患者外伤后3日,43牙三度松动,唇倾,因担心保守治疗无效,要求种植修复。
治疗计划
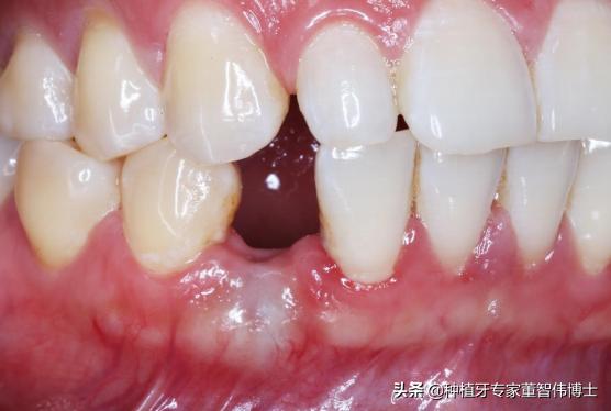
1、 43牙拔除后即刻种植+GBR
2 、6月后种植2期手术
3 、2周后取模
4、 ASC基台+NobelProcera冠修复

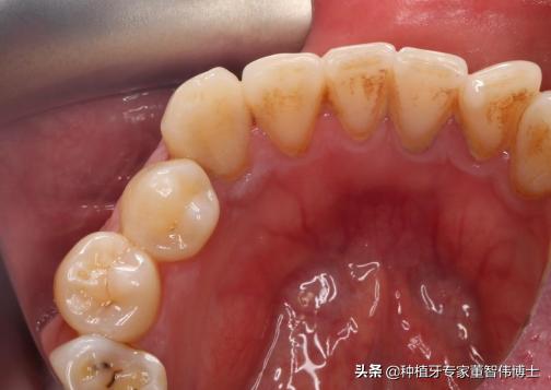
术前

术前

术前

口内照-术后6月

2期手术

取模

ASC基台+Procera冠
患者外伤后3日,43牙三度松动,唇倾,因担心保守治疗无效,要求种植修复。
治疗计划
1、 43牙拔除后即刻种植+GBR
2 、6月后种植2期手术
3 、2周后取模
4、 ASC基台+NobelProcera冠修复

术前

术前

术前

口内照-术后6月

2期手术

取模

ASC基台+Procera冠