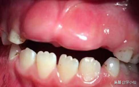
“医生,我女儿门牙都掉了一年了,还没长出来,这可怎么办咯?”小美的妈妈焦急地问。 7岁的小美的上门牙去年就掉了,但是该换出来的恒牙像害羞的小姑娘,犹抱琵琶半遮面,近在咫尺,却又迟迟不露面。

恒牙^_^犹抱琵琶半遮面图
她妈妈一聊,发现小美从小不爱咀嚼食物,不爱自己啃苹果、玉米类的食物,最喜欢的是蛋糕、棉花糖这样软软糯糯的东西,水果都是妈妈榨成汁才吃。

医生告诉她们,这个地方本来要长出来的牙齿叫恒牙,在乳牙硬一点东西,对前牙区没有“功能性刺激”,所以恒牙都不肯长出来了。
“啊!那该怎么办啊?不会以后都没有牙了吧?”小美妈妈一问,小美一听就吓哭了。
“现在可以做助萌手术,解决这个问题呢。”
“啊!手术!?是不是很痛!?”小美妈妈急切一问,小美哭得更厉害了。
“不会呢,可以用激光’融化’牙龈,让牙齿有出口可以长出来,擦点麻药不会痛,也不会出血呢。”小美听到不痛又不出血,就乖乖得接受“激光助萌术”了。
10分钟后,小美一看到自己的隐隐若现的前门牙,高兴地说:“医生阿姨,真的一点都不疼呢~”
几天后来复诊,小美白白的大门牙就已经“势如破竹”迫不及待长出来了啦。“医生阿姨,我以后会好好自己啃东西的,我要好好保护自己的牙齿。”
小美笑着露出漂亮的牙齿,她再也不用担心没有前门牙,只能捂着嘴笑啦~
见证奇迹的时刻:

图1
图1: 激光助萌术后,创口小,没有出血图

图2
图2:术后第二天,恒牙萌出

图3
图3:术后第七天,恒牙白白哒