白了吗?简单地说,如果B超CT上看到了肾囊肿之间有正常的肾实质一般认为是多发囊肿,而且个数即使是多发的,也会存在正常的肾实质,而多囊肾发病后则很难看到正常肾组织,且存在大大小小的囊肿,也就是说有大的、巨大的,中等的,小的,极小的,我们所说的囊肿爷爷、儿子、孙子、曾孙子都存在的病灶,而囊肿一般说来边界清楚,即时大小不一,也不像多囊肾那样密集恐惧症般的存在,在手术治疗和方法上更是明显不同,您看明白了吗?