脖子变粗的老人
因为疫情,诊室里的病人少了许多。这个周三的下午,诊室里来了一个老人,是家里人带过来的。
刚开始的时候,老人就说自己最近感觉脖子粗了,想过来看看。
她抬起头,脖子左侧喉结的下方明显有些凸起,我让她吞了一下口水,这凸起的地方也上下活动。第一印象就是甲状腺结节,而且不小。摸了一下,感觉气管好像已经偏到了一边去了,基本就肯定了。
于是我问她有没有做过什么检查特别是甲状腺的超声检查什么的,她的家属代答说没有做过什么超声检查,但是呢因为经常咳嗽肺炎这两年到医院看了好几次了。
反复发作的肺炎
因为影像资料可以保存一段时间,我于是打开了她的检查列表。感谢她对我院的信任,短短两年时间就因为肺炎到医院的急诊科7-8次了,基本上一个季度一次。
不是胸片就是胸部CT,基本上都是显示有肺炎。
老人说我也不抽烟的,肺也看过了,没有什么。但是就是不知道为什么这两年经常肺炎的。
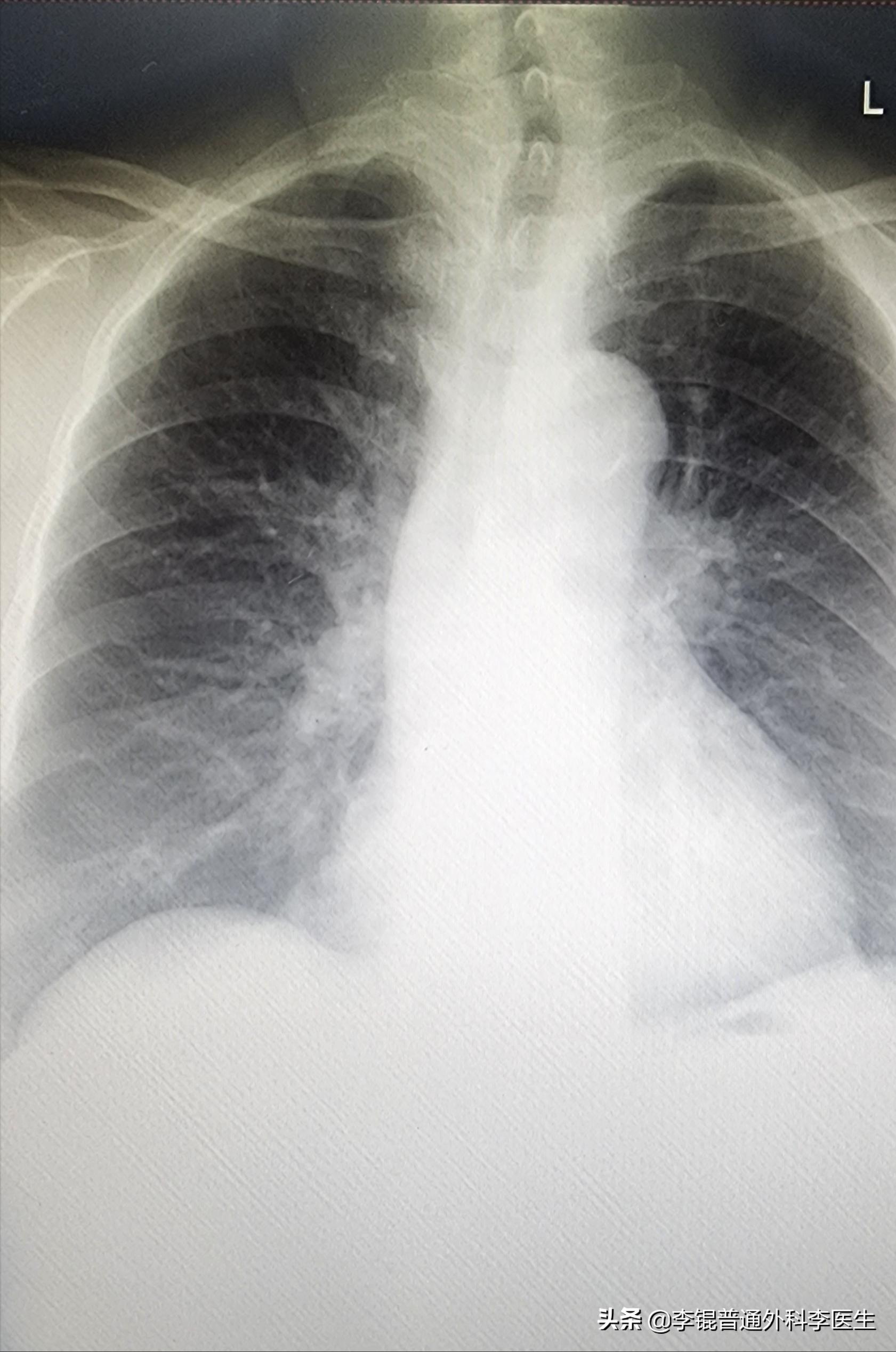
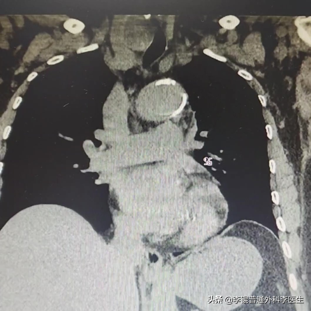
打开了第一张的胸片,一看她的气管形态,我似乎就明白了她为什么会出现这种情况了。
原来在胸片上本来应该差不多是一条直线的大气管在颈部形成了一个明显的S型,并且已经开始变窄了。

接连看了不同时间的CT检查,这个情况对比看起来会有个一个明显的加重。在CT上一侧的甲状腺有一个明显增大的结节并将气管挤到了一边。


你还是要考虑手术,我给了她建议,老人不是很愿意,家属也想知道为什么?
我给他做了一个比喻,气管像是大路,咳嗽时的痰像是路上的车一样。
开车的坐车的都知道,直直的路肯定比弯弯的路开得顺畅。平时车不多,路直一点歪一点都无所谓,但是一旦车多了,这弯曲的一截路可能就会造成交通大堵塞。
痰出去得慢了,可能就会感染,导致肺炎了。可能就是对气管反复刺激,导致咳嗽加剧。
我跟着说到,老人这种情况不是一天两天了,也不是一年两年的,而是几十年的了,为什么这几年才出现这样的情况呢。
年纪大了,身体的抵抗力差了,身体衰弱了,这种情况下痰会增加,而咳嗽的气力也不比之前的大。种种因素作用之下,老人就很容易出现反复肺炎,经常看急诊的情况了。
常言说病来如山倒,但是这倒之前往往有很多没有被忽视的情况。这些情况全部凑在一起就病来如山倒了。如果在这之前,把一个个因素解决,也许就不会病来如山倒了。
像这个老人的情况,及时的手术是很有必要的。因为反复的肺炎发作会导致肺和气管受损,很可能在新的不可知的因素的增加基础上,会导致病情急剧的加重。这个情况,可能是老年人常见的糖尿病、高血压、或者潜在的冠心病等等。
但是老人很明显对手术有抗拒。
做手术还是好事吗?
作为外科医生来说,现在大部分的手术都是极其安全的,随着技术的进步,很多情况下手术造成的并发症都很少。
手术很多时候可以做到只去除该去除的,可以很好的做到功能保护,最大限度的保留原有的功能。甲状腺手术因为它的位置独特,手术后基本上一两天就可以基本恢复。
这种情况下,整个手术过程基本上是可控的,针对这个手术的整个治疗过程是比较明确的。
甲状腺肿物切除了,颈部的气管通畅了,肺炎的发作就少了很多。也就不需要每年好几次跑医院的急诊,费用减少的同时重要的是让家人放心让家人没有必要跟着反复往医院跑。
但是我的解释显然没有让老人下定决心手术,她还是希望可以找到一个不开刀的方法。
这种想法就是我不能解决的了,因为就我的知识,目前是不可能的。
最后,只能衷心希望她不会被忽悠去吃神药就可以了。
最后的话
这种情况其实很多老人都会出现,因为甲状腺疾病很常见,良性的甲状腺疾病可能十几年甚至几十年才出现症状,经过几十年的生长之后,甲状腺结节往往都很大了,对气管造成压迫,这时候由于气管被压了,痰就不容易咳出,积在肺里,细菌感染了就成了肺炎了。
这时候,往往需要进行手术治疗,切除肿大的甲状腺腺体和结节来缓解气管受到的压迫,让变形或者受压的气管通畅。
因此老人家如果经常肺炎发作,如果肺部检查气管检查没有特别的话,那么就需要注意有没有甲状腺的问题
(此处已添加医疗卡片,请到*今条头日**客户端查看)