近期,南方医院创伤骨科骨与软组织肿瘤亚专业组历经八小时,成功完成了一例高难度的骨肉瘤保肢手术,患者顺利出院了。
案例介绍
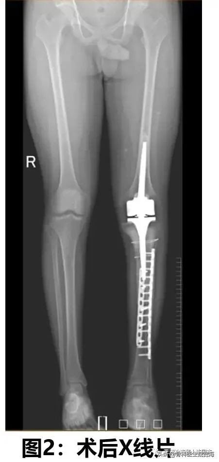
患者是一名19岁的大男孩。左腿痛到南方医院骨科看病时,X光显示肿瘤已经累及了左侧胫骨超过一半的长度。尤其特别困难的是,胫骨的关节面也受累了,这在骨肉瘤中是不多见的。这种情况下,截肢是一种常规的选择。但是患者本人和妈妈都希望尽全力不截肢。经过和家属的充分沟通,医生制定了新辅助化疗+手术+术后化疗的标准治疗方案。 术前两周期新辅助化疗后,经过一周的精心准备,在南方医院创伤骨科余斌主任的亲自指导下,骨肿瘤亚专业组按计划实施了“左胫骨骨肉瘤瘤段切除+液氮冷冻灭活+瘤段回植+肿瘤型膝关节假体置换+胫骨内外侧双钢板内固定术”。手术经历了八个小时的连续奋战,顺利完成。术后20天,患者顺利出院。将进入下一步的综合治疗。


关于骨肉瘤
【什么是骨肉瘤】 骨肉瘤俗称“骨癌”,是高发于发育期青少年的一种恶性肿瘤,严重威胁青少年的生命,往往给家庭带来了毁灭性的伤害。 【骨肉瘤怎么治】 经典的骨肉瘤治疗方案,包括术前化疗、手术、术后化疗等措施。能一定程度延长患者生命,但是5年生存率目前徘徊在60%左右,对于青少年而言是远远不够的。我们在现有的国际通用治疗技术基础上,创新性地结合氩氦刀冷冻消融治疗骨肉瘤,给骨肉瘤患者带来了新的希望。 自体瘤段骨液氮灭活回植是将瘤段截下来,经过一系列专业处理后,在膝关节表面进行置换,最后在原位钢板内固定瘤段。这项技术在医学界已经有了超过60年的应用历史,具有无排斥性、骨诱导性、强度好、重塑快、费用低等优势,国际骨肿瘤界知名的日本金泽大学医院在近20年里采用这项技术获得了非常优良的疗效,但目前在国内应用较少,经验不足。 【术前除了化疗还能采取什么措施】 目前国际上针对骨肉瘤的经典治疗方案,包括术前化疗(新辅助化疗)、手术、术后化疗。术前化疗大约需要二个月的时间,如果术前化疗疗效不佳,肿瘤的恶性程度就会进展,患者可能不得不接受截肢手术,全身转移的风险也同样增高了。 在术前化疗期,可以通过经皮穿刺(微创)冷冻消融的方法,对骨肉瘤瘤体进行早期的灭活,即能有效局部杀灭肿瘤,同时降低全身转移的风险。
南方医院骨科骨肿瘤亚专业组
南方医院创伤骨科骨肿瘤亚专业组在冷冻消融治疗骨与软组织肿瘤领域,经过十余年的不懈努力和不断探索,逐步开创了国内领先的微创消融治疗骨与软组织肿瘤的技术特色。这个病例综合应用了骨科的多项技术,有望让患者在肿瘤治疗和肢体功能上都得到最大的受益。