近日,我院神经外科收治了一例同侧同时出现面肌痉挛和三叉神经痛的患者,经过微血管减压术治疗,术后患者左面部原有疼痛未再发作,原有面部抽搐明显缓解。
病例简介

现病史:6年前,患者无明显诱因出现左侧面部抽搐症状,主要表现为左侧眼角阵发性抽动,每次持续数秒至数十秒后自行缓解,每天发作数次至数十次,逐渐发展至左侧嘴角处同频率抽动。曾给予面部针灸等治疗,自觉上述症状无缓解,且呈缓慢进行性加重趋势。
约5月前患者逐渐出现左侧面部疼痛,以左侧鼻翼外侧、嘴角外侧阵发性搏动样疼痛为著,每次持续数秒至数十秒后自行缓解。在当地医院诊断为"三叉神经痛",给予输液、口服药物治疗。开始效果尚可,之后逐渐变差,疼痛强度进行性加重,呈阵发性刀割样疼痛疼痛,难忍受,发作频率增多,说话、洗脸、刷牙、进食等均可诱发。为求进一步治疗,遂来到我院。
入院查体:面部感觉无明显减退,双侧额纹对称,左侧面部可见频繁抽搐,以左侧眼角及左侧嘴角处明显,左侧鼻翼外侧及左侧嘴角外侧处痛觉敏感,有明确疼痛触发点。
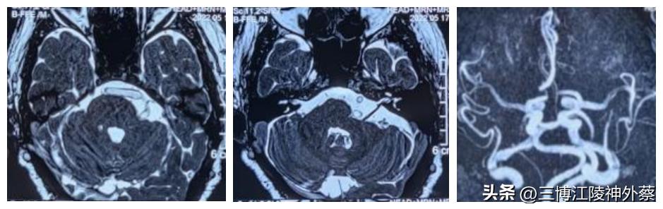
辅助检查MRI提示:椎基底动脉左偏;基底动脉与左侧三叉神经及面神经关系密切,似有骑跨。

(如图所示:可见明显左偏增粗的椎基底动脉与左侧三叉神经及面神经关系密切)
神经电生理提示:"双侧BAEP正常范围;左侧侧方扩散可见扩散波。"
“从患者的病史和相关检查来看,考虑是左侧面肌痉挛和左侧三叉神经痛,像患者这样同侧同时出现面肌痉挛和三叉神经痛的是比较少见的,从目前来看是因为椎基底动脉压迫面神经和三叉神经引起的颜面部疼痛和阵发性抽搐,目前能同时治疗两种疾病的有效办法考虑微血管减压术。”主管医生彭俊副主任医师说道。
手术情况
找到了病根,经过充分的术前准备,于2022年5月20日在全麻下行侧乙状窦后入路面神经、三叉神经微血管减压术。
术中充分显露面听神经及三叉神经全程,可见粗大的椎动脉从背后侧将三叉神经压向岩骨,三叉神经明显变扁,有明显椎动脉压迹,不易推动,同时其分支小脑前下动脉从面神经出脑干区腹外侧穿过,上述动脉考虑均为责任动脉。在充分游离松解后使用Teflon棉将椎动脉和面神经、三叉神经垫开。


减压前


减压后
虽说增粗、迂曲且不易推开的椎动脉对手术效果有影响,易达不到减压的目的,但从该患者术后的恢复情况来看,这次的手术还是很成功,术后患者左面部原有疼痛未再发作,稍感麻木,左面部阵发性抽动症状较术前明显减轻,未诉明显耳鸣及听力下降。