
谣言误人
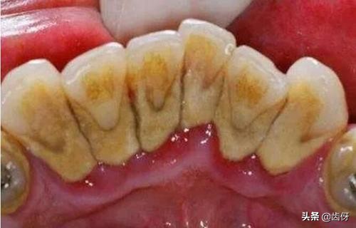
今天来讲讲我的洗牙之旅,之前一直被一些谣言误导了,以为洗牙伤害牙齿,就一直很害怕洗牙,小时候也不是很讲卫生,牙齿经常不刷,我的牙齿底部就能看见黄黄的,有一些还有点黑,我都不知道怎么办,网上查了才知道这原来是“牙结石”。
part.2
牙结石到底是什么?
牙结石是什么呢?牙结石又称牙石,通常存在于唾液腺开口处的牙齿表面。如下颚前牙的舌侧表面,上颚后牙的颊侧表面和牙齿的颈部,以及口腔黏膜运动不到的牙齿表面等处。牙结石开始是乳白色的软垢,会因逐渐的钙化而变硬。它是由75%的磷酸钙,15%~25%的水、有机物、磷酸锰、矿酸钙及微量的钾、钠、铁所构成。并呈现出黄色、棕色、或者黑色。



part.3
洗牙
我选择的是上海圣贝牙科,环境很好,感觉很干净舒心,我也比较放心,我去咨询的时候还觉得洗牙是个很大的事情,护士说这都算牙科里最常见的,不要害怕,我就去做了,我做的是超声波洁牙,医生会给我一套一次性用具,我打开,一个像围脖,我戴上就躺下了,我很紧张,医生安慰我,没想到过程基本没有什么感觉,医生让我漱口吐水,我就能看见一些结石和一点血,基本是不疼的,洁牙的过程是很快的,之后洁完牙我问了医生几个问题,相信也是很多人想知道的。


为什么洗牙会出血?
这是由于牙结石长期刺激牙周导致的牙周炎症出血,把牙石清除掉就会缓解了~
洗牙后感觉牙缝变大了
由于牙结石的累积,会将牙龈慢慢下压,导致牙龈萎缩,再加上大量牙石填满牙缝周围,因此清除后牙缝看起来好像变大了。
洗牙(深度)会痛吗?
这取决于牙周袋的深度和牙根是否平整。若牙周袋不是很深,在刮治过程中可能不会感到疼痛,只是偶尔会有一点不适感。若牙周袋较深的患者,牙医可能会在局部打麻药,让治疗的过程比较舒适。
怎么洗完牙感觉牙齿变松了?
洗牙前如果就有严重的牙周炎,牙槽骨吸收严重,高度已经降低到牙根暴露的水平,洗牙去掉了“糊”在牙根的牙结石,会自己觉得反而牙变松了。去除了牙结石,但是迎来了牙槽骨的恢复,怎么看都是赚的
这次的洗牙经历让我消除了对洗牙的误解,洗牙就是清洁牙齿,是对牙齿健康有帮助的,洗牙对牙齿的好处
1⃣️定期洗牙可以预防龋齿。
️2⃣️防治牙周病!(牙菌斑牙结石的堆积会引起牙周炎,还会导致牙齿松动,牙龈出血红肿等)
3⃣️清新口气!洗牙可清除嵌塞的食物和堆积的牙结石,使口气更清晰。
️⚠️洗牙是不可以美白牙齿的!
基础的洗牙只是超声波洁牙,洗牙以后再进行牙齿抛光,效果就是去掉牙结石和菌斑而已,并不能达到美白牙齿的效果。