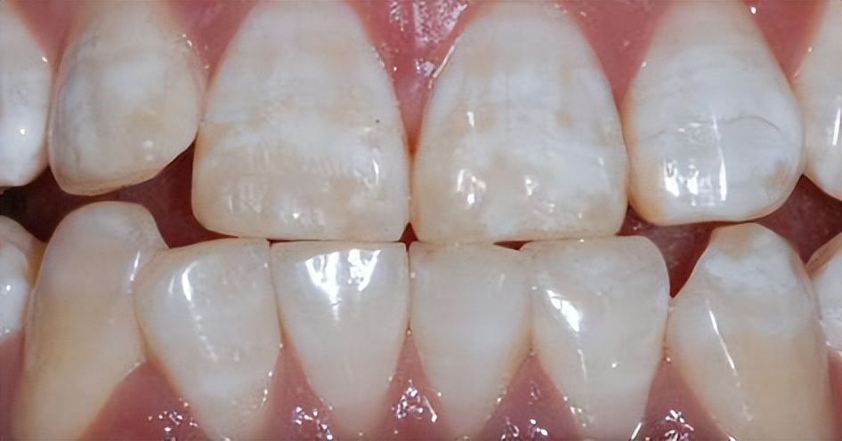
牙齿钙化主要是牙釉质发育不良的因素所引起。
口腔里面的牙釉质受到损害之后,很可能就会导致牙齿发生明显钙化,通常和牙齿发育期间,有机物和无机物组成有密切关系,可能就会导致牙齿健康状况产生很大的影响,需要尽快到医疗机构口腔科做详细的检查,要及时了解牙周的健康状况,以防止牙齿的健康状况产生异常,以免对牙齿的整体健康状况产生很大的影响,很可能还会影响牙釉质的健康。

在治疗期间需要做好口腔清洁以及护理工作,减少口腔受到不良刺激,以免导致口腔里面的组织有感染的风险。对口腔健康状况以及口腔整体恢复产生很大的影响。在治疗期间要养成早晚都要刷牙的好习惯,饮食方面要吃清淡容易消化的食品,千万不要吃辛辣油腻刺激的食物。
牙齿钙化可以通过饮食的方法来调理,必要的时候还需要在医生的指导下通过超声波洗牙或者是根管治疗的方式来治疗。
1、饮食主要是在日常生活中多吃一些含钙量高以及维生素高的食物,比如鸡蛋以及牛奶,吃过之后能够补充体内所需的营养成分,对于症状恢复能够起到一定的帮助作用。

2、超声波洗牙主要是利用了超声波所产生的振动频率,能够作用于牙齿的表面,清除牙齿上的菌斑以及色泽,同时还能够去除牙结石,改善钙化的症状。
3、如果牙齿钙化的症状比较严重,还需要通过根管治疗的方式治疗,需要将牙髓腔打开,然后将钙化以及坏死的牙髓清洗干净,从而达到治疗的目的,防止长时间没有得到治疗,很可能会出现牙齿疼痛。
恢复期间最好选择软毛的牙刷来刷牙,能够让牙齿变得更加的干净,也不会产生刺激。
