导读
又到总结早餐病例时。早餐病例制度已经运行将近两个月,有越来越多的热心群友提供珍贵的病例,有专门的团队负责整理。不管是出题方,还是答题方,都有很多进步。坑越来越少,命中率越来越高,讨论的亮点频频出现。
今天我们回顾一下8月26日至8月30日这一星期的早餐病例吧。由于内容较多,本期内容分两次进行介绍,昨天介绍了本期内容的上半部分,今天继续介绍下半部分。
本次病例整理:李凯 (北京医院)
医脉通编辑整理,未经授权请勿转载
8月29日(病例提供: 张龙河南省人民医院,刘新建广东三九脑科医院,汪文胜广东三九脑科医院。 整理: 孟庆贵。 审校: 梁新明,申永国,黄波涛)
病例1
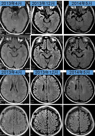
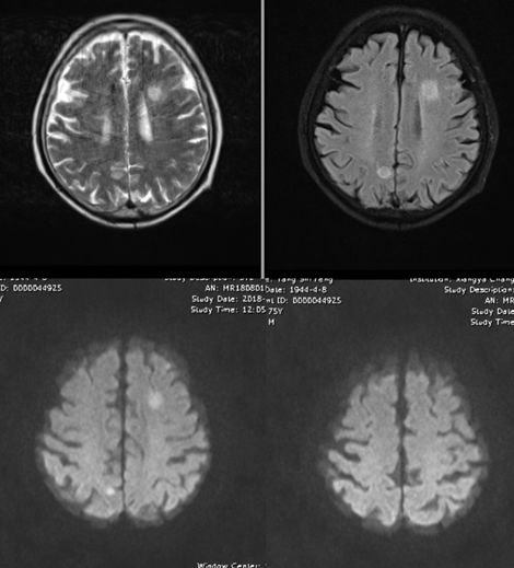
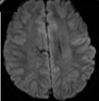
女患,15岁,主因双眼上翻,下颌阵挛2天来诊,伴发热,体温38-39度,发作性左侧上下肢、左侧口角强直-阵挛。入院查体:记忆力较前明显下降, 左侧肢体轻偏瘫(左上肢4+,左下肢5-)。

答案:Rasmussen脑炎
下面是刘新建老师和张龙老师的精彩解读:
2年后,行“右侧额叶病变切除+右前颞叶切除+皮层热灼术”,持续3个月无发作。随后再次发作,表现为:间断出现左上肢或左下肢强直-阵挛(每次数秒至十余秒)。1年后出现左侧面肌、左手指、左脚趾呈近持续性抖动,清醒期明显,睡眠中基本消失。
诊断依据:①右侧半球;多灶性,轻偏瘫,认知下降;②视频脑电图(VEEG):EPC,PET:右侧半球代谢减低;抗癫痫药物疗效差;③术后病理:脑组织小胶质细胞和T细胞浸润。
Rasmussen脑炎:为单侧性大脑半球受累为主的进展性疾病,常规抗癫痫药物治疗无效,局灶性发作为其主要特点,部分性癫痫持续状态(EPC)为其发作的主要表现形式,多伴有受累侧半球相关的运动和认知功能减退。RE主要的病理特点:局限于受累大脑半球的炎性疾病,以T细胞浸润、小胶质细胞增生、小胶质结节形成,以及随后出现的神经元脱失、星形细胞增生等为主要表现形式。MRI特点岛叶及岛叶周围出现轻度局灶性大脑皮质萎缩;同侧脑室扩大;大脑皮质和(或)皮层下T2和FLAIR像的高信号;尾状核头部信号增高或萎缩。在上述改变未发生之前可先出现一过性大脑皮质局部肿胀。
EPC定义:基于临床症状学的定义:EPC是自发的某个局限部位受累的规律或不规律的阵挛样肌肉抽搐;可能被感觉或动作刺激加重;持续时间至少1小时,最长间隙期不超过10秒钟。(1894-1895,Koshewnikow首次报道4例患者部分癫痫持续状态伴受累部位轻瘫。EPC不同于普通癫痫:无扩散趋势,通常不能自限。)
EPC症状学:典型临床症状为重复的肌阵挛伴偏瘫(或其他皮层性神经功能缺损,少见);受累肢体的发作形式单一,简单、短暂;肌肉抽搐规律或不规律;远端肌群比近端肌群更易受累;感觉刺激或精神紧张可增加肌肉抽搐的振幅和频率;上肢比下肢更易受累;睡眠中持续存在,可能程度减轻但并不停止;平均90次/分钟(1.5Hz);尚无文献报告哪一侧肢体更易受累。
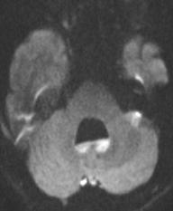
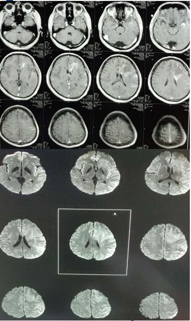
病例2
男, 41,头痛头晕3个月。

答案:结核性肉芽肿
又是非常丰富的影像学资料。乍一看又像是个大瘤子,鉴别脱髓鞘假瘤。
灌注成像,病灶这一块有高有低,像是病灶核心有点高灌注,水肿的地方低灌注。波谱也只能提示神经元受损,有一点脂质波,没有很强的特异性。DWI高,似乎支持淋巴瘤。没想到结果出来却是结核性肉芽肿。
复习一下脑结核性肉芽肿(也称结核瘤)的影像特点:
圆形或分叶样结节,CT呈等密度、稍高密度或混杂密度。核磁上T1等信号或低信号,T2新鲜病灶可呈稍高信号,老病灶常呈低信号。
中心干酪样坏死的信号变化取决于坏死物内水的含量及蛋白质、脂质浓度,可呈长T1、长 T2,等T1、长T2信号,等T1、短T2信号改变。
可有伴中至重度水肿。增强扫描可呈结节样或环形强化。CT上可表现为中心钙化、环以周围增强,称为靶征。
一般总感觉结核性肉芽肿似乎比较小,没想到也遇到这种长的比较大和其他肿瘤相似的。今后要注意鉴别。
病例3
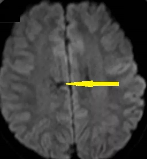
男患,12岁,发作性四肢无力,再发3天。主要表现:无明显诱因四肢无力,双下肢不能抬起,双上肢可抬起,但不能持物,持续约3小时后自行缓解,缓解期无不适。

答案: 静脉畸形(venous malformation),也称为脑发育性静脉畸形(cerebral developmental venous anomalies)

这个比较考眼力:DWI可见端倪, 箭头处为引流静脉。
不过这个疾病,上个星期刚刚学习过,所以大家比较熟悉,纷纷一针见血的猜中
脑发育性静脉畸形是最常见的脑血管畸形。常在CT、核磁检查时偶然发现。多数情况下为良性病程,个别情况下可伴临床症状,包括癫痫、局灶性神经功能障碍如运动感觉障碍、头痛、引起颅内出血相关症状等。可伴其他血管畸形,最常见的为海绵状血管瘤(12%-40%)。
典型征象:水母头征,由很多较细的髓静脉组成,这些髓静脉的血液汇入较粗的引流静脉。SWI和CT/MRI增强扫描尤为明显,其他核磁序列和CT平扫亦有可能显示。
不知道是不是前一天成功猜出梅毒尝到甜头,有的群友趁胜追击,第一个病例仍然押宝梅毒。可惜纷纷跳进了坑里。第二个,以前讨论的太少了。估计以后会想到的。第三个,上周刚刚学习过,准确率高的惊人。

8月30日(病例提供: 邱喜林湘雅常德医院神经内科。 整理: 李惠明。 审校: 梁新明,申永国,黄波涛)
病例4
77岁男性,发热2天,嗜睡1天。查体:嗜睡,呼之能应,不能回答问题,不能按指令完成相应动作,肌力肌张力不能配合。

答案:化脓性脑室炎
补充图片,DWI也证实T2、FLAIR上四脑室、侧脑室似有液平的地方,是积脓。

绿色无坑,充分体现一个临床病例的特点,急性起病,发烧,神经功能缺损。影像上脑室增大,T2、FLAIR上四脑室似有积脓,室管膜高信号。很多人都猜对了。
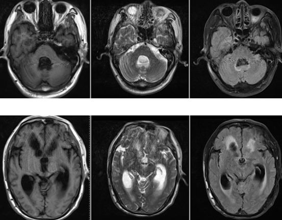
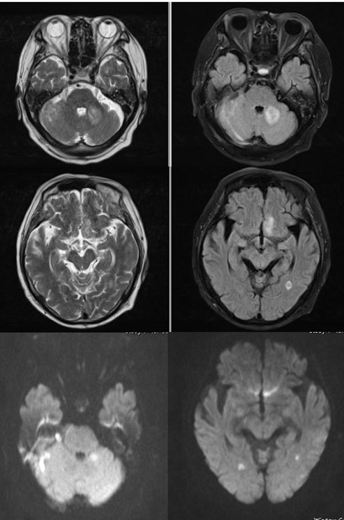
病例5
74岁男性发热、头痛伴食欲下降1月。

补充病史:既往有皮肌炎,长期服用激素。
答案:脑脓肿
也是发烧,病程稍长。但影像上比较典型,T2、FLAIR高信号的地方,DWI也是高信号,提示脓肿。如果配上增强扫描就更理想了。病史中一是发热,二是有免疫抑制的因素,也提示感染性疾病。
病例6
19岁,女性,头晕1年余。既往口吃,智力稍低下。查体:无明显阳性体征。

答案:Dandy-Walker畸形(变异型)
Dandy-Walker畸形典型三联征:小脑蚓部发育不良+四脑室囊样扩张+后颅窝扩大。
Dandy-Walker畸形可合并其他异常,70-90%可合并脑积水。
三联征不全,只有前两联,没有后颅窝扩大时,称为Dandy-Walker变异型。
该病例后颅窝扩张并不明显, 应该符合Dandy-Walker变异型。虽然到了周五,大家热情不减。有理有据的分析,不管是对是错,总是会有收获。

欢迎神经科、影像科同道入群一起学习,入群请加 微信 xijing029 。欢迎群友分享病例供大家早晨学习。提供病例请联系各群群主。
往期专栏文章回顾
☑ 通过两个病例,聊一聊神经梅毒
☑ 渗透性脱髓鞘综合征,你了解多少
☑ CADASIL、可逆性后部脑病综合征、脊髓硬膜动静脉瘘
☑ Cogan综合征、DNET、神经节细胞瘤、头痛
☑ 假性SAH、生殖细胞瘤、PRES、低血糖昏迷、MELAS、癫痫后脑改变
☑ MMA伴cblC型并发ICH、巨细胞病毒脑室脑炎、霉曲菌感染
☑ 嗜酸性粒细胞增多综合征、放射性脑病、锰中毒
☑ 肝豆状核变性、PRES、脑胶质瘤病、低颅压综合征(上&下篇)
☑ NBIA谱系病、阿米巴脑膜炎、惠普尔病丨3分钟读片· 周末特刊
☑ 脑实质转移瘤、PRES、颈动脉体瘤、肝豆状核变性丨3分钟读片· 第9期
☑ 神经梅毒、大脑中动脉闭塞、神经纤维瘤病丨3分钟读片· 第10期
☑ 急性脂肪栓塞、神经白塞病、NMOSD极后区综合征丨3分钟读片· 第11期
☑ 血管周围间隙扩大、CCALD、发育性静脉畸形、神经铁蛋白病丨3分钟读片· 第12期
☑ 急性坏死性脑病、脑腱黄瘤病、Labbe静脉血栓、亚急性联合变性丨3分钟读片· 第13期(上)
参考文献:
[1] Mediators Inflamm. 2015;2015:792578. ANE不错的综述,吉大一院张洪亮教授的大作.
[2] J Neurol Neurosurg Psychiatry. 2014Mar;85(3):257-65.Leigh综合征不错的综述.
[3] Journal of Neuroinflammation (2018) 15:134.
[4] American Journal of Neuroradiology March 2010, 31 (3) 559-564.
[5] Neuroradiology. 2013 Mar;55(4):379-88.
[6] Ann Neurol 2009;66:271–283.