
作者丨李勇 苏州市立医院呼吸科
本文为作者授权医脉通发布,未经授权请勿转载。
简要病史
男性55岁,既往体健,因发热咳嗽3天入院。患者3天前出现发热,热峰40度,伴干咳、胸闷、乏力与反应模糊、小便*禁失**。患者1周前到外地出差,前天回本地。
入院查体:体温36.0度,血压90/60mmHg(去甲0.41 μg/kg/min维持)神志不清,气管插管机械通气中,左肺呼吸音低,无啰音。心率90次/分,齐,无杂音,下肢无浮肿。
➤血常规示:白细胞计数4.05*109/L,N% 85.4%↑,淋巴细胞计数0.38*109/L↓,CRP>220mg/L↑,PCT 14.99ng/ml↑;➤血生化:AST 283 U/L↑,ALT 91 U/L↑,LDH>2150 U/L↑,Cr 295 μmol/L↑,Na+132.7 mmol/L↓;➤血气:PH 7.37,PaO256 mmol/L(FiO2 60%)↓,PaCO256 mmol/L↑;
➤新冠核酸(-);
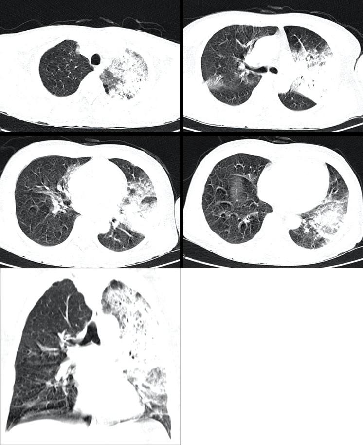
➤头颅CT未见明显异常,胸部CT如下:

诊治思路
CAP治疗之初,虽然已经采取了痰培养、血培养、肺炎支原体抗体等检查,但病原学检测报告有延后性,应及时经验性的抗感染治疗。
CAP经验性抗感染没有一个是万能的通用方案,轻症选择头孢/青霉素类+阿奇霉素/喹诺酮类,重症碳青霉烯类+万古霉素肯定不适用于每个CAP患者,经验性抗感染治疗不等于公式化,更不等于任意大包围(特殊级抗生素全覆盖),没有一个万能的、最佳的、通用的抗感染方案适合全部CAP患者,我们需要结合临床实际个体化考量。
目前认为根据治疗场所分类,CAP最常见的病原微生物依次为:

回到本病例,患者呼吸衰竭气管插管机械通气,血流动力学不稳定需要血管活*药性**物支持,符合重症肺炎诊断,推测病原微生物为肺链、金葡、军团、G-菌、流感嗜血杆菌,目前美罗培南+利奈唑胺已经覆盖肺链、金葡、G-菌、流感嗜血杆菌。 但治疗3天仍有发热,氧合情况并无改善,考虑到目前抗生素并不能覆盖不典型病原体,特别是军团菌,且患者存在军团菌感染的高危因素:男性,有旅行史;有军团菌肺炎的临床特点:早期神志改变,迅速进展为重症肺炎,轻度低钠血症(Na+132.7mmol/L),肝肾功能不全,左肺大片渗出实变等。于是加用莫西沙星覆盖不典型病原体(肺炎支原体、衣原体与军团菌)。期间严密观察病情,并等待病原微生物报告。
入院后查肺泡灌洗液(BALF)涂片、培养、GM、Xpert(-),病人仍在发热,氧合无改善,当时一筹莫展。入院第5天,BALF的NGS报告出来了:

果然是军团菌肺炎!而唾液乳杆菌系口腔正常菌群,致病力弱,考虑为污染,一般不考虑致病菌。
军团菌肺炎的特点
军团菌是G-需氧杆菌,人类军团菌病80%-90%是由嗜肺军团菌引起,以血清型1最为常见。军团菌可在淡水和人工水源中发现,吸入被军团菌污染的气溶胶可引起军团菌肺炎。
住院CAP中军团菌肺炎占1%-5%,在发达国家年发病率为20-80例/百万人口。死亡率15%-60%。
老年、吸烟与免疫抑制是高危因素。军团菌肺炎的主要临床表现为发热伴脉搏短拙,肌痛、干咳、肺部症状少、腹泻、神志改变、低钠、低磷与肝酶升高等,但这些症状体征可不典型。军团菌肺炎通常比较严重,需要入住ICU,如果CAP严重需要入住ICU,或CAP急性实变对β内酰胺类(青霉素类、头孢与碳青霉烯类)治疗无反应时更需高度怀疑军团菌肺炎。
军团菌肺炎的影像学特点:
➤早期通常为单侧下叶渗出;
➤迅速进展到多叶;
➤胸腔积液常见。
有日本学者研究了38例军团菌肺炎的影像学特征,归纳其CT特征为:
➤单侧/双侧的单独/多灶性实变与GGO(磨玻璃影);
➤支气管血管束周围边界清晰的实变病灶与磨玻璃样阴影混杂是军团菌最常见的CT表现之一。
仅凭症状体征与影像学表现不足以诊断军团菌肺炎,还需要实验室检查(表1)。

莫西沙星为什么不起作用?要联合么?
目前军团菌肺炎诊断明确,莫西沙星已经覆盖军团菌,但是患者仍有发热,氧合并无明显好转,氧浓度40%-60%时脉氧90%左右,不具备撤机条件,下一步怎么办?
有效治疗军团菌肺炎的抗生素主要是三大类:喹诺酮类(左氧氟沙星、莫西沙星等)、大环内酯类(阿奇霉素等)与四环素类(多西环素),有军团菌对喹诺酮类耐药的报道,对于危重症患者可考虑联合抗菌治疗,如喹诺酮类+阿奇霉素。
但是药物毒性也要考虑,特别是联合治疗时,患者多次心电图已经有QT间期轻度延长,而喹诺酮类与阿奇霉素都有QT间期延长的不良反应风险(QT 间期延长是一种不规则的心脏电生理活动,可能导致室性心律失常,如致死性的尖端扭转性室速)。所以喹诺酮类联合阿奇霉素的方案只能否决。遂采用莫西沙星+多西环素的方案,多西环素 100mg q12h PO,首剂加倍,危重患者的口服药生物利用度是个问题,但本院无静脉制剂。
后续
初始莫西沙星抗军团菌治疗效果并不明显,遂联合多西环素,体温缓慢下降,氧合逐步好转,于入院第12脱机拔管,莫西与多西疗程14天,入院第21天患者出院。
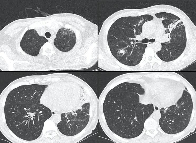
出院前复查CT明显吸收好转(如下)。

小结
1. 军团菌肺炎非传染性,由吸入含有军团菌的气溶胶引起,高危因素为慢性肺部疾病、吸烟、老年人、有旅行史、应用免疫*制剂抑**等;
2. 主要表现为发热、干咳、腹泻、神志改变、低钠与肝酶升高等,常表现为呼衰、休克需入住ICU,死亡率较高;
3. 影像学表现早期通常为单侧下叶渗出,可迅速进展到多叶;
4. 尿抗原检测可早期快速诊断,NGS敏感性特异性较高,可用于早期诊断,是比较有希望的检测手段,但价格比较昂贵;
5. 大环内酯类、喹诺酮类与四环素类治疗有效;
6. 重症肺炎进展迅速,对β内酰胺类初始治疗无反应者应考虑到军团菌肺炎的可能性,应早期经验性覆盖。
参考文献
1. Mandell LA, Wunderink RG, Anzueto A, etal. Infectious Diseases Society of America/American Thoracic Society consensusguidelines on the management of community-acquired pneumonia in adults. ClinInfect Dis. 2007;44 Suppl 2(Suppl 2):S27‐S72.
2. Sakai F, Tokuda H, Goto H, et al.Computed tomographic features of Legionella pneumophila pneumonia in 38 cases.J Comput Assist Tomogr. 2007;31(1):125‐131.
3. 中华医学会呼吸病学分会. 中国成人社区获得性肺炎诊断与治疗指南2016版. 中华结核和呼吸杂志2016年4月第39卷第4期.
4. Mandell, Douglas and Bennett`sPrinciples and Practive of Infectious Diseases. 9e.