55岁的谢师傅(化名)是四川人,来杭打工10余年,去年年底因父亲病故回老家小住了一段时间。今年春节回杭后,他出现食欲不振和乏力,起初还伴有不明原因的轻度腹痛、腹泻。4个月过去了,他一直以为是心情郁闷所致,直到出现了三天的畏寒、发热才到杭州市第一人民医院肝胆胰外科就诊。
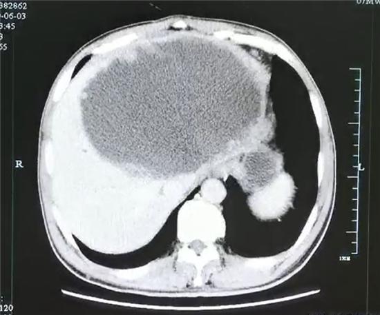
这一检查可把医生和谢师傅都吓坏了,因为超声影像科检查显示谢师傅的左肝已经被“掏空”了,变成了一个大脓球。医生仔细测量了一下,大脓球达到19cm×18cm×12cm 大小。

引流前肝脏巨大脓肿,壁厚,且壁上见很多肿瘤样的结构。
入院后,腹部CT检查发现肝脓肿壁上长了很多肿瘤样的结构,而且壁很厚,看来这个肝脓肿不简单。
为了让脓球变小和寻找“元凶”,医生在超声指引下做了脓球的穿刺引流,结果引出了大量的灰白色脓液,一系列检查都没有发现细菌、真菌、结核和恶性肿瘤的“踪迹”。
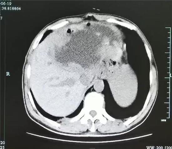
经过三周的引流和保守治疗,复查增强CT发现脓肿小了一大半,但是肝脓肿厚壁及厚壁上的很多肿瘤样组织没有变化,引流管里引流出来的液体开始减少,而且脓腔也不再进一步缩小,显示出这个脓肿很难自愈。

引流后脓腔有所缩小,但厚壁及壁上的肿瘤样的结构更加明显。
经过肝胆外科、感染科、影像科等多学科会诊及讨论后,贾长库主任、沈伟敏主任医师、徐孙兵副主任医师等,果断地为患者进行了手术将左半肝切除,完整地拿掉了这个迷雾重重的病灶。
谁都没有想到,病理显示脓肿壁上大量的肿瘤样结构是肉芽肿性炎性肿块,里面竟然还爬满了灯泡状、壳厚的华支睾吸虫虫卵,脓肿内多得数不清,看得人头皮发麻。
术后,谢师傅回忆起自己回老家的时候,买过当地的鱼做了一次酸菜鱼,为了追求口感鲜嫩,鱼片就光热水里涮了几十秒。当地是肝吸虫的重疫区,有生吃或半生吃鱼片的习惯,当地人俗称之为“鱼生”。
由于肝吸虫感染早期并无明显不适症状,所以早期基本上不可能知道是否感染。此虫不仅繁殖力惊人,每次可产1400到2000个卵,而且可存活20到30年。若置之不理,它们不仅会在肝内安家,而且会靠肝“吃”肝,肝脏因此会产生感染、肝胆道内结石、肝硬化甚至肝癌。由于近年来各地的卫生状况和人们的生活习惯越来越好,已经很少能见到此类病人了。
医生提醒,不管是哪里的淡水鱼和淡水虾,还有经淡水回游的海鱼都有可能被肝吸虫感染。市民做菜时,一定要把鱼虾煮熟再吃,以免病从口入。(都市快报 首席记者 俞茜茜 通讯员 张颖颖)