概述
新生儿缺氧缺血性脑病( HIE)是指在围产期窒息而导致脑的缺氧缺血性损害,临床上出现一系列脑病表现。部分病人可有不同程度神经系统后遗症。本症不仅严重威胁着新生儿的生命,并且是引起病残儿中最常见的病因之一。
HIE的主要病理改变
HIE的主要病理改变由于解剖、血管分布特点而有早产儿及足月儿的区别。
一、早产儿
1、侧脑室旁室管膜下出血——可发展为室管膜下-脑室出血
2、脑室周围白质软化——可发展为孔洞脑
二、足月儿
1、皮质及皮质下白质的坏死、液化
2、边缘区(分水岭)梗塞
3、基底节改变,呈现大理石样纹状体(为过度髓鞘化、脱髓鞘变化)
4、合并颅内出血:以蛛网膜下腔出血及脑实质出血多见
临床诊断四条标准
1、有明确的可导致胎儿宫内窘迫的异常产科病史或分娩过程中有明显窒息史
2、出生时有重度窒息史,指Apgar评分1min≤3分,并持续至5min时仍≤5分
3、出生后不久出现神经系统症状(意识、肌张力、原始反射异常,脑干征,前囟张力增高),并持续至24h以上
4、排除电解质紊乱、颅内出血和产伤等原因引起的抽搐,以及宫内感染、遗传代谢性疾病和其他先天性疾病所引起的脑损伤
必须同时具备以上四条者才能确诊
影像学检查的目的
1.明确HIE病变的部位和范围
2.确定是否合并颅内出血和出血类型
3.进行动态系列检查评估预后
由于生后病变继续进展,不同病程阶段影像检查所见不同:通常生后3天内以脑水肿为主,也可检查有无颅内出血;生后4-10天检查脑实质缺氧缺血性损害及脑室内出血;3-4周后检查仍有病变存在,与预后关系密切。
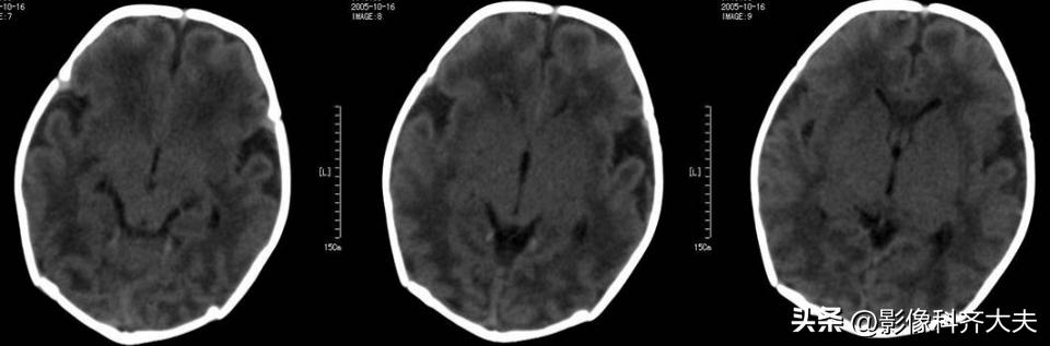
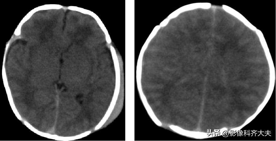
HIE的CT表现
1、测定脑实质的CT值,正常足月儿脑白质CT值在20Hu以上,≤18Hu为低密度
2、脑水肿时呈双侧大脑半球呈弥漫性低密度伴脑室变窄
3、基底核和丘脑损伤时呈双侧对称性高密度影
4、脑梗死表现为相应供血区呈低密度



CT诊断HIE的价值
1、CT能识别严重选择性神经元坏死中的弥漫皮质损害、基底节和丘脑损害、脑室周围白质软化及局灶和多灶性缺血脑坏死
2、CT在识别矢状旁区脑损害及静脉梗塞中也有一定的价值
3、在评价弥漫性皮质神经元损害时,CT最明显显影的时间是在重症窒息后数周(一般在生后3-4周)
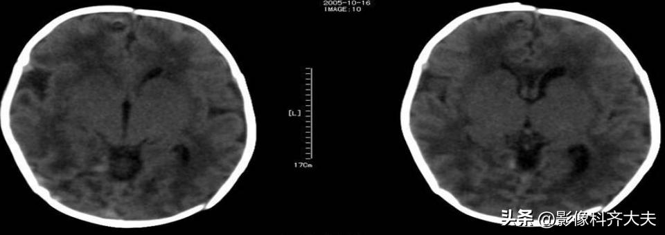
CT分度
1、轻度:散在局灶低密度影分布2个脑叶内。
2、中度:低密度影超过2个脑叶,白质灰质对比模糊。
3、重度:弥漫性低密度影,灰质白质界限消失,但基底节、小脑尚有正常密度。
注:中、重度常伴有颅内出血。






CT诊断HIE存在的问题
一、足月儿CT诊断正常,但是临床诊断HIE

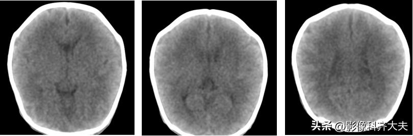
二、早产儿脑白质低密度并非HIE
早产儿脑内含水量高、脑髓质化不全、缺乏髓鞘形成,所以早产儿脑白质低密度是一个正常发育过程,而非脑水肿脑损害表现。


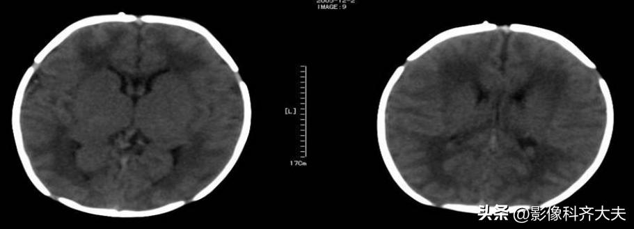
对于以下正常新生儿颅内高密度,CT容易误诊为出血
(1)正常新生儿横窦和乙状窦可呈条状密度增高影,易误为枕部硬膜下血肿或蛛网膜下腔出血。

(2)正常新生儿,直窦及纵裂池区CT可表现为线状略高密度区。当蛛血时,此区密度增高,宽度增加,且宽窄不一,可呈前宽后窄或前窄后宽及不规则形。其宽度≥5mm,可确诊为新生儿蛛血。


(3)正常新生儿的上矢状窦区CT表现为三角形高密度,密度均匀、边缘锐利,且无张力。新生儿蛛血时,此区边缘欠规整及张力升高,且其中心区可呈略低密度改变,是由于此区有新鲜出血与局部静脉窦有密度差值所致——空三角征。此为诊断该区蛛血的重要征象。

围产期缺氧引起的颅内出血主要与三方面原因有关
血管通透性增高红细胞渗出;
脑组织缺氧坏死;
静脉高压致血管破裂出血。
早期诊断HIE颅内出血的必要性
围产期窒息缺氧所致的颅内出血是目前围产儿死亡及幸存者远期致残的主要原因。国内报道围产期新生儿颅内出血尸检检出率为34.1%,构成同期围产儿死亡的第三位主要死因。
由于产科技术的改进,目前由产伤引起的颅内出血发生比例已有明显下降,缺氧性颅内出血发生比例开始上升。