来自湖南株洲攸县的田女士,4天前在外院补牙后后出现右侧颜面部疼痛,无复视、视力下降,无鼻塞、流涕,无发热、畏冷,咀嚼时疼痛加重,伴张口受限,无嗅觉下降,自行服用 消炎药(具体药名不详)后不能好转。

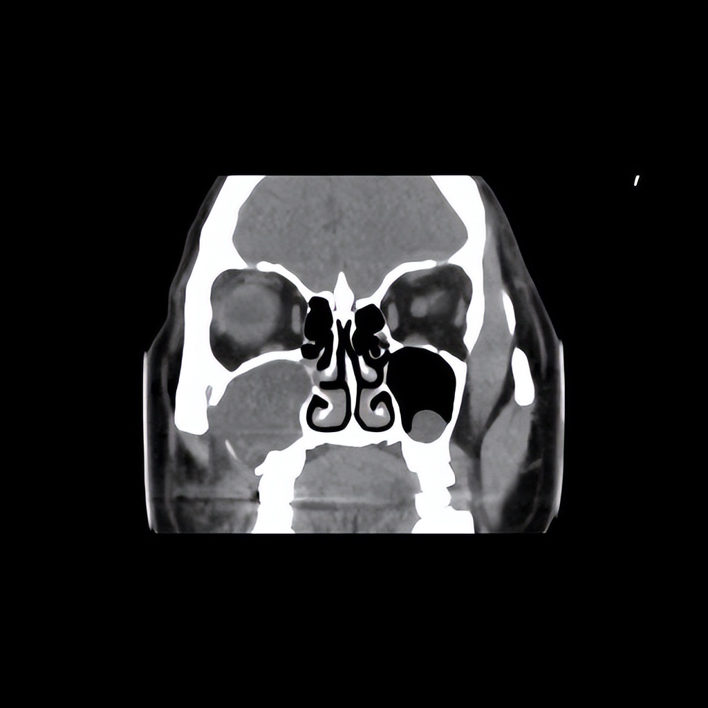
来佛山复星禅诚医院耳鼻喉行鼻窦CT提示“右侧上颌窦内新生物,性质待查”门诊拟“上颌窦炎”收住我科。

由于CT显示患者的骨质有破坏,病情相对严重,给予安排鼻内镜上颌窦微创手术治疗。插管全麻后就开始了手术,在鼻内镜下开放右侧上颌窦口后,可见上颌窦内巨大的骨囊肿,考虑是上颌骨牙槽突的骨囊肿,突入右侧上颌窦,术中予以彻底清除囊肿。

整个的手术非常的顺利,用时约30分钟,术后查房患者无明显的不适,无手术相关的并发症。

对于面部肿胀的患者,大部分是上颌窦炎导致的,像这种由于上颌窦牙槽突囊肿导致的情况相对比较罕见。一般CT比较难完全确诊,但手术可以予以确诊和治愈这种情况。关于上颌窦的囊肿,如果您还有什么问题,欢迎留言和耳鼻喉郑立岗医生进一步交流。
