
在肿瘤的诊治历史中,外科手术在相当长的时间内都独挑大梁,要想彻底治愈肿瘤,一“切”了之才有可能。但是手术对人体的创伤比较大、恢复较慢,对患者身体机能和肿瘤分期都有严格要求,很多人一经发现肿瘤,就失去了手术的时机。那么,有没有一种办法,能够让更多的人,以更小的创伤和代价获得治愈肿瘤的可能呢?随着医学技术的发展,射频消融治疗(RFA)就提供了一种新的选择。

射频消融通过插入肿瘤内部的射频针和贴于体表的电极形成回路,射频针产生射频波,使射频针周围的极性离子做往返运动,这种往返运动、摩擦产生热量,导致局部温度升高,并进而杀灭肿瘤。而射频针杆有独特的冷水循环降温,保证只有针尖部产生高温消融,可谓陷肿瘤与“水深火热”之中。
案例分享一

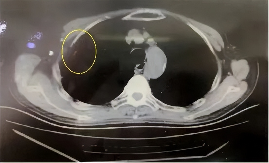
患者右上肺小肺癌,本身年龄大、身体情况差,拒绝手术治疗。

CT引导下射频针插入右上肺癌,高温消融灭活肿瘤。

半年后复查,肺癌灭活基本吸收消失。
案例分享二

结肠癌肝转移患者,在腹腔镜下行结肠癌根治术,同时行肝部肿物的射频消融(肉眼可见肝脏病灶消融后的变化)。

肿瘤射频消融治疗只需要局部麻醉,皮肤伤口只有一个针眼,创伤和并发症比较少,耐受度好,术后就能活动、进食,恢复也很快。适用于肝癌、肺癌、肾癌、淋巴结转移癌、甲状腺结节、乳腺结节、肝血管瘤等,对那些年老体弱、不能手术或者不愿接受手术的病人来说,是一个良好的治疗选择。