
5月24日,离再次接受食道扩张手术过去了一天,6岁的琳琳(化名)坐在病床上玩着手机游戏,不时拉着爸爸李中贵的手撒娇:“想喝牛奶”。李中贵安慰她,要问过医生才知道能不能喝。

2014年,琳琳因误食强碱,导致咽喉和食道严重烧伤,连水都无法吞咽,一直靠从胃部接出来的管子灌流食艰难生存。(成都商报曾报道:谁能解救3岁女童的悲哀:看你们吃饭好香 可惜我连口水都咽不下)2016年,在成都商报(四川名医)的帮助下,琳琳在成都市妇女儿童中心医院接受了移植结肠代替食道的手术,终于在受伤两年多后,重新吃下了第一口饭。
但因为经济困难,李中贵没能带琳琳回医院复查和定期接受食道扩张治疗,今年4月,琳琳再次出现了吞咽困难、呛咳的情况。医生发现,琳琳食道挛缩非常严重,最狭窄处甚至不到2毫米,各种扩张所用导管都无法置入。儿外科、介入科等科室的医生进行了两次手术,想尽办法、反复尝试,才终于成功地对食道进行了第一次扩张,达到4毫米左右。
4年前误食强碱 结肠代替再造食道
术后经济困难未及时复诊
2014年7月4日中午,李中贵下夜班后在休息,仅3岁的琳琳爬上了桌子,误食了李中贵放在桌上的、用于泡发水产品的强碱原液,导致咽喉、食道严重烧伤。从那一天起,琳琳就无法通过食道进食,而是在胃部造瘘,通过一根管子,每天灌进打成糊糊的食物,艰难为生。那时候,琳琳连吞口水都是奢望,吃一颗糖都只能含在嘴巴里几秒钟,尝尝味道,然后吐掉。
2016年,李中贵求助成都商报(四川名医),连线全国各地的医生,在成都市妇女儿童中心医院,医生用结肠替代,为琳琳再造了食道,琳琳终于再次用嘴巴吃到食物。但手术后,琳琳没有能够遵照医嘱,按时回医院接受食道扩张治疗。

原来,李中贵是金堂人,带着女儿、母亲租住在成都龙泉驿区一处简陋的农民房,平时在附近的家禽市场打些宰杀家禽水产的零工为生,月收入只有2000多元。给琳琳做完手术后,每次的扩张治疗需要五六千元,因为凑不到治疗费用,李中贵只带着琳琳做了半年的复诊,此后的一年半时间,都没有再坚持治疗。
食管挛缩进食通道不到2毫米
第一次尝试胃镜下探条扩张失败
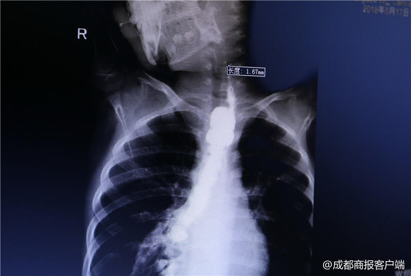
今年4月初,李中贵发现琳琳吃饭的速度越来越慢,而且容易被呛到,于是,李中贵带着琳琳又一次来到成都市妇女儿童中心医院,做了一次检查,发现食道狭窄。5月,琳琳被收治入院。“在门诊做了一个造影,发现食道有狭窄,最窄的地方只有1.8毫米。”琳琳的主治医生、儿外一病区仲铀医生介绍说,琳琳的情况不容轻视。

入院后,儿外科医生尝试在胃镜辅助下,为琳琳进行食道扩张治疗,但是,第一次尝试失败了。

“我们用的最小的导丝都有3毫米,但是食道最狭窄的地方只有1.8毫米。”仲铀介绍说,只能给琳琳用药,缓解水肿情况和食道上的瘢痕,同时联系了介入科,希望介入科更细微的导管能起到作用。

第二次尝试医生差点就放弃
巧用新生儿胃管辅助终成功
5月23日下午,琳琳又一次被推进了手术室,成都市妇女儿童中心医院介入科主任赵虎,为琳琳做导丝引导下食道球囊扩张术,从下午4点一直进行到晚上7点。
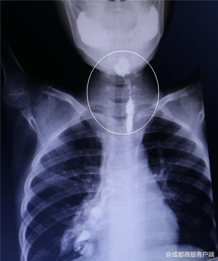
“挛缩的部位在第4颈椎和第7颈椎位置之间,大约有5厘米长。”赵虎介绍说,检查结果发现,琳琳结肠再造的食道挛缩严重,进食通道十分狭窄,最窄的位置只有1.8毫米。
“我们的扩张球囊,常规的是直径2.5毫米。”赵虎说,世界上最细的食道扩张球囊都有2毫米,但是因为是实心的,很硬,无法进入狭窄的食道。反复地尝试发现,常规的扩张设备无法成功,赵虎想起了婴儿用的胃管,“先试了8号胃管,直径还是有2.6毫米。”赵虎又找来了用于新生儿治疗的6号胃管,直径为2毫米,但因为胃管比较柔软,适应性比较强。
赵虎尝试着,用介入科最细的、仅有0.9号的泥鳅导丝,在影像引导下,探入了狭窄的食道,进入胃部,“只有导丝进去了,没有用,不能完成扩张。”赵虎说,随后,他又将新生儿胃管通过导丝引导,慢慢地放进了食道,抵达胃部。
但是,末端为圆头的球囊又是实心、不可拆卸的,不能像柔软的胃管一样“揉进去”,赵虎耐心地,用球囊一点一点地尝试着往里送。“胃管是软的,在食道里形成了褶皱,有弧度,有的地方就过不去。”赵虎说,差不多用了一个多小时,球囊从第4颈椎的位置进入到了第5颈椎。“真的是做得很艰难,想过放弃。”赵虎说,但是一想到,如果放弃,这个孩子很可能就会死于饥饿,孩子还那么小。
随后,赵虎又尝试着先剪掉了胃管的前端部分,然后又拔出了剩余的胃管,慢慢地将最狭窄处扩张到了3毫米多,成功扩张了!手术室里的医护人员顿时开心了起来,太不容易了!
“然后停了一下,不能太多。”赵虎说,太用力,可能会导致食道破裂。将设备取出10分钟后,赵虎再一次尝试扩张,成功将狭窄的食道扩张到了4毫米左右。“如果要进食顺利,七八毫米是比较合适的。”赵虎介绍说,现在,琳琳的食道因为扩张还有些水肿,但可以进食,两三周后,会再次进行扩张治疗,连续扩张两三次。晚上7点,琳琳被推回了病房。

24日下午4点,成都商报记者在病房里见到了琳琳,做完手术后的她精神尚好,捧着手机玩游戏,因为最喜欢吃冰激凌,连游戏都喜欢有冰激凌的。已经6岁多的琳琳有着长长的睫毛,曾经的短发长了,编成了可爱的辫子。因为营养问题,琳琳比同龄人要瘦小一些。“刚住院的时候只有38斤,现在有40斤了。”李中贵说。见到陌生人有些害羞,琳琳黏着爸爸,已经禁食两天了,想要喝牛奶。

成都商报客户端记者 于遵素 摄影 王红强
编辑 杨渝彤