1、什么是泌尿系统结石? 又是如何分类的?
人体的泌尿系统是由肾脏、输尿管、膀胱、尿道组成。肾脏和输尿管依人体中轴线对称配置。尿液从肾脏产生后经输尿管、膀胱、尿道排出。在这一系列器官中存在的结石我们称为泌尿系结石,又称为尿石症。
a. 根据结石所在的部位不同,泌尿系结石可分为肾结石、输尿管结石、膀胱结石和尿道结石。前二者统称为上尿路结石,后二者统称为下尿路结石。

尿路结石可根据结石位置来分类(肾结石、输尿管结石、膀胱结石、尿道结石等)
b. 根据结石形成的原因不同,泌尿系结石又可分为
1). 代谢性结石:
草酸代谢异常:草酸钙结石;磷酸钙结石;尿酸结石;
钙代谢异常
胱氨酸代谢异常、尿酸代谢异常、枸橼酸代谢异常
2). 感染性结石:磷酸氨镁; 碳酸磷灰石;鸟粪石;
3). 遗传性(特发性)结石:胱氨酸结石;嘌呤结石;
4). 药物结石:氨苯蝶啶(利尿剂)、茚地那韦(抗HIV)、磺胺类药物(柳氮磺嘧啶-克罗恩病,溃疡性结肠炎)---以药物为结石核心; 药物代谢:VItD ,钙片(骨质疏松补钙时)、碳酸酐酶*制剂抑**-乙酰唑胺(治疗青光眼)、减肥用药的缓泻剂,容易形成尿酸铵结石
2、结石形成的机制?什么人容易得结石?
结石成因非常复杂,有很多学说,目前认为导致尿路结石的几大因素:
1)、尿液中成分的改变,形成结石的成分增加: 草酸、尿酸、尿钙等
2)、尿液中结石形成的核心物质增加, 细菌感染、菌团,外伤、异物
3)、抑制结晶的产物减少:枸橼酸等
4)、尿量减少:形成结石的物质浓度增加
5)、尿液的PH值改变: 过酸:尿酸、胱氨酸结石; 过碱:磷酸镁铵结石
什么人容易得结石:
饮水量少的;高动物蛋白饮食的; 长期饮用矿物质泉水的(江西、云贵川、青藏高原、广西等地);
代谢紊乱(甲旁亢、高尿酸尿症、高草酸尿症);遗传性疾病(胱氨酸尿症);
泌尿系解剖异常:梗阻(前列腺增生、肾盂输尿管连接部狭窄等)-感染-结石。
3、泌尿路结石会有什么症状?有什么严重并发症吗?
泌尿系结石的常见症状和体征包括疼痛、血尿、泌尿系感染,偶尔伴有消化道症状如恶心、呕吐,少数情况下,如果出现双侧上尿路结石梗阻,则会出现无尿。值得一提的是,并非不痛的结石就不要紧,有些巨大的肾结石反倒不容易落入输尿管引起急性梗阻,但这类结石更需要处理。
肾结石引发的疼痛分为钝痛和绞痛两种,疼痛常位于病人腰腹部、多呈现阵发性,有时亦可表现为持续性疼痛。还有少数肾结石病人的腹痛仅仅表现为腰部酸胀不适,只有在活动或劳动后才能感觉到明显的疼痛。输尿管结石引起的疼痛部位及放射范围根据结石梗阻部位而有所不同,上段输尿管梗阻时,疼痛位于腰部或上腹部,并放射至同侧*丸睾**或阴唇和大腿内侧。当输尿管中段梗阻时,疼痛放射至中下腹部。结石位于输尿管膀胱壁段或输尿管开口处,常伴有膀胱刺激症状及尿道和阴茎头部放射痛。

结石落入输尿管后,引起肾绞痛,常疼痛难忍
肾结石病人发生肾绞痛的同时,多会伴随发生血尿情况。血尿的发生以镜下血尿为多见(即尿常规检查显示尿红细胞为阳性),大量的肉眼血尿(即直接能看见尿液颜色变红)却并不多见。当肾结石病人进行体力活动后,血尿症状将可能加重。输尿管结石急性绞痛发作时,可发生明显的肉眼血尿,尤其在绞痛伴有结石排出者。不发生急性绞痛时,以镜下血尿多见。

严重并发症:
1、尿路梗阻合并尿路感染,急性肾盂肾炎导致感染性休克;
2、梗阻导致肾积水,肾功能不全,双侧上尿路结石严重者,导致无尿、尿毒症;
3、长期反复结石慢性刺激,引起肾盂粘膜的恶性病变,如 肾盂鳞癌。

尿路结石严重者,导致肾积水,影响肾功能
4、泌尿路结石是如何诊断的?
诊断分为:结石本身的诊断、结石并发症的诊断、结石病因的诊断
1)病史、症状和体征:尿路结石病史、活动后疼痛及血尿症状、肾区叩击痛当然腹痛症状要和 一下疾病鉴别: 普外科:急性阑尾炎、胆囊炎;妇产科:异位妊娠(宫外孕)、急性卵巢蒂扭转、黄体破裂;其他:心绞痛等
2)依靠实验室检查:尿常规、中段尿培养、血液感染指标、肾功能、血气、代谢性指标、结石成分分析
3)影像学检查:
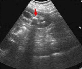
B超(筛查首选、廉价、无辐射);

B超是诊断尿路结石的首选检查,箭头所示为肾结石,强回声后伴声影
CT平扫(金标准、但孕妇禁用);

CT平扫是诊断尿路结石的金标准,箭头所示为右肾结石(左上箭头处)和左输尿管结石(右下箭头处))
CTU :复杂性尿路结石、解剖存在异常者;肾功能不全者禁止行增强CT检查。
KUB平片;纯尿酸结石无法显示; 术前定位,手术后复查
GFR:同位素肾图检查,评估肾功能;
5、泌尿路结石是如何治疗的?保守治疗和手术治疗的区别?
治疗目标:清除结石,保护肾功能;去除病因,防止复发。
治疗模式:个体化的治疗方案(患者-医生-医疗条件)
结石的大小,位置和形状决定采取何种治疗方法。结石小于4mm,80%的患者可以自行排出。可以通过多运动及多饮水来促进排石。超过7mm排出的机会就很小。输尿管结石总体排石成功率根据结石所在部位有所不同,上段25%,中段45%,下段70%。如果结石直径超过6-7mm,通常就需要行取石手术。对于有下列症状的患者强烈建议行取石手术:通过各种药物治疗,疼痛不能缓解;持续性梗阻导致肾功能损害;尿路感染;脓肾或尿路败血症的风险;双侧结石梗阻或孤立肾梗阻性结石。

通常0.6cm以下肾结石,通过尿液冲刷和重力作用,经输尿管排出体外
值得一提的是,不少患者在结石急性发作、症状较重时会提出让医师做急诊手术去除结石。但是这样的做法并不可取,泌尿系结石急性发作期一般以解痉、镇痛、通畅引流及抗感染为处理原则;若梗阻和/或感染较严重,可急诊置入双J管或行经皮肾造瘘来通畅引流。
目前主流的泌尿系结石治疗方法均为无创或微创技术,主要包括体外震波碎石术、经尿道输尿管镜碎石术以及经皮肾镜碎石术。其中体外震波碎石术历史悠久,属于无创治疗,尤其适用于上尿路结石,但是治疗的精准性和效果,相比腔镜下治疗而言稍为逊色。经尿道输尿管镜下激光碎石术是目前临床应用最为广泛的碎石技术,可以一次性治疗输尿管结石、膀胱结石,安全有效,创伤小,恢复快。而经皮肾镜取石术主要用于治疗肾结石,患者体表只有0.5厘米的刀口,通过体表与肾脏间建立的通道进行碎石取石,结石清除率高,与传统开放手术相比,更安全,恢复更快。
保守治疗:泌尿系结石的治疗已进入微创治疗时代,各类微创手术技术为结石患者带来了福音。然而,对于某些成分的结石,药物“溶石”治疗同样可以达到治愈或预防结石的目的,避免手术的痛苦。泌尿系结石根据成分的不同主要分为含钙结石、尿酸结石、感染性结石和胱氨酸结石。溶石疗法主要推荐应用于尿酸结石和胱氨酸结石。
尿酸结石:(1)口服别嘌呤醇,根据血、尿的尿酸值调整药量;(2)口服枸橼酸氢钾钠或碳酸氢钠片,以碱化尿液维持尿液pH值在6.5~6.8,有效溶解结石。胱氨酸结石:口服枸橼酸氢钾钠或碳酸氢钠片,以碱化尿液,维持尿液pH值在7.0以上。
采取药物溶石治疗的患者,必须定期测定尿液pH值,根据尿液pH值调整药物的剂量,以取得最佳的治疗效果。
6、我们在生活中怎样预防和治疗结石?
总体而言:多饮水 (规律饮水、足量饮水;中性水): 合理膳食(钠钙摄入、蔬菜瓜果摄入、限制动物蛋白摄入);控制体重;
1)含钙结石:约占70-80%,由草酸钙或磷酸钙组成,更常见为草酸钙+磷酸钙的混合结石。纯草酸钙远较纯磷酸钙常见。草酸钙结石的预防,需限制草酸摄入(在草酸钙结石病中,20%~50%草酸排泄增加);磷酸钙结石的预防则不宜饮用橙汁、可乐等碱性饮料,防止尿液碱化;限食高钙、高磷和高蛋白食品,包括鱼、肉、奶酪、肝、坚果。
2)尿酸结石:约占5-10%,由游离尿酸组成。75%-80%的尿酸结石由纯尿酸组成,其余由尿酸和含钙结石混合而成。尿酸结石的预防目的是减少尿酸来源。主要措施包括:低嘌呤饮食,首选蛋、奶、蔬 菜、水果;限食富含嘌呤的食品,例如食肉、鱼、虾类等(<150g/日),少食豆制品、蘑菇 ,忌食动物内脏;碱化尿液,可食用富含枸橼酸钾的柑桔类水果; 不宜饮酒,以免增加尿中乳酸排泄而造成尿液酸化。
3)感染结石:约占10-20%,主要由磷酸铵镁组成,有时混合碳酸磷酸钙和尿酸铵。磷酸铵镁结石的防治措施主要是防止尿路感染,酸化尿液。预防结石复发的重要前提是完全清除结石;避免肾区、膀胱区和足部受凉;最好饮用酸性饮料,如苹果汁、蔓越莓果汁,有利于尿液酸化;不宜饮用碱性饮料,如橙汁、可乐,以免尿液碱化。
4)胱氨酸结石:少见,约占1%。高发年龄在20-30岁。胱氨酸结石的防治措施
主要是降低尿中胱氨酸浓度,减少尿中胱氨酸来源。具体包括每日饮水3500ml以上(白天每小时250ml),宜选碱性饮料,例如橙汁,至少保证每日尿量3500ml;由于胱氨酸的前体物质是蛋氨酸,故应严格限食高蛋白食物,例如肉、蛋、鱼、奶制品,<0.8g/kg体重/日;少食花生及面粉制品;首选低蛋白食物:谷类(大米)、蔬菜、水果;严格限食氯化钠,<5g/日。
当然,很多在发现结石时候,并不知道自己是哪一类型的结石,无法很好的指导自己的饮食。但是可以告诉大家的是,尿路结石最常见的是含钙结石,其中以草酸钙最为常见。而且结石的预防总体原则不变(见前文)。如果做过手术或是自行排出过结石,可以将结石送至医院做结石成分分析,以更好指导预防。