随着胸部CT检查的普及以及设备的更新换代,许多以前不会被检查出来的肺小结节纷纷被检查出来。许多人因为某种原因行CT检查,都会看到报告上写着:肺结节。大多数非医学专业人士看到肺结节这三个字都无比紧张。心想:肺上有结节是不是就得了肺癌了?
那么肺结节究竟是什么?我们该怎么面对肺结节呢?
什么叫肺结节?
肺结节本身不是一种疾病,是一种影像学的表现。通俗的讲就是CT发现肺内有一个新生物,我们统称肺结节。如果这个肿块<3cm我们称之为肺结节,如果>3cm我们称之为肺肿块。
肺结节根据其密度不同可以分为:
1、纯磨玻璃结节(PGGN):在CT上看起来就像磨玻璃一样,有一定的模糊又有一定的透光度。
2、部分实性结节(PSN):其密度比磨玻璃结节稍高,但又比实性结节密度稍低。
3、实性结节(SD):密度明显升高,没有了透光度,看起来像石头一样。

从左至右分别为:PGGN、PSN、SD
怎么才能早期发现肺结节呢?
建议每年行胸部CT检查(胸片容易漏诊,不建议。我的其他文章里有解释),以便早发现、早诊断、早治疗。早期肺癌术后完全可以治愈,不影响寿命。

那么有肺结节就一定是肺癌吗?
肺上有结节完全不必惊慌,因为肺结节大部分是良性的。良性结节多为:炎性、结核性、肺部良性肿瘤、肺内淋巴结等。只有少数是恶性的。

发现肺结节怎么办?
如果能明确为良性结节,则不用特殊处理。如果能明确为恶性或高度怀疑恶性,则需要尽快手术治疗。如果暂时良恶性不能判断或者高度怀疑良性,建议随访。那么如果是恶性的,随访会不会导致癌症转移扩散?一般来讲不会,肿瘤从出现到长大到转移并不是一朝一夕的事情,往往需要几年甚至十几年的时间,短暂的随访时间并不会影响治疗效果。
总的来讲,肺结节的处理原则是:良性不担心、恶性早切除!良恶难分辨,随访是关键。

大多数肿瘤的发展是很慢的
那么我们该如何区分良恶性呢?
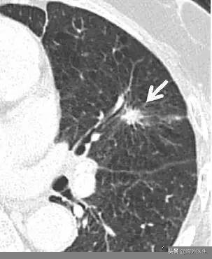
1、从CT上来讲,恶性的肺结节有这些特征:呈分叶状或不规则的形状、边缘有毛刺、周围胸膜凹陷。这些都是由于肺癌向各个方向的生长速度不均匀所引起的。这些表现在肺部良性肿瘤里面一般不出现,可以作为影像学诊断的依据。但是,CT检查由于是通过射线等手段去了解肺结节,只能给出倾向性的一个判断,有一定的误差。要想100%确定良恶性只有取活检行病理切片。这就像警察抓小偷一样,先通过监控等技术手段大规模的排查,找到可疑的嫌疑人(相当于CT),但找到嫌疑人并不能定罪,从理论上来讲仍有抓错的可能,只有通过最后的审问才能确定是否有罪(相当于病理切片)。

形态不规则,有分叶、毛刺、胸膜凹陷
2、如果胸部CT高度怀疑肺癌可能,可以取病理活检。
病例活检主要有以下方法:
(1)、肺穿刺活检。在CT引导下,先定位肺结节位置,然后用穿刺针刺入肺结节中,取出少许组织行病理活检。

(2)、纤支镜检查。通过口腔插入纤维支气管镜,沿着气管到达肺结节的位置,取出少许组织行病理活检。

但以上两种方法均有可能因肿瘤位置过深、过浅而无法取到组织,无法明确诊断。
(3)、手术取活检:适用于以上两种方法未取到活检,并且临床高度怀疑肺癌的患者。用微创技术取下活检后可立即明确诊断,如果证实为恶性,那么继续行肺癌手术,如果证实为良性,则手术结束。
哪些结节需要手术治疗?
1、CT高度怀疑肺癌的肺结节。
2、通过术前检查已经明确的肺癌。
3、通过随访,肺结节较前明显增大,或者实性成分变多。
4、患者自身焦虑明显,严重影响生活的。
肺癌必须手术吗?
随着科学的发展,肺癌已有许多治疗手段,比如:手术、放化疗、靶向治疗、免疫治疗。但到目前为止,只有手术有可能治愈肺癌。其余的方法只能起到延缓肿瘤发展的作用。
手术的方式有哪些?
随着胸腔镜技术的发展,大多数肺结节手术可以通过微创手术来治疗。只需在胸壁切开1-2个2cm的小孔即可完成手术。术后恢复快,痛苦小。

手术的效果怎么样?
手术的效果根据肿瘤的分期而定(不考虑肿瘤分期,只问手术效果都是耍流氓)。肿瘤的分期主要由T、N、M三个因素来决定。T代表肿瘤的大小,N代表淋巴结转移,M代表远处转移。这些都需要通过术后的病理活检来明确。总体来说,分期越早,效果越好。早期肺癌治愈率几乎达到100%,而中晚期肺癌治愈率只有30-50%,晚期肺癌治愈率几乎为0%。
手术后是否需要放化疗?
需要根据肿瘤分期决定。一般IA期肺癌术后不用化疗,IB期肺癌有高危因素(吸烟、家族史、病理分型恶性程度高)需化疗,II期以后的肺癌必须化疗。
每个肺癌病人都能靶向治疗或免疫治疗吗?
有的人可以用,有的人不能用。在靶向治疗及免疫治疗前需行基因检测,有基因突变的可以用靶向药,PD-L1或肿瘤突变高负荷的可以用免疫治疗。
总结:1、发现肺结节不要慌,需到正规医院胸外科就诊。良性结节不用担心,随访即可。恶性结节需及早手术治疗。2、建议每年行胸部CT检查一次,做到早发现、早诊断、早治疗。#清风计划#主题健康周# #散光时刻# #健康科普排位赛# #健康知多少#
原创不易,如果你喜欢我的文章,欢迎关注、转发、点赞。