在髓内钉固定技术领域,贡献最大的应是德国医师 Gerhard Kuntscher,他使得髓内钉固定技术完美化。他发现了闭合复位和固定对骨折愈合有益,并制定了两个标准:内置物必须能够抵抗数百千克的负荷,且钢钉使骨折愈合后即使在高负荷状态下也不会移动。髓内钉固定的原理基于骨和髓内钉间的加压力,因此只有峡部的骨折才可以用此法固定。为了扩展髓内钉的使用范围,Kuntscher发明了扩髓的方法以便髓内钉和骨髓腔内表面的加压作用范围可以更长。
在现在,骨折的髓内钉固定技术得到了广泛的应用。闭合带锁髓内钉固定已成为治疗股骨干及腔骨干骨折的首选方法,尤其是对多发性创伤患者。由于对髓内血循环的破坏发生脂肪栓塞的可能性以及因缺乏对髓内钉固定生物力学原理的了解,及手术操作不当引起的并发症等问题的担心,这种治疗方式出现以来曾存在争议。经科学研究,这些问题逐个得到解决。以前拉力螺钉和钢板是治疗骨干骨折的主要方法,目前多数长骨干骨析都选用带锁髓内钉进行固定。带锁髓内钉的出现极大地扩大了髓内钉的适用范围。以前粉碎骨折是髓内钉固定的禁忌证,而目前对带锁髓内钉而言,粉碎骨折成了它的适应证。骨干近端和远1/3段的骨折,波及小转子的转子下骨折,同侧股骨颈合并股骨干骨折,都可以用带锁髓内钉固定。

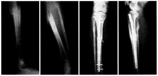
胫腓骨骨折应用交锁髓内针治疗骨折愈合
主要类型
和钢板一样,髓内钉也可按解剖部位和功能进行命名。中心髓内钉(centromedullary nail)沿髓腔进入骨内,它们通过纵向多点抵触(interfer-ence)与骨接触,依靠恢复骨段间的接触和稳定性来避免骨折的轴向和旋转畸形。中心髓内钉包括经典的克氏(Kuntschner)三叶钉和Sampson钉。踝头钉(conciylocephalic nail)在干骺端的踝部进入骨内,通常进入对侧的骨骺-干骺区。经常要打入一组踝头钉以增加旋转稳定性。踝头钉包括Ender针和Hackenthall针(pins)。头髓钉(cephalomedullary nail)有一个中央髓腔段,但也能向上进入股骨头内进行固定,Kuntschner Y形钉和Zickel粗隆下钉都属于这类髓内钉。由于普通髓内钉机械性能的缺陷,它在骨折治疗中作用是次要的。交锁技术(interlocking technique)进一步改进了这些经典髓内钉,增加了交锁型中央和交锁型头髓钉。交锁髓内钉增加了对抗骨折的轴向、旋转形变能力,延长了髓内钉的工作长度。目前,股骨髓内钉的设计主要表现在入钉点的不同,顺行髓内钉可以通过梨状窝或大粗隆尖入钉,逆行髓内钉通过股骨踝间入钉。
1.交锁固定(interlocking fixation) 可分为动力固定、静力固定和双重交锁。
(1)动力固定(dynamic fixation):可控制弯曲和旋转畸形,但允许骨进行接近完全的轴向负荷传递。动力固定适用于轴向稳定的骨折和某些骨不愈合。
(2)静力固定(static fixation):可控制旋转、弯曲和轴向负荷,能使置入物更多地承受负荷,但可能缩短内置物的疲劳寿命。静力固定在胫骨、股骨的非峡部粉碎骨折中尤其有用。
(3)双重交锁(double locked)固定:可控制弯曲力、旋转力和一些轴向畸形,因为螺钉可在髓内钉内轴向移动,可出现些短缩。这种类型的固定用于肱骨骨折,偶尔也用在骨延迟愈合或不愈合。
2.交锁髓内钉的动力作用(dynamization)
最初被用来避免对骨折愈合的损害,这是因为从理论上讲静力交锁会使骨折修复中止。这种技术通过从最长的骨折段上除去交锁螺钉而使静态模式转为动态模式。已证实约2%的股骨骨折采用此法。动力作用减少了髓内钉承受的负荷、增加了钉的疲劳,同时也增加了骨折处的压力。如果在动力作用之前没有足够的皮质稳定或骨再生,就会出现短缩。目前静力锁定动力化已很少使用。
髓内钉的适应证
在下列情况下使用髓内钉可获得满意的骨折固定。
1.髓腔最狭窄段非粉碎骨折
可考虑用非交锁钉。它不仅能消除侧向力或剪力,也能较好地控制旋转力。如一侧骨折段的髓腔较另一侧骨折段宽得多,通常难以控制旋转力,在这种情况下需要用交锁技术。一般来说,交锁螺钉应放在离骨折线至少2cm以上,以便为术后主动的功能活动提供足够的稳定性。对于轴向不稳定骨折,最好用静力性或双重交锁髓内钉来治疗。
2.选择钉的类型和决定扩髓的程度时,必须考虑骨的弧度
从生物力学上讲,非交锁髓内钉是依靠钉和骨之间的弧度不匹配而获得稳定的,从而形成纵向挤压。如果弧度不匹配的程度较大,则需要更多地扩髓。对所有的钉来说,入口都是关键,必须选在插入时用力最小的部位。对于股骨应选择梨状窝内与髓腔在同一条线上的位置,对于胫骨和肱骨,入口与髓腔线间的偏距会对相应的后侧及内侧皮质产生巨大的作用力。在胫骨,钉从腓骨头平面进入时用力最小。
3.髓腔有足够的直径和连续性
是应用髓内钉技术的前提,应避免过度扩髓,因为它会使骨质明显减弱并且增加热坏死的危险。一般来说,髓腔狭窄部股骨小于8mm、胫骨小于7mm时应慎用交锁髓内钉。
4.带锁髓内钉技术
允许髓内钉固定关节周围3~5cm范围内的骨折,这项技术要求使用锁钉或“Poller”螺钉。

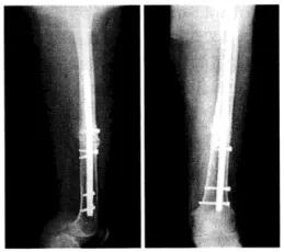
股骨干骨折髓内钉固定后骨不连,应用阻挡螺钉技术(Poller技术)再固定
注意事项
(1)要求有适当的手术前计划,以确保在髓内钉的作用范围内妥善地稳定骨折。
(2)患者应能耐受手术。
(3)手术前必须获得并确认有合适长度和直径的髓内钉。
(4)成功的髓内钉手术必须具有合适的器械、训练有素的助手以及适当的医院条件。
(5)金属钉并非骨愈合的替代物,如作恢复期发生过度的应变,可发生弯曲或折断。

股骨骨折髓内针内固定术后骨折不愈合髓针折断(箭头)
(6)应当尽可能使用闭合穿针方法,据报道应用这种方法,骨折的愈合率较高且较少发生感染:但外科医师必须熟悉切开和闭合两种手术技术。随着对闭合方法的经验增多,需要切开复位的骨折将越来越少。
主要争议
1.长骨骨折时是否扩髓
应用髓内钉治疗多发损伤患者的长骨骨折时是否扩髓,一直存在争议。支持不扩髓髓内钉的研究强调了扩髓具有反生理效应,例如髓内脂肪造成肺栓塞,并且实验证据表明扩髓对肺功能有不利影响。然而,这对大多数患者来说没有临床意义。一些学者认为,肺部并发症的发生与相关胸部损伤的严重程度的关系较与扩髓的关系更为密切。而支持扩髓髓内钉的研究则通常报道,扩髓和不扩髓髓内钉的患者之间的肺部并发症没有统计学差异。Bone报道了一组伴有胸部损伤的多发性损伤的患者,无股骨骨折患者的ARDS发生率为27%,股骨骨折行钢板固定患者的ARDS发生率为33%,而股骨骨折行扩髓髓内钉固定患者的ARDS发生率为0。因为有很多因素与ARDS发生有关,所以可能因扩髓造成损害的患者很难区分出来。
2.扩髓髓内钉固定是否增加感染机会
现有的临床资料显示扩髓与不扩髓股骨髓内钉之间的感染率没有差别,并且不扩髓髓内针较扩随内针内固定失败的概率要高。
带锁髓内钉固定骨干骨折时,对骨干的骨折只要求恢复骨干的长度、旋转和力线,骨折片有一定的移位并不影响骨折愈合,只要游离骨片具有活性,它能很快地和骨痛结合在一起。这与关节周围骨折的治疗要求不同,后者需解剖复位,绝对稳定的固定。髓内钉只具有相对稳定性,属手弹性固定的一种形式,而弹性固定可刺激骨痴的生长。闭合锁钉内固定由于采用间接复位,保留了骨折片的血供,骨痴生长快,并发症低,功能康复快,是微创手术的一个很好例子。
来源:《实用骨科学》
声明:此文内容及图片由供稿单位提供,仅供学习交流,不代表骨科在线观点。