
一、检查时机
CNS发育贯穿于整个妊娠过程中,全面正确理解在不同的发育阶段胎儿颅脑和脊柱的发育特点、超声检查与图像显示才有可能正确评估颅脑和脊柱的发育。在整个妊娠过程中的每一次检查都必须对胎儿结构进行观察、评价,以期发现可能的发育和结构异常。为减少CNS发育异常的临床处理对孕妇生理和心理的影响,国内外均建议尽可能在20孕周以前对胎儿CNS发育的评估。
严重的NTDs有可能在孕11~13+6周超声检查发现异常,但获得理想的显示多在孕14~16周,多数诊断在20孕周左右完成。
在NTDs中,无脑儿的产前诊断率最高,并且有69.6%可以在早期妊娠中获得诊断;脑膨出的诊断率是57.7%,脊柱裂的诊断率是81.0%;无脑儿获得诊断的时间平均在14孕周,脑膨出是16.2孕周,脊柱裂是20.9孕周。
不同原因的脑积水发生的时间差距很大,超声检查时机与NTDs有明显的不同。13~21孕周以前显示的脑室扩张占24%,22+1~27+6孕周占27%,28+1~40孕周占49%。
二、超声检查作用
超声检查是产前诊断CNS异常的主要检查方法,以目前的仪器显示技术和产前诊断水平,产前超声检查可以显示约92.8%的中枢神经系统异常和68%~94%的NTDs。因此,对于所有的孕妇在中期妊娠都要进行常规超声检查(Ⅱ级检查),对于高风险孕妇、需要排除先天性异常的胎儿要在18~20孕周前完成系统产前超声检查(Ⅲ级检查),甚至是针对性产前超声检查(Ⅳ级检查)。检查过程中需要显示颅骨和颅骨的完整性、大小、形态、颅内的结构以及脊柱的形态、连续性、完整性,此外还要注意CNS以外的结构有无异常。
影响CNS畸形超声检查显示的因素包括畸形的部位、范围、孕龄、羊水、胎儿在宫腔内的位置以及孕妇肥胖等。
三、超声检查方法
在能够达到穿透要求的前提下尽可能地使用高频率的声波可以获得良好的空间分辨率。TAU检查使用3~5MHz的声波检查可以获得满意的图像;早期的神经系统检查多需要TVU检查,声波频率为5~10MHz。二维灰阶显像是产前超声检查的基础;三维超声检查可以更直观地显示胎儿颅脑的空间结构,有助于显示胎儿异常结构的相互关系;谐波成像有利于显示不同结构的回声细节,多普勒检查可以识别颅内血管,并对颅内血管的血流动力学变化进行评估。
(一)TVU
TVU可以避开孕妇腹部气体的影响,使用更高频率的声波并且在胚胎/胎儿更近的距离获取更清晰的声像图,对显示胚胎/胎儿头颅结构更为有利。
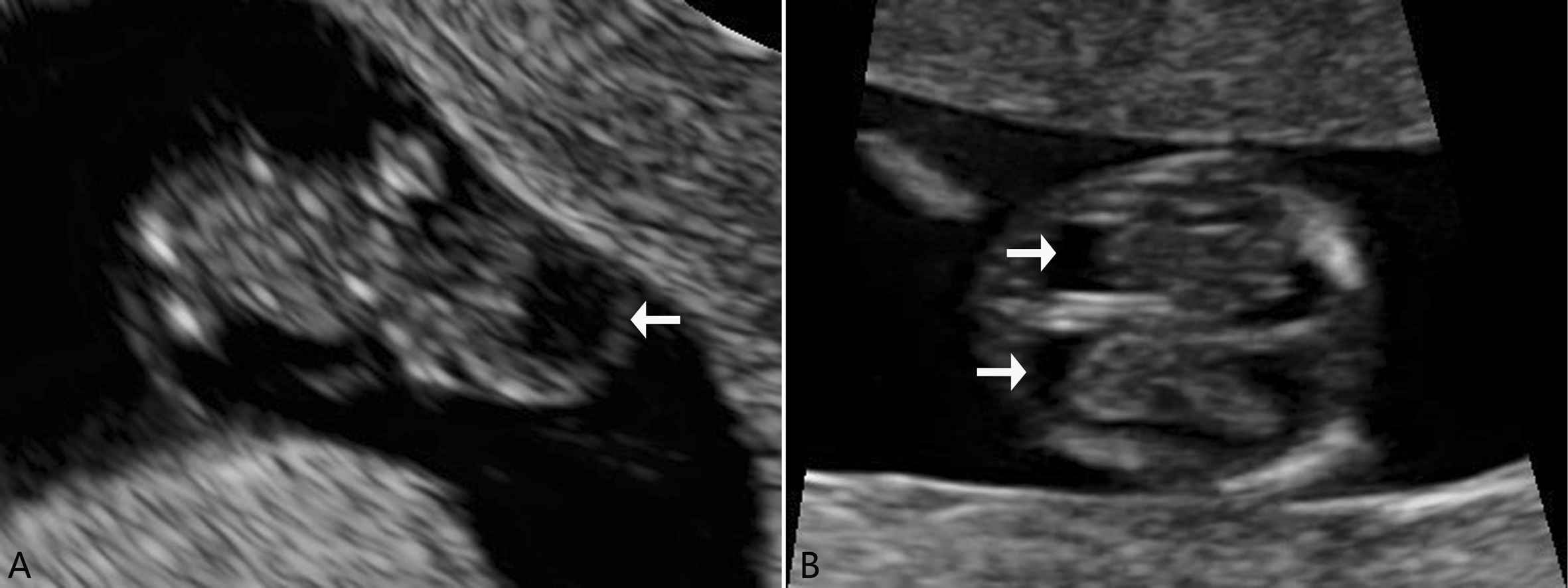
停经后第6周TVU可显示胎儿极性,第7孕周、在胚胎7~8mm时胚胎头端可见脑泡回声,第7周可分辨后脑,间脑及双侧大脑半球;第8周可显示腔室;第9~10周可显示胚胎头端矢状面和冠状面,显示中脑、后脑、脉络膜芽、端脑和脑室;11~12周可显示对称性侧脑室及其内部强回声的脉络丛(图1)。中期妊娠以后,胎儿的各部分结构发育越来越完善,但颅骨越来越厚,骨化的进展影响了声波的穿透,颅内脑组织结构的显示受到了影响,TAU发挥的作用越来越明显。

图1 7周妊娠胎头的脑泡回声(A)及11周妊娠的脉络丛强回声(B)
(二)TAU
常规检查时除容易显示胎头横切面外,还要注意显示胎头冠状切面及矢状切面。头先露胎儿TVU以3D-US可以作为2D-US的补充,显示二维超声难以获取或不能直接获取的切面。
矢状面追踪扫查是胎儿脊柱检查的基本方法。整个脊柱平行的强回声由椎体和椎弓的骨化中心形成,在椎管内可以显示脊髓回声。横切面检查时采用连续平行扫查办法,胸椎及腰椎显示为典型的三角形结构,三个骨化中心环绕神经管周围;第一颈椎呈四边形,骶椎呈扁平状。正常的脊柱显示为骨化中心位置正常、脊柱表面覆盖的皮肤完整、平行的强回声带及椎管连续一致。
四、正常胎儿中枢神经系统超声表现
(一)11~13+6周胎儿
早孕期超声筛查阶段,超声切面及观察的主要内容如下。
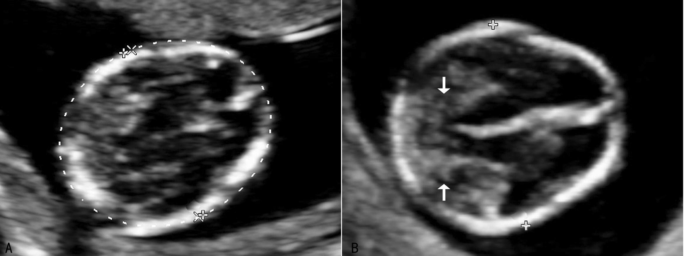
1.头颅横断面 显示完整的颅骨形态,头颅呈椭圆形,脑中线清晰可见,双侧脑半球对称,看似增宽的双侧侧脑室(图2A),内充满高回声的脉络膜。向颅底方向倾斜探头,可以看到小脑半球(图2B)。

图2 早孕期胎头声像图(箭头之间为小脑)
2.头颅正中矢状切 显示面部轮廓:鼻骨,额头,下颌,颅内可以看到第三脑室,呈高回声等号形态的第四脑室。
(二)中孕期超声筛查图像
中孕期是检查胎儿颅内结构畸形的关键阶段。实时超声扫查是最重要的手法,在实时操作时,最好能获取各种切面,以避免某些常用切面无法显示的畸形。
最常用的是头颅横切面,大多数超声可以显示的畸形在头颅横切面都有相应的表现,也是在产前超声中最容易获得的切面。
(三)正常脊柱的超声图像
超声显像检查时需要观察矢状切面、横切面和冠状切面(图3,4)。矢状切面显示椎体及一侧椎弓的骨化中心呈现两条串珠状的平行线,在骶尾部收拢合并,因为一个切面只能显示一侧的椎弓,需动态扫描使两侧椎弓都能显示;[f2] 横切面的扫查需要耐心仔细从颈椎到骶尾部依次进行,不同的椎体超声表现不同,第一颈椎呈四边形或圆钝的三角形(图3A),其他呈现等腰三角形,尖端为椎体,指向胎儿腹侧(图3B,图4C、D)。冠状切面,声束靠近皮肤显示两排平行的骨化中心,是双侧椎弓,声束再向胎儿腹侧扫查,可显示一排椎体(图5),透明三维显示可以直观地显示胎儿脊柱的空间结构和形态(图6)。扫查时要注意覆盖在脊柱上的皮肤的完整性,以免遗漏微小的脊柱裂或者隐形脊柱裂,隐形脊柱裂有时仅表现为皮肤鼓起的小泡状无回声。

图3 颈椎的横断面(A)及胸椎横断面(B)

图4 腰椎横断面(C)及骶椎横断面(D)

图5 脊柱冠状切面声像图(箭头示髂骨翼,1为椎弓,2为椎体)

图6 脊柱三维显示
五、CNS超声检查分析
(一)头颅大小及形态
头颅大小形态异常主要包括小头、大头、短头、长头、三叶草形头颅、草莓形头颅、柠檬头等。
1.大小异常 头围小于同孕龄测值第5百分位时为头颅过小,或称为小头,引起胎儿发育受阻的任何情况都可以导致小头畸形;头颅小也可能是颅内感染、染色体畸形、颅内结构畸形、脑膨出等异常情况的标志。头围大于同孕龄测值第95百分位时为头颅过大,或称为大头,需要注意可能与染色体三倍体畸形和某些侏儒如软骨发育不全有关。脑内组织异常发育亦可引起头颅增大,如脑积水、脑肿瘤等。
头颅测值超出同孕龄范围时要注意全面检查胎儿,头部测值与胎儿其他部位发育一致、比例正常则可排除单纯的头颅发育异常。
2.形态异常 常见的头型异常是长头和短头形态异常。根据BPD/OFD(头颅指数,CI)可以评价长头和短头形态异常。
正常CI参考范围为76%~81%,大于81%时胎头为异常圆形,形成短头;小于76%时胎头为异常椭圆,形成长头。短头畸形或长头畸形反映了胎儿头部形态的异常,并不一定影响胎头内部脑组织的发育和功能,不能单纯以头型作为胎儿畸形的诊断依据,但头型异常时BPD测量将出现较大的误差,影响胎儿发育和胎龄预测。
除长头、短头形态异常外,还可见到三叶草形头颅、草莓形头颅和柠檬形头颅等,可能与NTDs、染色体异常、非整倍体等有关。
(二)颅内结构异常
颅骨或颅内结构异常是CNS发育异常的直接征象。应当注意异常的部位和程度,确定畸形的类型。常见的结构异常见于以下几种。
1.中线异常 常见中线异常可显示为中线的偏移、中断、不显示及中线区域的异常回声,呈对称性或非对称性,超声显像检查BPD与孕龄不符,颅内多显示对称性异常,透明隔腔、第三脑室、第四脑室、丘脑、小脑及小脑蚓部等显示不清。主要见于胼胝体发育不全、前脑无裂畸形、蛛网膜囊肿、Galen静脉异常、Dandy-Walker畸形等。
2.实质异常 可以是对称性异常或非对称性异常,显示为局限性实性异常回声、局限性异常无回声或脑实质回声异常。常见的包括无脑畸形、露脑畸形、前脑无裂畸形、脑穿通畸形、无脑回畸形、脑裂畸形、先天性感染、脑内出血、脑内肿瘤等。
3.脑室异常 包括脑室扩大、脑室内回声异常、脑室不显示等,可以是对称性或非对称性。常见于单纯脑室扩大(对称或不对称)、前脑无裂畸形、胼胝体发育不全、无脑畸形、先天性感染、脑穿通畸形、脉络丛囊肿、脑室出血等。
4.颅后窝回声异常 正常颅后窝池内径不超过10mm。局部的异常见于颅后窝池消失、颅后窝池增大、颅后窝处回声异常等。常见的畸形包括Arnold-Chiari畸形、Dandy-Walker畸形、小脑发育不良、神经管缺损等。颅后窝池消失常伴随小脑的“香蕉”征是脊柱裂和Arnold-Chiari畸形的超声特征。
(三)脊柱异常
脊柱异常可表现为脊柱侧弯、曲度异常、椎体异常及NTDs等。常见的畸形包括脊柱裂、脊膜(脊髓)膨出、椎体发育不良、半椎体等。