街上穿插在车流中的人们,工作如同衣服一样被他们穿了换换了穿,衣服穿多了重的累。
餐馆里饥肠辘辘的人们,狼吞虎咽或细嚼慢咽,食物的味道很好,从包里掏出钱付给老板。
其实,没人想到自己的那些朋友吧,他们为你切碎食物,他们日复一日也很累,你也没有给他们健康和安全,不论是不知的意外还是他们自己的离开,已为时已晚。小编就告诉大家牙缺失的补救办法。

1可摘局部义齿修复
此类修复体是牙列缺失修复最常用的方法,是利用天然牙和基托覆盖粘膜及骨组织作支持,依靠义齿的固位体和基托的固位作用,人工牙恢复缺失牙的形态和功能,并用基托材料恢复缺损的牙槽嵴及软组织形态,患者可自行摘戴的一种修复体。
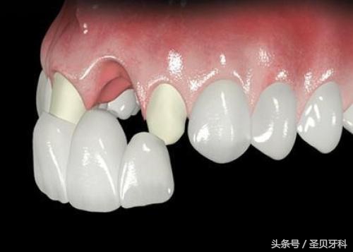
2固定义齿修复
此类修复体是利用缺牙间隙两端或一端天然牙作基牙,在基牙上制作义齿的固位体,并与人工牙连接为一个整体,通过粘固剂将义齿粘固在基牙上,患者不能自行取下。缺失牙的合力主要通过桥基牙传递至牙周支持组织,能充分恢复因缺牙而丧失的部分咀嚼功能,无异物感,不影响舌的功能活动。
3、金属烤瓷全冠
以铸造合金为基,表面覆盖树脂材料的一类修复体,它的性能与烤瓷熔附金属固定桥的性能也相似,但光泽度比烤瓷冠要稍差些,价格也略低,现正在逐步广泛地被应用于临床。

4、多牙缺失的牙齿种植方法
种植牙是缺牙修复的好选择,如果您的骨质条件允许,可以缺多少颗牙就种多少颗牙,也可以只种几颗人工牙根作桥基,采用种植固定桥,避免磨除健康牙来作固定桥或活动义齿修复带来的不舒适性、欠美观性和低咀嚼效率等问题。
5、用种植义齿即先种植人工牙根,再在人工牙根的基础上制作义齿即种植义齿,治疗各种类型的牙齿缺失,以及将种植技术用于解决义眼(假眼睛)、义鼻(假鼻子)、义耳(假耳朵)等假体的固位问题。
6、用固定桥即人工制作的固定假牙如铸瓷桥、烤瓷桥、金属桥等治疗轻度的牙列缺损、或缺失几个天然牙、牙齿色彩异常、牙齿形态异常和修复牙体缺损。
7、用可摘局部牙齿如隐形义齿、塑料牙钢丝卡环义齿、复色硬质树脂牙铸造托义齿,烤瓷牙精品铸托义齿,附着体义齿等治疗严重的牙列缺缺如缺牙后仅残留几个天然牙。
8、用全口牙齿如复色硬质树脂牙塑料托全口牙齿、复色硬质树脂牙铸造金属托全口牙齿等治疗全口牙全部缺失。