病历描述:溶栓治疗对脑梗塞患者可以疏通梗塞血管,明显改善神经功能。而溶栓治疗“时间窗”的概念早已写入教科书,但是实践证明对不幸错过“时间窗”的患者采取溶栓治疗,仍可部分获益。
病例1:
患者,女性, 70 岁
主诉:右侧肢体无力、言语不清2小时。
既往史:有“脑梗塞”病史,无功能障碍,mRS 1,有高血压史、高血脂和房颤史,无糖尿病。
入院查体:NIHSS评分 :19分 ASPECT评分:13分,MCA供血区:9分 血压:176/94mmHg 体重:60KG右侧中枢性面瘫,右上肢肌力Ⅳ级,右下肢肌力Ⅰ级,右侧巴氏征阳性。
辅助检查:
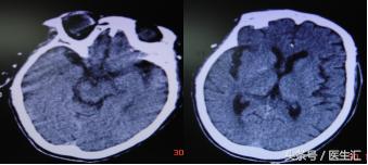
溶栓前头颅CT(见图1)

专家判读:左侧内囊区可见低密度影。两侧大脑半球及岛叶未见明显水肿低密度或者脑出血的高信号。
入院诊断:脑梗塞
治疗经过:r-tPA 50mg,溶栓过程中出现对侧偏瘫,CT排除脑出血后r-tPA 用到足量。
2小时血压130/75mmHg,2小时NIHSS评分:24分,24小时NIHSS评分:5分
7天NHISS评分:3分(见图2),BI指数:60,mRS:1分。

入院次日17时心悸,胸闷,HR140次/分,EKG快速房颤,V7-9QR型,(见图3)肌钙蛋白13.36ng/ml,急性下壁心肌梗塞,转心内科

心内科冠脉造影:(见图4、5)

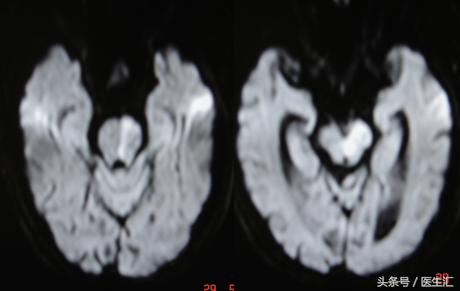
头颅MRI和MRA(图6)

专家判读:桥脑右侧半球后部,丘脑后部为实际梗死灶。大脑后动脉,一侧椎动脉显影不清。
随访:90天BI:95分,mRS:2。(生活自理,无需帮助可独立行走)
最终诊断:
1脑梗塞(责任血管:椎动脉)
2冠心病,急性下壁心肌梗塞
3高血压病2级,极高危
病例2:
患者 ,女性, 76 岁
主诉:突然昏迷3小时。
现病史:患者下午三点多在公交车上突然昏迷,半小时后送到附近区医院;16时30分接会诊通知,会诊期间家属强烈要求转入我院,18时30分到我院神经内科。薇 xin:vzb0066
既往史:高血压、冠心病史8年。
体格检查:NIHSS评分:24分 患者浅昏迷,双眼左凝视,呼吸深粗,右侧偏瘫,双下肢病理征阳性
初步诊断:脑出血
辅助检查:入院当日18:45头颅CT(见图7)

治疗经过:家属同意rtPA溶栓,19时开始rtPA50mg静脉注射2小时后意识转为嗜睡,右侧肢体肌力二级,NIHSS评分19分次日NIHSS评分6分7日NIHSS评分2分(见图8)

MRI示:左丘脑、左枕叶、小脑蚓部、桥脑急性脑梗塞(见图9)

EKG:心房纤颤、左室肥大
心彩超:高心病
颈彩超:双侧颈动脉粥样硬化,左椎动脉闭塞可能
出院诊断:
脑梗塞
椎动脉重度狭窄
颈动脉粥样硬化伴局部狭窄
高血压心脏病、心律失常
吸入性细菌性肺炎
随访:BI指数:95分mRS:1分
病例3:患者,女性,56岁
主诉:头晕跌倒伤及头部及牙齿6个多小时。
现病史:上午8时在家跌倒,撞伤右侧头部和牙齿,头晕目眩,言语不清,左侧肢体麻木,2小时后左侧肢体完全不能动,下午14:15到达我院急诊。
既往史:糖尿病史4年,控制可,无高血压病病史
个人史:无特殊
家族史:无特殊
体格检查:BP143/93mmHg NIHSS评分11分 生命体征平稳,右侧头顶4×4cm2血肿,口腔内有活动性出血发音不清,呛咳,舌左偏,左侧肢体肌力Ⅱ级,右侧Ⅴ级,左下肢Babinski征阳性,Chaddock征阳性,感觉检查不合作。
辅助检查:1、16:26CT检查平扫和灌注成像均未见明显异常(见图10、11)


2、头颅MRI、MRA及脑血管三维重建(图12、13、14)



初步诊断:脑梗塞
治疗经过:
16:55分开始用rtPA 50mg溶栓,一小时内结束。(时间窗约9小时)治疗过程中绷带加压包扎头部血肿,凝血酶粉溶液清洗口腔。无明显不适,活动性出血未加重。
疗效:NIHSS评分变化趋势(见图15)。

溶栓后头颅MRI(见图16、17)


最后诊断:脑梗塞(右侧桥脑),左侧肢体偏瘫,糖尿病2型
随访:见图18

病例4:
男性, 75 岁
主诉:昏迷不醒5小时。
现病史:外地度假,晨6时左右室友发现叫不醒,烦躁不安,小便*禁失**,当天上午11时送回我院
既往史:高血压、糖尿病病史。
查体:T36.4℃,P84次/分,R20次/分,BP182/84mmHg,NHISS评分24分 浅昏迷,左侧瞳孔直径4mm,光反射消失,左侧中枢性面瘫,右侧肢体肌力0级,双下肢病理征阳性。
辅助检查:急诊头颅MRI(见图19)

初步诊断:基底动脉尖综合征
治疗经过:
DSA:BA与LVA交界处斑块影,BA远端不显影,从VA缓慢注入rtPA35mg,复查BA、PCA再通(见图20)。但NIHSS评分改善不显著。

最后诊断:
脑梗塞(右侧小脑、左侧丘脑、中脑、桥脑)
基底动脉血栓形成
吸入性细菌性肺炎
高血压病3级,极高危
糖尿病2型
更多病例可到医学V直播(医生汇)观看。