什么是牙周炎?
牙周炎主要是由局部因素引起的牙周支持组织的慢性炎症。如果牙龈炎没有及时治疗,炎症可由牙龈向深层扩散到牙周膜、牙槽骨和牙骨质而发展为牙周炎。

牙周炎早期多没用明显症状,因此易被忽视。等到发现时,已经比较严重,甚至必须拔牙。因此,为了预防牙周炎,春天牙科牙医再次给大家普及下牙周炎的相关知识。
导致牙周炎的原因?
01
菌斑
粘附于牙齿表面的微生物群,一般的洁牙和漱口水冲洗,不能去除。
02
牙结石
牙结石是指沉积在牙面上的矿化的菌斑,根据其沉积部位和性质分为龈上牙结石和龈下牙结石两种。
(1)龈上牙结石
位于龈缘以上的牙面上,肉眼可直接看到。在牙颈部沉积较多,特别是在大涎腺导管开口相对处,如上颌磨牙的颊侧和下颌前牙的舌侧沉积更多。龈上牙石中无机盐的主要来源是唾液中的钙、磷等矿物盐。

(2)龈下牙结石
位于龈缘以下、龈袋或牙周袋内的根面上,肉眼不能直视,必须去医院检查,方能知其沉积部位和沉积量。龈下牙石中无机盐的主要来源是龈沟液。 牙石对牙周组织的危害,主要是构成了菌斑附着和细菌滋生的良好环境。
03
创伤性咬合
在咬合时,若咬合力过大或方向异常,超越了牙周组织所能承受的合力,致使牙周组织发生损伤的咬合,称为创伤性咬合。创伤性咬合包括咬合时的早接触、牙合干扰、夜间磨牙等。
04
其他
包括食物嵌塞、不良修复体、口呼吸等因素也促使牙周组织的炎症发生。
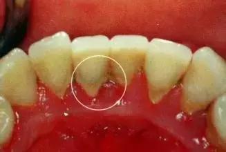
牙周炎的相关症状
早期症状不明显,患者通常只有继发性的牙龈出血或口臭表现,与龈炎症状相似。检查可见龈缘、龈乳头和附着龈的肿胀、质松软,呈深红色或暗红色,探诊易出血。随着炎症的进一步扩散,出现下列症状:
01
牙周袋形成
由于炎症的扩展,牙周膜被破坏,牙槽骨逐渐吸收,牙龈与牙根分离,使龈沟加深而形成牙周袋。可用探针测牙周袋深度。

02
牙周溢脓
牙周袋壁有溃疡及炎症性肉芽组织形成,袋内有脓性分泌物存留,故轻按牙龈,可见溢脓。并常有口臭。
03
牙齿松动
由于牙周组织被破坏,特别是牙槽骨吸收加重时,支持牙齿力量不足,出现牙齿松动、移位等现象。患者常感咬合无力、钝痛,牙龈出血和口臭加重。
机体抵抗力降低、牙周袋渗液引流不畅时,可形成牙周脓肿,是牙周炎发展到晚期出现牙周袋的一个常见伴发症状。

此时牙龈呈卵圆形突起,发红肿胀,表面光亮;牙齿松动度增加,有叩痛;患者伴有局部剧烈跳痛。同时,患者可有体温升高、全身不适,颌下淋巴结肿大、压痛等症状。
牙周炎怎么治疗
一.检查
X线检查有牙槽骨的水平型吸收。严重时出现牙齿松动和咬合关系紊乱。
二.治疗
A.局部治疗
1.针对局部刺激因素
可作龈上洁治术或龈下刮治术,必要时调整咬合、消除食物嵌塞和纠正不良修复体等。

2.牙周袋处理
牙周袋溢脓时,可用1%~3%过氧化氢液冲洗,袋内置10%碘合剂或螺旋霉素、灭滴灵等药膜。较深的牙周袋需作牙周手术,以消除牙周炎。牙周袋深达根尖、牙齿松动明显时,可考虑拔除。
3.牙齿松动固定
牙齿仍松动者,可作暂时性或永久性的牙周夹板以固定松动的牙齿。
4.牙周脓肿的处理
脓肿已局限时,可切开引流。牙周袋也应同时作冲洗、上药膜或碘甘油等。
B.全身治疗
增强自身顶抗力,积极治疗牙周炎相关系统性疾病。发生牙周脓肿时,全身反应较重的患者,应口服有关抗菌药物。
牙周炎如何预防
1.增强自身顶抗力,减少全身性疾病,从而增强牙周组织的抗病能力;
2.保持口腔清洁卫生,杜绝对牙周组织不良的坏习惯(抽烟、喝酒、单侧咀嚼等);
3.定期做口腔检查,及时预防和治疗。
其实,牙周炎本身不可怕,可怕的是你不重视。如果能做到定期进行口腔检查,那么就可以及时发现牙周问题,并且采取相对的治疗措施,将牙周炎扼杀在摇篮里。
