现代快报讯(通讯员 薛理丹 记者 花宇)近日,家住南通市通州区的陈阿姨因右眼眼球日益突出,伴随视力急剧下降。不放心的她来到医院就诊。经过检查,医生发现该患者眼眶内长出了一个鸡蛋大小的肿块,与大脑仅相隔一层薄薄的软组织,并压迫视神经,情况十分危急。最终,医生通过微创手术,成功“拆弹”,陈阿姨的视力逐渐恢复。

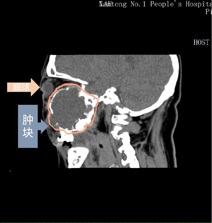
△患者CT图像
现代快报记者了解到,陈阿姨来到南通市第一人民医院眼科,医生经检查发现陈阿姨右眼眼球高度突出,比左眼高出了7mm,视力仅为0.06,半米外的事物基本已经无法辨清,右眼球向外上方固定无法活动。副主任医师蔡骐立即将陈阿姨收治入院,并第一时间汇报该院眼科主任、主任医师王勇。

△患者磁共振图像
根据陈阿姨的眼部CT和磁共振检查,王勇发现该患者右眶、鼻腔内肿块达5厘米*5.2厘米(相当于鸡蛋大小),右眼球已被挤到外上方,肿块向上已经压迫吸收前颅底骨质,与大脑仅仅相隔一层薄薄的软组织,并且向后压迫视神经。
“医生,请您一定要保住我的眼睛。”陈阿姨拉着医生的手语气迫切。在医院医务处的组织下,王勇迅速召集耳鼻咽喉科、神经外科、医学影像科、口腔科开展多学科诊疗(MDT)。然而患者的情况也让在场的专家都倒吸了一口凉气,肿瘤巨大,所处位置凶险,且已压迫神经。
这是一场硬战!专家们纷纷从各自的学科角度、结合最新的指南提出科学缜密的诊疗意见,经过1个多小时激烈讨论,最终决定为陈阿姨采取目前最先进的鼻内窥镜微创手术。
王勇与耳鼻咽喉科副主任季超一同为患者进行手术。术中,切开囊壁看到内部大量黏液,快速冰冻提示未见明确恶性,手术团队耐心仔细地剥离肿物囊壁。两小时后,患者顺利回到病房。
术后第三天,陈阿姨的右眼矫正视力已恢复为0.6,右眼球突出明显改善,鼻腔入路切口也让她的面容丝毫未受到影响。
医生提醒广大市民,当出现眼球突出、无明显诱因下出现视力减退、眼球运动障碍、远视、散光、眼睑或结膜充血水肿、结膜透见紫蓝色等症状时,需要及时就医。有上述症状并且影像学又证实是眶内肿瘤引起,选择手术切除均能得到较好的治疗效果。眼球突出、视力下降、眼球运动障碍或眼球移位症状均可以完全缓解。